• 文献检索
  • 文档翻译
  • 深度研究
  • 学术资讯
  • Suppr Zotero 插件Zotero 插件
  • 邀请有礼
  • 套餐&价格
  • 历史记录
应用&插件
Suppr Zotero 插件Zotero 插件浏览器插件Mac 客户端Windows 客户端微信小程序
定价
高级版会员购买积分包购买API积分包
服务
文献检索文档翻译深度研究API 文档MCP 服务
关于我们
关于 Suppr公司介绍联系我们用户协议隐私条款
关注我们

Suppr 超能文献

核心技术专利:CN118964589B侵权必究
粤ICP备2023148730 号-1Suppr @ 2026

文献检索

告别复杂PubMed语法,用中文像聊天一样搜索,搜遍4000万医学文献。AI智能推荐,让科研检索更轻松。

立即免费搜索

文件翻译

保留排版,准确专业,支持PDF/Word/PPT等文件格式,支持 12+语言互译。

免费翻译文档

深度研究

AI帮你快速写综述,25分钟生成高质量综述,智能提取关键信息,辅助科研写作。

立即免费体验

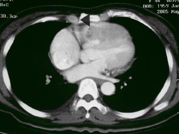
右心室切除术治疗转移至心脏的肝细胞癌。

Right ventricular exclusion for hepatocellular carcinoma metastatic to the heart.

作者信息

Liu Wan-Chi, Lui Kar-Wei, Ho Ming-Chi, Fan Shou-Zen, Chao Anne

机构信息

Department of Anesthesiology, National Taiwan University Hospital, Taipei, Taiwan.

出版信息

J Cardiothorac Surg. 2010 Oct 30;5:95. doi: 10.1186/1749-8090-5-95.

DOI:10.1186/1749-8090-5-95
PMID:21034491
原文链接:https://pmc.ncbi.nlm.nih.gov/articles/PMC2987926/
Abstract

We used for the first time a right ventricular exclusion procedure for the treatment of hepatocellular carcinoma metastatic to the right ventricle. Our case report shows that this surgical option can be effective as rescue therapy for right ventricular outflow tract obstruction secondary to myocardial metastasis in critically ill patients. Most notably, this technique can prevent inadvertent dislodgement of tumor cells.

摘要

我们首次采用右心室切除术治疗转移至右心室的肝细胞癌。我们的病例报告表明,这种手术选择对于重症患者因心肌转移继发的右心室流出道梗阻可作为一种有效的挽救性治疗。最值得注意的是,该技术可防止肿瘤细胞意外脱落。

https://cdn.ncbi.nlm.nih.gov/pmc/blobs/23c9/2987926/a102c51af9c2/1749-8090-5-95-2.jpg
https://cdn.ncbi.nlm.nih.gov/pmc/blobs/23c9/2987926/75be8b8b6c20/1749-8090-5-95-1.jpg
https://cdn.ncbi.nlm.nih.gov/pmc/blobs/23c9/2987926/a102c51af9c2/1749-8090-5-95-2.jpg
https://cdn.ncbi.nlm.nih.gov/pmc/blobs/23c9/2987926/75be8b8b6c20/1749-8090-5-95-1.jpg
https://cdn.ncbi.nlm.nih.gov/pmc/blobs/23c9/2987926/a102c51af9c2/1749-8090-5-95-2.jpg

