Suppr超能文献

在新生大鼠脑积水模型中,扩散张量成像与细胞病理学相关。

Diffusion tensor imaging correlates with cytopathology in a rat model of neonatal hydrocephalus.

作者信息

Yuan Weihong, Deren Kelley E, McAllister James P, Holland Scott K, Lindquist Diana M, Cancelliere Alessandro, Mason Melissa, Shereen Ahmed, Hertzler Dean A, Altaye Mekibib, Mangano Francesco T

机构信息

Division of Pediatric Neurosurgery, University of Cincinnati, Cincinnati Children's Hospital Medical Center MLC 2016, 3333 Burnet Avenue, Cincinnati, OH 45229, USA.

出版信息

Cerebrospinal Fluid Res. 2010 Nov 5;7:19. doi: 10.1186/1743-8454-7-19.

Abstract

BACKGROUND

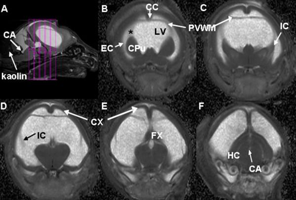
Diffusion tensor imaging (DTI) is a non-invasive MRI technique that has been used to quantify CNS abnormalities in various pathologic conditions. This study was designed to quantify the anisotropic diffusion properties in the brain of neonatal rats with hydrocephalus (HCP) and to investigate association between DTI measurements and cytopathology.

METHODS

DTI data were acquired between postnatal day 7 (P7) and P12 in 12 rats with HCP induced at P2 and in 15 age-matched controls. Animals were euthanized at P11 or P22/P23 and brains were processed with immunohistochemistry for glial fibrillary acidic protein (GFAP), ionized calcium-binding adaptor molecule (Iba-1), and luxol fast blue (LFB) to assess astrocytosis, microglial reactivity and degree of myelination, respectively.

RESULTS

Hydrocephalic rats were consistently found to have an abnormally low (at corrected p-level of <0.05) fractional anisotropy (FA) value and an abnormally high mean diffusivity (MD) value in the cerebral cortex (CX), the corpus callosum (CC), and the internal capsule (IC). Immunohistochemical analysis demonstrated trends of increasing astrocyte and microglial reactivity in HCP rats at P11 that reached statistical significance at P22/P23. A trend toward reduced myelination in the HCP rats was also found at P22/P23. Correlation analysis at P11 for the CC demonstrated statistically significant correlations (or trends) between the DTI measurement (the decreased FA and increased MD values) and the GFAP or Iba-1 rankings. The immunohistochemical rankings in the IC at P22/P23 were also significantly correlated or demonstrated a trend with both FA and MD values.

CONCLUSIONS

This study demonstrates the feasibility of employing DTI on the brain in experimental hydrocephalus in neonatal rats and reveals impairments in multiple regions of interest in both grey and white matter. A strong correlation was found between the immunohistochemical results and the changes in anisotropic diffusion properties.

摘要

背景

扩散张量成像(DTI)是一种非侵入性磁共振成像技术,已被用于量化各种病理状况下中枢神经系统的异常情况。本研究旨在量化脑积水新生大鼠(HCP)脑内的各向异性扩散特性,并研究DTI测量值与细胞病理学之间的关联。

方法

在出生后第7天(P7)至P12期间,对12只在P2时诱导产生脑积水的大鼠以及15只年龄匹配的对照大鼠进行DTI数据采集。在P11或P22/P23时对动物实施安乐死,并对大脑进行处理,通过免疫组织化学方法检测胶质纤维酸性蛋白(GFAP)、离子钙结合衔接分子(Iba-1)和Luxol固蓝(LFB),分别评估星形细胞增生、小胶质细胞反应性和髓鞘形成程度。

结果

持续发现脑积水大鼠在大脑皮质(CX)、胼胝体(CC)和内囊(IC)中的分数各向异性(FA)值异常低(校正p值<0.05),平均扩散率(MD)值异常高。免疫组织化学分析显示,P11时HCP大鼠的星形细胞和小胶质细胞反应性呈增加趋势,在P22/P23时达到统计学显著性。在P22/P23时还发现HCP大鼠有髓鞘形成减少的趋势。P11时对CC进行的相关性分析表明,DTI测量值(FA降低和MD增加)与GFAP或Iba-1分级之间存在统计学显著相关性(或趋势)。P22/P23时IC中的免疫组织化学分级也与FA和MD值显著相关或呈趋势性相关。

结论

本研究证明了在新生大鼠实验性脑积水中对大脑应用DTI的可行性,并揭示了灰质和白质中多个感兴趣区域的损伤。免疫组织化学结果与各向异性扩散特性的变化之间存在强相关性。

https://cdn.ncbi.nlm.nih.gov/pmc/blobs/d7ab/2989304/8bb5eb9db4ee/1743-8454-7-19-1.jpg

文献AI研究员

20分钟写一篇综述,助力文献阅读效率提升50倍。

立即体验

用中文搜PubMed

大模型驱动的PubMed中文搜索引擎

马上搜索

文档翻译

学术文献翻译模型,支持多种主流文档格式。

立即体验