Suppr超能文献

腹腔镜肠石切除术是治疗胆石性肠梗阻的有效选择。

Laparoscopic enterolithotomy is a valid option to treat gallstone ileus.

作者信息

Shiwani Muhammad Hanif, Ullah Quat

机构信息

Consultant Surgeon, Barnsley General Hospital NHS Foundation Trust, Barnsley S752EP, UK.

出版信息

JSLS. 2010 Apr-Jun;14(2):282-5. doi: 10.4293/108680810X12785289144764.

Abstract

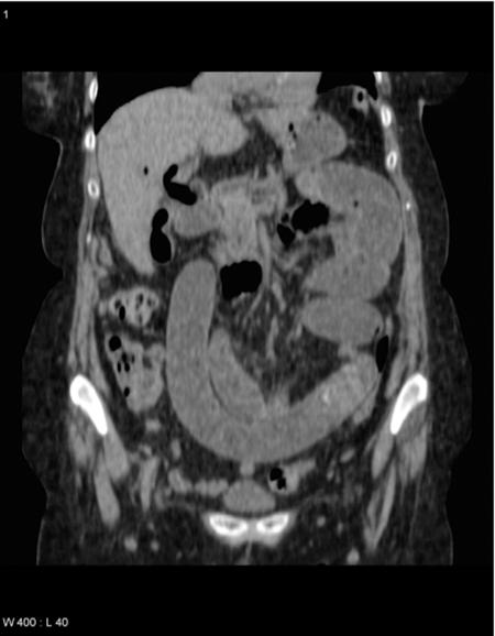
Gallstone ileus is a well-recognized clinical entity. It usually affects elderly female patients, and very often diagnosis can be delayed resulting in high morbidity and mortality. An abdominal x-ray and computed tomographic (CT) scan of the abdomen may show classical radiological features of small bowel obstruction, pneumobilia, and an ectopic gallstone. Laparotomy and enterlithotomy with or without definite biliary surgery is an established treatment. Since 1992, many cases of laparoscopic-assisted enterolithotomy have been reported. Only a few cases of a totally laparoscopic approach have been documented. We present the case of a 75-year-old lady who presented with features of intestinal obstruction. A plain x-ray of the abdomen and a CT scan confirmed the classical features of gallstone ileus. A totally laparoscopic enterolithotomy was performed using 6 ports. A 6-cm gallstone was retrieved through a longitudinal enterotomy. The transverse closure of the enterotomy was performed with intracorporeal suturing, resulting in an uneventful postoperative recovery. We suggest that a CT scan helps in the early diagnosis of the cause of intestinal obstruction, and totally laparoscopic enterolithomy with intracorporeal enterotomy repair is a valid, safe option.

摘要

胆石性肠梗阻是一种广为人知的临床病症。它通常影响老年女性患者,而且诊断往往会延迟,导致高发病率和死亡率。腹部X线检查和腹部计算机断层扫描(CT)可能显示小肠梗阻、胆系积气和异位胆结石的典型影像学特征。剖腹手术和肠石切除术,无论是否进行确定性胆道手术,都是既定的治疗方法。自1992年以来,已有许多腹腔镜辅助肠石切除术的病例报道。仅有少数完全腹腔镜手术的病例有文献记载。我们报告一例75岁女性患者,她表现出肠梗阻的症状。腹部平片和CT扫描证实了胆石性肠梗阻的典型特征。使用6个端口进行了完全腹腔镜肠石切除术。通过纵向肠切开取出了一枚6厘米的胆结石。肠切开处采用体内缝合进行横向闭合,术后恢复顺利。我们认为CT扫描有助于早期诊断肠梗阻的病因,完全腹腔镜肠石切除术及体内肠切开修复是一种有效、安全的选择。

https://cdn.ncbi.nlm.nih.gov/pmc/blobs/4282/3043585/36ac8d1f2d06/jls0021026160001.jpg

文献AI研究员

20分钟写一篇综述,助力文献阅读效率提升50倍。

立即体验

用中文搜PubMed

大模型驱动的PubMed中文搜索引擎

马上搜索

文档翻译

学术文献翻译模型,支持多种主流文档格式。

立即体验