相似文献

1
Right ventricular exclusion for hepatocellular carcinoma metastatic to the heart.右心室切除术治疗转移至心脏的肝细胞癌。
J Cardiothorac Surg. 2010 Oct 30;5:95. doi: 10.1186/1749-8090-5-95.
2
Case 1. Right ventricular outflow obstruction caused by metastatic hepatocellular carcinoma.病例1. 转移性肝细胞癌导致的右心室流出道梗阻。
J Clin Oncol. 2004 Mar 15;22(6):1152-3. doi: 10.1200/JCO.2004.04.151.
3
Effectiveness of transcoronary chemoembolization for metastatic right ventricular tumor derived from hepatocellular carcinoma.经冠状动脉化疗栓塞术治疗源自肝细胞癌的右心室转移瘤的疗效
Chest. 2000 Jan;117(1):287-9. doi: 10.1378/chest.117.1.287.
4
Resection of Metastatic Hepatocellular Carcinoma in the Ventricular Septum Causing Left Ventricular Outflow Tract Obstruction.室间隔转移性肝细胞癌切除致左心室流出道梗阻。
Ann Thorac Surg. 2018 Mar;105(3):e107-e108. doi: 10.1016/j.athoracsur.2017.09.052.
5
Isolated right ventricular infiltrating tumour: metastatic hepatocellular carcinoma.孤立性右心室浸润性肿瘤:转移性肝细胞癌
Int J Cardiovasc Imaging. 2015 Oct;31(7):1347-9. doi: 10.1007/s10554-015-0691-1. Epub 2015 Jun 6.
6
Acute heart failure caused by a giant hepatocellular metastatic tumor of the right atrium.右心房巨大肝细胞转移性肿瘤所致急性心力衰竭
J Cardiothorac Surg. 2011 Aug 26;6:102. doi: 10.1186/1749-8090-6-102.
7
[Severe right ventricular hypertension secondary to metastatic obstruction due to hepatocarcinoma].[肝癌转移梗阻继发严重右心室高血压]
Arch Cardiol Mex. 2005 Apr-Jun;75(2):170-7.
8
Metastatic hepatocellular carcinoma obstructing the right ventricular outflow tract.转移性肝细胞癌阻塞右心室流出道。
Jpn J Thorac Cardiovasc Surg. 2000 Aug;48(8):516-9. doi: 10.1007/BF03218189.
9
Metastatic hepatocellular carcinoma of the right atrium causing right ventricular outflow tract obstruction during induction of anesthesia--a case report.
Acta Anaesthesiol Sin. 2002 Dec;40(4):205-8.
10
Metastatic squamous cell carcinoma causing right ventricular outflow tract obstruction.转移性鳞状细胞癌导致右心室流出道梗阻。
Heart. 2007 Jun;93(6):697. doi: 10.1136/hrt.2006.091611.

引用本文的文献

1
Isolated metastasis of hepatocellular carcinoma in the right ventricle.肝细胞癌孤立性右心室转移。
BMC Cardiovasc Disord. 2019 Dec 12;19(1):287. doi: 10.1186/s12872-019-01290-6.
2
Restrictive surgical approach to palliate angina in a patient with coronary three vessel disease and biventricular metastatic hepatocellular carcinoma.对患有冠状动脉三支病变和双心室转移性肝细胞癌的患者采用限制性手术方法缓解心绞痛。
World J Surg Oncol. 2017 Dec 7;15(1):217. doi: 10.1186/s12957-017-1256-7.
3
Hepatocellular carcinoma to the right ventricle.

本文引用的文献

1
Efficacy and safety of sorafenib in patients in the Asia-Pacific region with advanced hepatocellular carcinoma: a phase III randomised, double-blind, placebo-controlled trial.索拉非尼在亚太地区晚期肝细胞癌患者中的疗效和安全性:一项III期随机、双盲、安慰剂对照试验。
Lancet Oncol. 2009 Jan;10(1):25-34. doi: 10.1016/S1470-2045(08)70285-7. Epub 2008 Dec 16.
2
Case 1. Right ventricular outflow obstruction caused by metastatic hepatocellular carcinoma.病例1. 转移性肝细胞癌导致的右心室流出道梗阻。
J Clin Oncol. 2004 Mar 15;22(6):1152-3. doi: 10.1200/JCO.2004.04.151.
3
Effectiveness of transcoronary chemoembolization for metastatic right ventricular tumor derived from hepatocellular carcinoma.
肝细胞癌转移至右心室。
Case Rep Cardiol. 2014;2014:192737. doi: 10.1155/2014/192737. Epub 2014 Nov 30.
4
A rare cause for acute cor pulmonale.急性肺源性心脏病的罕见病因。
Case Rep Gastroenterol. 2011 May;5(2):330-5. doi: 10.1159/000329348. Epub 2011 Jun 10.
经冠状动脉化疗栓塞术治疗源自肝细胞癌的右心室转移瘤的疗效
Chest. 2000 Jan;117(1):287-9. doi: 10.1378/chest.117.1.287.
4
Echocardiographic diagnosis of a right ventricular metastatic tumor.右心室转移性肿瘤的超声心动图诊断
Arch Intern Med. 1980 Jan;140(1):122-3.
5
Metastasis of hepatocellular carcinoma to the heart: unusual patterns in three cases with antemortem diagnosis.
J Formos Med Assoc. 1992 Apr;91(4):457-61.