Santhiya Sathiyavedu T, Kumar Ganesan Senthil, Sudhakar Pridhvi, Gupta Navnit, Klopp Norman, Illig Thomas, Söker Torben, Groth Marco, Platzer Matthias, Gopinath Puthiya M, Graw Jochen
Dr. ALM Postgraduate Institute of Basic Medical Sciences, Department of Genetics, University of Madras, Taramani, Chennai, India.
Mol Vis. 2010 Sep 10;16:1837-47.
The aim of the study was to resolve the genetic etiology in families having inherited cataracts.
Families afflicted with congenital/childhood cataracts were registered in Chennai and Orissa (India). Blood samples were collected from the probands and available family members. Selected functional candidate genes were amplified by polymerase chain reaction (PCR) and characterized by direct sequencing. Putative mutations were confirmed in healthy controls.
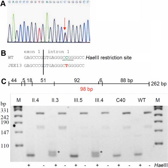
We observed interesting new polymorphisms of ethnic specificity, some of frequent nature, such as a 3-bp deletion in intron 3 of CRYBB2 (encoding βB2-crystallin) and IVS1+9 c>t variation in HSF4 (encoding heat-shock factor 4). Some rare single nucleotide polymorphisms (SNPs) co-segregate with the respective phenotype such as IVS3+120c>a of CRYBB2, while M44V of CRYGD (encoding γD-crystallin), although found in association with blue dot opacity was seen in a few healthy controls too. We identified two new mutations co-segregating along with the respective cataract phenotype within the families that were not seen in healthy controls from India or Germany. These include two missense mutations; one in GJA3 (encoding gap junction protein α3, which is also referred to as connexin 46); the mutation affects codon 19 (T19M), and the corresponding phenotype is a posterior-polar cataract. The other missense mutation affects CRYBB2 (W59C; total cataract). Additionally, a cDNA variation (G54A) identified in a zonular cataract affects a highly conserved splice site of CRYBB2. This mutation, however, showed reduced penetrance in the family, which might be explained by different molecular consequences in the affected family members: nonsense-mediated decay of the mutated mRNA might have no clinical phenotype in heterozygotes, whereas the translation of the mutated mRNA is predicted to lead to a small hybrid protein (consisting of 16 amino acids of the βB2-crystallin and 18 new amino-acids), which might have a dominant-negative function in the lens.
This report identifies in families with childhood cataract some new alleles, which may be considered as causative for cataracts. Furthermore, we report some geographically restricted rare polymorphic sites, whose significance might be considered in some context as modifiers or alleles in sensitizing ocular lens toward cataractogenesis.
本研究旨在确定患有遗传性白内障的家族的遗传病因。
在印度钦奈和奥里萨邦登记患有先天性/儿童期白内障的家族。从先证者和其他可用的家庭成员采集血样。通过聚合酶链反应(PCR)扩增选定的功能候选基因,并通过直接测序进行特征分析。在健康对照中确认推定的突变。
我们观察到一些具有种族特异性的有趣新多态性,其中一些较为常见,例如CRYBB2(编码βB2-晶体蛋白)第3内含子中的3碱基缺失以及HSF4(编码热休克因子4)中的IVS1+9 c>t变异。一些罕见的单核苷酸多态性(SNP)与各自的表型共分离,例如CRYBB2的IVS3+120c>a,而CRYGD(编码γD-晶体蛋白)的M44V虽然与蓝点状混浊相关,但也在一些健康对照中出现。我们在家族中鉴定出两个与各自白内障表型共分离的新突变,在印度或德国的健康对照中未发现。这些包括两个错义突变;一个在GJA3(编码缝隙连接蛋白α3,也称为连接蛋白46)中;该突变影响密码子19(T19M),相应的表型是后极性白内障。另一个错义突变影响CRYBB2(W59C;全白内障)。此外,在 zonular 白内障中鉴定出的一个cDNA变异(G54A)影响CRYBB2的一个高度保守的剪接位点。然而,该突变在家族中显示出降低的外显率,这可能是由于受影响家庭成员中不同的分子后果所致:突变mRNA的无义介导衰变在杂合子中可能没有临床表型,而突变mRNA的翻译预计会导致一种小的杂合蛋白(由βB2-晶体蛋白的16个氨基酸和18个新氨基酸组成),其可能在晶状体中具有显性负性作用。
本报告在儿童白内障家族中鉴定出一些新的等位基因,可能被视为白内障的病因。此外,我们报告了一些地理上受限的罕见多态性位点,其意义在某些情况下可能被视为修饰因子或使晶状体对白内障发生敏感的等位基因。