Suppr超能文献

一种新型人类疾病,其朊病毒蛋白具有蛋白酶敏感性,且 129 密码子处存在蛋氨酸/缬氨酸杂合性:病例报告。

A novel form of human disease with a protease-sensitive prion protein and heterozygosity methionine/valine at codon 129: Case report.

机构信息

Department of Animal Health, Neiker-Tecnalia, Berreaga 1, 48160 Derio, Bizkaia, Spain.

出版信息

BMC Neurol. 2010 Oct 25;10:99. doi: 10.1186/1471-2377-10-99.

Abstract

BACKGROUND

Sporadic Creutzfeldt-Jakob disease (sCJD) is a rare neurodegenerative disorder in humans included in the group of Transmissible Spongiform Encephalopathies or prion diseases. The vast majority of sCJD cases are molecularly classified according to the abnormal prion protein (PrPSc) conformations along with polymorphism of codon 129 of the PRNP gene. Recently, a novel human disease, termed "protease-sensitive prionopathy", has been described. This disease shows a distinct clinical and neuropathological phenotype and it is associated to an abnormal prion protein more sensitive to protease digestion.

CASE PRESENTATION

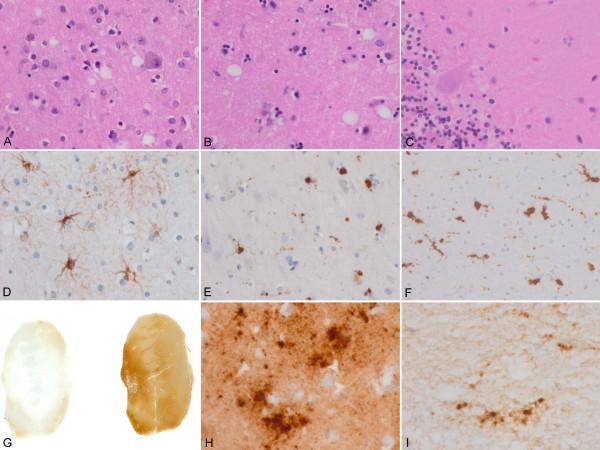
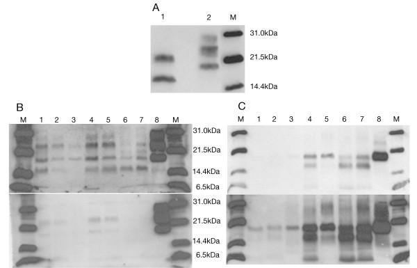
We report the case of a 75-year-old-man who developed a clinical course and presented pathologic lesions compatible with sporadic Creutzfeldt-Jakob disease, and biochemical findings reminiscent of "protease-sensitive prionopathy". Neuropathological examinations revealed spongiform change mainly affecting the cerebral cortex, putamen/globus pallidus and thalamus, accompanied by mild astrocytosis and microgliosis, with slight involvement of the cerebellum. Confluent vacuoles were absent. Diffuse synaptic PrP deposits in these regions were largely removed following proteinase treatment. PrP deposition, as revealed with 3F4 and 1E4 antibodies, was markedly sensitive to pre-treatment with proteinase K. Molecular analysis of PrPSc showed an abnormal prion protein more sensitive to proteinase K digestion, with a five-band pattern of 28, 24, 21, 19, and 16 kDa, and three aglycosylated isoforms of 19, 16 and 6 kDa. This PrPSc was estimated to be 80% susceptible to digestion while the pathogenic prion protein associated with classical forms of sporadic Creutzfeldt-Jakob disease were only 2% (type VV2) and 23% (type MM1) susceptible. No mutations in the PRNP gene were found and genotype for codon 129 was heterozygous methionine/valine.

CONCLUSIONS

A novel form of human disease with abnormal prion protein sensitive to protease and MV at codon 129 was described. Although clinical signs were compatible with sporadic Creutzfeldt-Jakob disease, the molecular subtype with the abnormal prion protein isoforms showing enhanced protease sensitivity was reminiscent of the "protease-sensitive prionopathy". It remains to be established whether the differences found between the latter and this case are due to the polymorphism at codon 129. Different degrees of proteinase K susceptibility were easily determined with the chemical polymer detection system which could help to detect proteinase-susceptible pathologic prion protein in diseases other than the classical ones.

摘要

背景

散发性克雅氏病(sCJD)是一种罕见的人类神经退行性疾病,属于可传播海绵状脑病或朊病毒病。绝大多数 sCJD 病例根据异常朊病毒蛋白(PrPSc)构象以及 PRNP 基因密码子 129 的多态性进行分子分类。最近,一种新型人类疾病,称为“蛋白酶敏感朊病毒病”,已被描述。这种疾病表现出独特的临床和神经病理学表型,与对蛋白酶消化更敏感的异常朊病毒蛋白有关。

病例报告

我们报告了一例 75 岁男性的病例,他的临床表现和病理损伤与散发性克雅氏病相符,生化发现类似于“蛋白酶敏感朊病毒病”。神经病理学检查显示海绵状改变主要影响大脑皮质、壳核/苍白球和丘脑,伴有轻度星形胶质细胞增生和小胶质细胞增生,小脑轻度受累。无融合空泡。用蛋白酶处理后,这些区域中弥漫性突触 PrP 沉积物大部分被清除。用 3F4 和 1E4 抗体检测到的 PrP 沉积对蛋白酶 K 预处理非常敏感。PrPSc 的分子分析显示异常朊病毒蛋白对蛋白酶 K 消化更敏感,表现为 28、24、21、19 和 16 kDa 的五带模式,以及 19、16 和 6 kDa 的三种去糖基化同工型。这种 PrPSc 估计有 80%易受消化,而与经典散发性克雅氏病相关的致病性朊病毒蛋白仅易受 2%(类型 VV2)和 23%(类型 MM1)消化。未发现 PRNP 基因的突变,密码子 129 的基因型为杂合性蛋氨酸/缬氨酸。

