Suppr超能文献

黏多糖贮积症VII型的小鼠模型。β-葡萄糖醛酸酶缺陷小鼠的大体和显微镜检查结果。

A murine model of mucopolysaccharidosis VII. Gross and microscopic findings in beta-glucuronidase-deficient mice.

作者信息

Vogler C, Birkenmeier E H, Sly W S, Levy B, Pegors C, Kyle J W, Beamer W G

机构信息

Department of Pathology and Laboratory Medicine, St. Louis University School of Medicine, Missouri.

出版信息

Am J Pathol. 1990 Jan;136(1):207-17.

Abstract

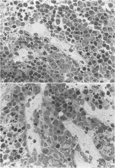
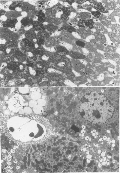
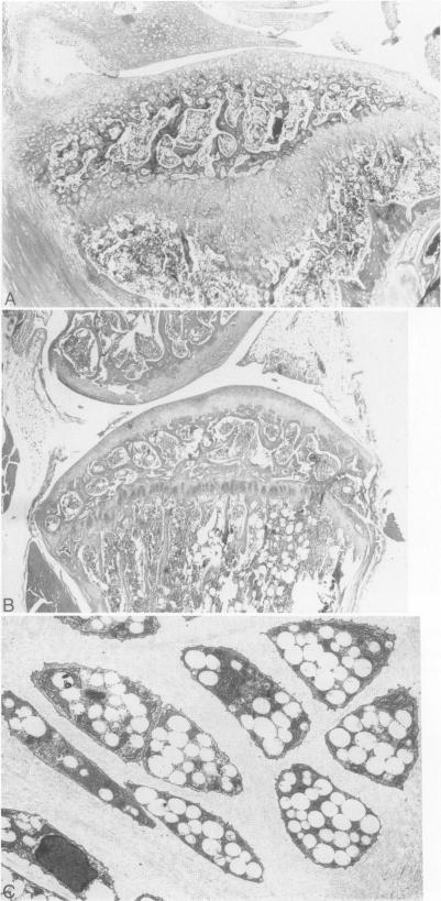
This report describes the clinical and pathologic alterations found in mice that have a recessively inherited, essentially complete deficiency of the lysosomal enzyme beta-glucuronidase. Affected animals have a shortened life span and are dysmorphic and dwarfed. Abnormal gait and decreased joint mobility correlate with glycosaminoglycan accumulation in articular tissue and cartilaginous and bony lesions result in extensive skeletal deformation. In these enzyme-deficient animals, lysosomes, distended by fine fibrillar and granular storage material, are particularly prominent in the macrophage system but also occur in other tissues including the skeletal and central nervous systems. The clinical and pathologic abnormalities in these mutant mice closely parallel those identified in humans with mucopolysaccharidoses (MPS). Therefore, these mice provide a well-defined genetic system for the analysis of the pathophysiology of mucopolysaccharidosis type VII, which has many features in common with the other MPS. The mutant mice provide an attractive animal model to test potential therapies for lysosomal storage disease.

摘要

本报告描述了在具有隐性遗传、溶酶体酶β-葡萄糖醛酸酶基本完全缺乏的小鼠中发现的临床和病理改变。患病动物寿命缩短,身体畸形且矮小。异常步态和关节活动度降低与关节组织中糖胺聚糖的积累相关,软骨和骨病变导致广泛的骨骼变形。在这些酶缺乏的动物中,被细纤维状和颗粒状储存物质扩张的溶酶体在巨噬细胞系统中尤为突出,但也出现在包括骨骼和中枢神经系统在内的其他组织中。这些突变小鼠的临床和病理异常与黏多糖贮积症(MPS)患者中发现的异常非常相似。因此,这些小鼠为分析VII型黏多糖贮积症的病理生理学提供了一个明确的遗传系统,该疾病与其他MPS有许多共同特征。这些突变小鼠为测试溶酶体贮积病的潜在治疗方法提供了一个有吸引力的动物模型。

https://cdn.ncbi.nlm.nih.gov/pmc/blobs/07b4/1877452/59a10db2afed/amjpathol00109-0206-a.jpg

文献检索

告别复杂PubMed语法,用中文像聊天一样搜索,搜遍4000万医学文献。AI智能推荐,让科研检索更轻松。

立即免费搜索

文件翻译

保留排版,准确专业,支持PDF/Word/PPT等文件格式,支持 12+语言互译。

免费翻译文档

深度研究

AI帮你快速写综述,25分钟生成高质量综述,智能提取关键信息,辅助科研写作。

立即免费体验