Suppr超能文献

CTD小磷酸酶样蛋白2(CTDSPL2)可增加K562细胞以及源自脐带血的CD34+细胞中的ε-珠蛋白基因和γ-珠蛋白基因表达。

CTD small phosphatase like 2 (CTDSPL2) can increase ε- and γ-globin gene expression in K562 cells and CD34+ cells derived from umbilical cord blood.

作者信息

Ma Yan-Ni, Zhang Xin, Yu Hai-Chuan, Zhang Jun-Wu

机构信息

National Laboratory of Medical Molecular Biology, Institute of Basic Medical Sciences, Chinese Academy of Medical Sciences and Peking Union Medical College, 5 Dong Dan San Tiao, Beijing 100005, People's Republic of China.

出版信息

BMC Cell Biol. 2010 Oct 9;11:75. doi: 10.1186/1471-2121-11-75.

Abstract

BACKGROUND

A potential strategy for treatment of sickle cell disease (SCD) and β-thalassemia in adults is reactivation of the ε- and γ-globin genes in the adult. We aimed to identify trans-activators of ε- and γ-globin expression and provide new candidate targets for effective treatment of sickle cell disease (SCD) and β-thalassemia through activation of ε- and γ-globin genes in adults.

RESULTS

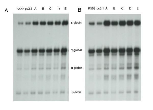
We identified a CTD small phosphatase like 2 (CTDSPL2) gene that had higher transcription levels in umbilical cord blood (UCB) than in adult bone marrow (BM). Also, transcription of the CTDSPL2 gene increased significantly during erythroid differentiation. Further, we found that overexpression of CTDSPL2 could obviously improve the expression of ε- and γ-globin genes in K562 cells. Meanwhile, the repression of CTDSPL2 by RNA interference decreased expression of ε- and γ-globin genes but did not inhibit the increase of globin gene expression during K562 erythroid differentiation. In addition, the enforced expression of CTDSPL2 gene mediated by lentiviruses could also increase ε- and γ-globin gene expression during erythroid differentiation of CD34+ cells derived from UCB.

CONCLUSION

CTDSPL2 gene can obviously improve the expression of ε- and γ-globin genes in K562 cells and CD34+ cells derived from UCB. Our study provides a new candidate target for effective treatment of SCD and β-thalassemia.

摘要

背景

在成年人中重新激活ε-和γ-珠蛋白基因是治疗镰状细胞病(SCD)和β-地中海贫血的一种潜在策略。我们旨在鉴定ε-和γ-珠蛋白表达的反式激活因子,并通过激活成年人的ε-和γ-珠蛋白基因,为有效治疗镰状细胞病(SCD)和β-地中海贫血提供新的候选靶点。

结果

我们鉴定出一种CTD小磷酸酶样2(CTDSPL2)基因,其在脐带血(UCB)中的转录水平高于成人骨髓(BM)。此外,CTDSPL2基因的转录在红系分化过程中显著增加。进一步地,我们发现CTDSPL2的过表达可明显提高K562细胞中ε-和γ-珠蛋白基因的表达。同时,RNA干扰抑制CTDSPL2可降低ε-和γ-珠蛋白基因的表达,但不抑制K562红系分化过程中珠蛋白基因表达的增加。此外,慢病毒介导的CTDSPL2基因的强制表达在源自UCB的CD34+细胞红系分化过程中也可增加ε-和γ-珠蛋白基因的表达。

结论

CTDSPL2基因可明显提高K562细胞和源自UCB的CD34+细胞中ε-和γ-珠蛋白基因的表达。我们的研究为有效治疗SCD和β-地中海贫血提供了一个新的候选靶点。

https://cdn.ncbi.nlm.nih.gov/pmc/blobs/ec76/2964535/04822b899858/1471-2121-11-75-1.jpg

文献AI研究员

20分钟写一篇综述,助力文献阅读效率提升50倍。

立即体验

用中文搜PubMed

大模型驱动的PubMed中文搜索引擎

马上搜索

文档翻译

学术文献翻译模型,支持多种主流文档格式。

立即体验