结论

描述了一种新型人类疾病,其异常朊病毒蛋白对蛋白酶和 129 位蛋氨酸/缬氨酸敏感。尽管临床症状与散发性克雅氏病相符,但异常朊病毒蛋白同工型显示增强的蛋白酶敏感性的分子亚型类似于“蛋白酶敏感朊病毒病”。尚待确定后者与本病例之间的差异是否归因于 129 位密码子的多态性。用化学聚合物检测系统很容易确定不同程度的蛋白酶敏感性,这有助于检测除经典疾病以外的疾病中的蛋白酶敏感病理性朊病毒蛋白。

https://cdn.ncbi.nlm.nih.gov/pmc/blobs/e472/2987858/03d57eb342a4/1471-2377-10-99-1.jpg

相似文献

3
Prions from Sporadic Creutzfeldt-Jakob Disease Patients Propagate as Strain Mixtures.
mBio. 2020 Jun 16;11(3):e00393-20. doi: 10.1128/mBio.00393-20.
9
Intracerebral distribution of the abnormal isoform of the prion protein in sporadic Creutzfeldt-Jakob disease and fatal insomnia.
Microsc Res Tech. 2000 Jul 1;50(1):16-25. doi: 10.1002/1097-0029(20000701)50:1<16::AID-JEMT4>3.0.CO;2-Y.
10
Variably protease-sensitive prionopathy.
Handb Clin Neurol. 2018;153:175-190. doi: 10.1016/B978-0-444-63945-5.00010-6.

引用本文的文献

1
Search for a genetic cause of variably protease-sensitive prionopathy.
PLoS Pathog. 2025 Aug 1;21(8):e1013343. doi: 10.1371/journal.ppat.1013343. eCollection 2025 Aug.
2
Search for a genetic cause of variably protease-sensitive prionopathy.
medRxiv. 2025 Mar 17:2024.12.12.24318867. doi: 10.1101/2024.12.12.24318867.
3
Characterization of variably protease-sensitive prionopathy by capillary electrophoresis.
Sci Rep. 2024 Nov 13;14(1):27867. doi: 10.1038/s41598-024-79217-1.
4
Huntington's disease: lessons from prion disorders.
J Neurol. 2021 Sep;268(9):3493-3504. doi: 10.1007/s00415-021-10418-8. Epub 2021 Feb 24.
5
Variably protease-sensitive prionopathy mimicking frontotemporal dementia.
Neuropathology. 2019 Apr;39(2):135-140. doi: 10.1111/neup.12538. Epub 2019 Mar 7.
6
Characterization of mutations in (prion) gene and their possible roles in neurodegenerative diseases.
Neuropsychiatr Dis Treat. 2018 Aug 14;14:2067-2085. doi: 10.2147/NDT.S165445. eCollection 2018.
7
8
Magnetic microparticle-based multimer detection system for the detection of prion oligomers in sheep.
Int J Nanomedicine. 2015 Sep 9;10(Spec Iss):241-50. doi: 10.2147/IJN.S88377. eCollection 2015.
9
Variably protease-sensitive prionopathy, a unique prion variant with inefficient transmission properties.
Emerg Infect Dis. 2014 Dec;20(12):1969-79. doi: 10.3201/eid2012.140214.

本文引用的文献

2
A novel human disease with abnormal prion protein sensitive to protease.
Ann Neurol. 2008 Jun;63(6):697-708. doi: 10.1002/ana.21420.
3
Atypical/Nor98 scrapie: properties of the agent, genetics, and epidemiology.
Vet Res. 2008 Jul-Aug;39(4):19. doi: 10.1051/vetres:2007056. Epub 2008 Jan 11.
4
A novel phenotype of sporadic Creutzfeldt-Jakob disease.
J Neurol Neurosurg Psychiatry. 2007 Dec;78(12):1379-82. doi: 10.1136/jnnp.2007.115444.
5
A novel subtype of Creutzfeldt-Jakob disease characterized by a small 6 kDa PrP fragment.
Acta Neuropathol. 2007 Aug;114(2):195-9. doi: 10.1007/s00401-007-0242-5. Epub 2007 Jun 19.
6
Novel prion protein conformation and glycotype in Creutzfeldt-Jakob disease.
Arch Neurol. 2007 Apr;64(4):595-9. doi: 10.1001/archneur.64.4.595.
7
Classification of sporadic Creutzfeldt-Jakob disease revisited.
Brain. 2006 Sep;129(Pt 9):2266-77. doi: 10.1093/brain/awl224.
8
Distinct glycoform ratios of protease resistant prion protein associated with PRNP point mutations.
Brain. 2006 Mar;129(Pt 3):676-85. doi: 10.1093/brain/awl013. Epub 2006 Jan 16.
9
Phenotypic variability in human prion diseases.
Neuropathol Appl Neurobiol. 2005 Dec;31(6):565-79. doi: 10.1111/j.1365-2990.2005.00697.x.
10
Mortality from Creutzfeldt-Jakob disease and related disorders in Europe, Australia, and Canada.
Neurology. 2005 May 10;64(9):1586-91. doi: 10.1212/01.WNL.0000160117.56690.B2.

文献AI研究员

20分钟写一篇综述,助力文献阅读效率提升50倍。

立即体验

用中文搜PubMed

大模型驱动的PubMed中文搜索引擎

马上搜索

文档翻译

学术文献翻译模型,支持多种主流文档格式。

立即体验