Suppr超能文献

BLV-CoCoMo-qPCR:利用 CoCoMo 算法定量检测牛白血病病毒前病毒载量。

BLV-CoCoMo-qPCR: Quantitation of bovine leukemia virus proviral load using the CoCoMo algorithm.

机构信息

Viral Infectious Diseases Unit, RIKEN, 2-1 Hirosawa, Wako, Saitama 351-0198, Japan.

出版信息

Retrovirology. 2010 Nov 2;7:91. doi: 10.1186/1742-4690-7-91.

Abstract

BACKGROUND

Bovine leukemia virus (BLV) is closely related to human T-cell leukemia virus (HTLV) and is the etiological agent of enzootic bovine leukosis, a disease characterized by a highly extended course that often involves persistent lymphocytosis and culminates in B-cell lymphomas. BLV provirus remains integrated in cellular genomes, even in the absence of detectable BLV antibodies. Therefore, to understand the mechanism of BLV-induced leukemogenesis and carry out the selection of BLV-infected animals, a detailed evaluation of changes in proviral load throughout the course of disease in BLV-infected cattle is required. The aim of this study was to develop a new quantitative real-time polymerase chain reaction (PCR) method using Coordination of Common Motifs (CoCoMo) primers to measure the proviral load of known and novel BLV variants in clinical animals.

RESULTS

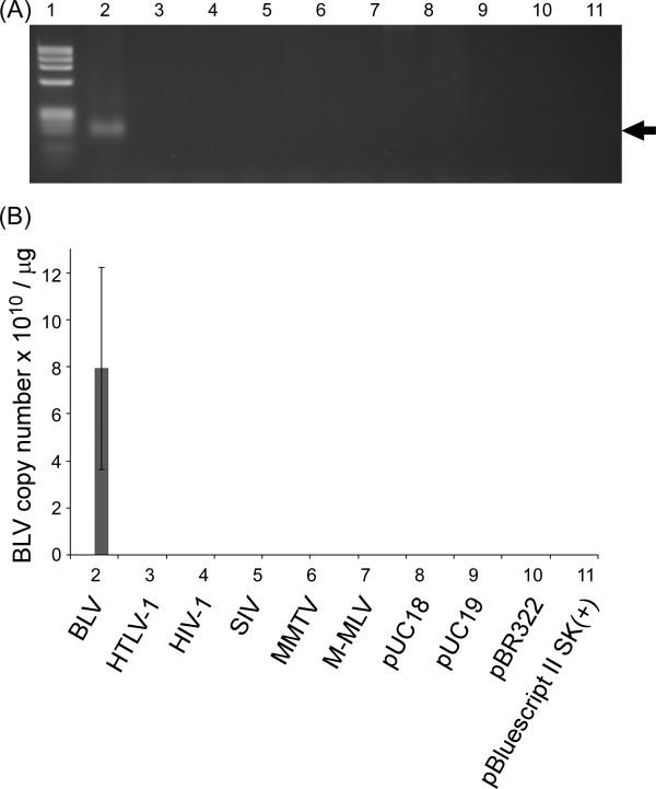
Degenerate primers were designed from 52 individual BLV long terminal repeat (LTR) sequences identified from 356 BLV sequences in GenBank using the CoCoMo algorithm, which has been developed specifically for the detection of multiple virus species. Among 72 primer sets from 49 candidate primers, the most specific primer set was selected for detection of BLV LTR by melting curve analysis after real-time PCR amplification. An internal BLV TaqMan probe was used to enhance the specificity and sensitivity of the assay, and a parallel amplification of a single-copy host gene (the bovine leukocyte antigen DRA gene) was used to normalize genomic DNA. The assay is highly specific, sensitive, quantitative and reproducible, and was able to detect BLV in a number of samples that were negative using the previously developed nested PCR assay. The assay was also highly effective in detecting BLV in cattle from a range of international locations. Finally, this assay enabled us to demonstrate that proviral load correlates not only with BLV infection capacity as assessed by syncytium formation, but also with BLV disease progression.

CONCLUSIONS

Using our newly developed BLV-CoCoMo-qPCR assay, we were able to detect a wide range of mutated BLV viruses. CoCoMo algorithm may be a useful tool to design degenerate primers for quantification of proviral load for other retroviruses including HTLV and human immunodeficiency virus type 1.

摘要

背景

牛白血病病毒(BLV)与人类 T 细胞白血病病毒(HTLV)密切相关,是地方性牛白血病的病原体,该病的特征是病程非常长,常伴有持续性淋巴细胞增多,并最终发展为 B 细胞淋巴瘤。BLV 前病毒仍然整合在细胞基因组中,即使没有检测到 BLV 抗体也是如此。因此,为了了解 BLV 诱导白血病发生的机制并对 BLV 感染动物进行选择,需要对 BLV 感染牛在整个疾病过程中的前病毒载量变化进行详细评估。本研究旨在使用 Coordination of Common Motifs(CoCoMo)引物开发一种新的定量实时聚合酶链反应(PCR)方法,以测量临床动物中已知和新型 BLV 变体的前病毒载量。

结果

使用 CoCoMo 算法从 GenBank 中 356 个 BLV 序列中鉴定的 52 个 BLV 长末端重复(LTR)序列设计了简并引物,该算法是专门为检测多种病毒物种而开发的。在 49 个候选引物的 72 个引物组中,通过实时 PCR 扩增后的熔解曲线分析选择了最特异的引物组用于检测 BLV LTR。使用 BLV TaqMan 探针内部作为内参来提高检测的特异性和敏感性,并使用单拷贝宿主基因(牛白细胞抗原 DRA 基因)的平行扩增来对基因组 DNA 进行标准化。该检测方法具有高度特异性、敏感性、定量性和可重复性,并且能够检测到先前开发的嵌套 PCR 检测方法为阴性的多个样本中的 BLV。该检测方法还在来自多个国际地点的牛中非常有效地检测到 BLV。最后,该检测方法使我们能够证明前病毒载量不仅与 BLV 感染能力(通过合胞体形成评估)相关,还与 BLV 疾病进展相关。

结论

使用我们新开发的 BLV-CoCoMo-qPCR 检测方法,我们能够检测到广泛的突变 BLV 病毒。CoCoMo 算法可能是设计用于定量其他逆转录病毒(包括 HTLV 和人类免疫缺陷病毒 1)前病毒载量的简并引物的有用工具。

https://cdn.ncbi.nlm.nih.gov/pmc/blobs/6b52/2988707/27209170b5e0/1742-4690-7-91-1.jpg

文献检索

告别复杂PubMed语法,用中文像聊天一样搜索,搜遍4000万医学文献。AI智能推荐,让科研检索更轻松。

立即免费搜索

文件翻译

保留排版,准确专业,支持PDF/Word/PPT等文件格式,支持 12+语言互译。

免费翻译文档

深度研究

AI帮你快速写综述,25分钟生成高质量综述,智能提取关键信息,辅助科研写作。

立即免费体验