• 文献检索
  • 文档翻译
  • 深度研究
  • 学术资讯
  • Suppr Zotero 插件Zotero 插件
  • 邀请有礼
  • 套餐&价格
  • 历史记录
应用&插件
Suppr Zotero 插件Zotero 插件浏览器插件Mac 客户端Windows 客户端微信小程序
定价
高级版会员购买积分包购买API积分包
服务
文献检索文档翻译深度研究API 文档MCP 服务
关于我们
关于 Suppr公司介绍联系我们用户协议隐私条款
关注我们

Suppr 超能文献

核心技术专利:CN118964589B侵权必究
粤ICP备2023148730 号-1Suppr @ 2026

文献检索

告别复杂PubMed语法,用中文像聊天一样搜索,搜遍4000万医学文献。AI智能推荐,让科研检索更轻松。

立即免费搜索

文件翻译

保留排版,准确专业,支持PDF/Word/PPT等文件格式,支持 12+语言互译。

免费翻译文档

深度研究

AI帮你快速写综述,25分钟生成高质量综述,智能提取关键信息,辅助科研写作。

立即免费体验

上颌窦内多生牙并反复咯血

Supernumerary, ectopic tooth in the maxillary antrum presenting with recurrent haemoptysis.

机构信息

Medical College, Aga Khan University, Stadium Road, Karachi 74800, Pakistan.

出版信息

Head Face Med. 2010 Nov 11;6:26. doi: 10.1186/1746-160X-6-26.

DOI:10.1186/1746-160X-6-26
PMID:21070657
原文链接:https://pmc.ncbi.nlm.nih.gov/articles/PMC2992486/
Abstract

BACKGROUND

Ectopic eruption of teeth in non-dental sites is a rare phenomenon and can present in a variety of ways such as chronic or recurrent sinusitis, sepsis, nasolacrimal duct obstruction, headaches, ostiomeatal complex disease and facial numbness. However, presentation of such patients with recurrent haemoptysis has not been described in the literature so far. We have described a case of an ectopic, supernumerary molar tooth in the maxillary antrum in a patient who initially presented with haemoptysis.

CASE PRESENTATION

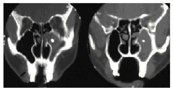
A 45-year-old male presented with a 2-month history of episodic haemoptysis. A pedunculated growth from the inferior nasal turbinate was seen with fibre-optic visualization. Although the patient was empirically started on antibiotic and anti-allergic therapy, there was no improvement after a few weeks and the patient had recurrent episodes of haemoptysis. Fibre-optic visualization was repeated showing bilateral osteomeatal erythema. Computed tomography scan of the paranasal sinuses demonstrated complete opacification of the left maxillary antrum along with a focal area of density comparable to bone. An ectopic, supernumerary molar tooth was found in the left maxillary antrum on endoscopic examination and subsequently removed. In addition, copious purulent discharge was seen. Post-operatively, the patient was treated with a 10-day course of oral amoxicillin-clavulanate. On follow-up, he reported resolution of symptoms.

CONCLUSION

Recurrent haemoptysis has not been described as a presentation for a supernumerary, ectopic tooth in literature before. We recommend that in patients with sinusitis-type of opacification of maxillary antrum and whose condition is refractory to conventional medical treatment, consideration should be given to the investigation of possible underlying anomalies as the cause of such symptoms. Presence of foreign bodies and ectopic teeth in paranasal sinuses can be reliably excluded with the use of appropriate radiological imaging and endoscopic examination.

摘要

背景

牙齿异位萌出在非牙科部位是一种罕见现象,其表现形式多种多样,如慢性或复发性鼻窦炎、败血症、鼻泪管阻塞、头痛、中鼻甲复合体疾病和面部麻木等。然而,目前文献中尚未描述过此类患者出现复发性咯血的表现。我们描述了一例上颌窦内异位多生磨牙的病例,患者最初表现为咯血。

病例介绍

一名 45 岁男性因 2 个月间歇性咯血就诊。纤维光学检查可见下鼻甲有一带蒂生长物。尽管患者经验性地接受了抗生素和抗过敏治疗,但数周后仍未见改善,且患者反复发作咯血。再次进行纤维光学检查显示双侧中鼻甲红斑。鼻窦计算机断层扫描显示左侧上颌窦完全闭塞,伴有与骨密度相当的局灶性密度区。在内镜检查中发现左侧上颌窦内有一颗异位、额外的磨牙,并随后将其切除。此外,还可见大量脓性分泌物。术后,患者接受了 10 天疗程的口服阿莫西林克拉维酸钾治疗。随访时,患者报告症状已缓解。

结论

复发性咯血在文献中尚未被描述为异位多生牙的表现。我们建议,对于上颌窦呈鼻窦炎样混浊且经常规药物治疗无效的患者,应考虑将潜在异常作为此类症状的原因进行调查。异物和异位牙可通过适当的影像学和内镜检查可靠地排除。

https://cdn.ncbi.nlm.nih.gov/pmc/blobs/c36f/2992486/93f7f3571141/1746-160X-6-26-1.jpg
https://cdn.ncbi.nlm.nih.gov/pmc/blobs/c36f/2992486/93f7f3571141/1746-160X-6-26-1.jpg
https://cdn.ncbi.nlm.nih.gov/pmc/blobs/c36f/2992486/93f7f3571141/1746-160X-6-26-1.jpg

相似文献

1
Supernumerary, ectopic tooth in the maxillary antrum presenting with recurrent haemoptysis.上颌窦内多生牙并反复咯血
Head Face Med. 2010 Nov 11;6:26. doi: 10.1186/1746-160X-6-26.
2
[Ectopic molar tooth in the maxillary sinus].[上颌窦内的异位磨牙]
Kulak Burun Bogaz Ihtis Derg. 2007;17(4):237-8.
3
Endoscopic removal of a dentigerous cyst producing unilateral maxillary sinus opacification on computed tomography.通过内镜切除在计算机断层扫描上显示为单侧上颌窦混浊的含牙囊肿。
Ear Nose Throat J. 2006 Nov;85(11):747-8.
4
A dentigerous cyst containing an ectopic canine tooth below the floor of the maxillary sinus: a case report.上颌窦底部下方含异位尖牙的含牙囊肿:一例报告
J Oral Sci. 2007 Sep;49(3):249-52. doi: 10.2334/josnusd.49.249.
5
[Ectopic teeth in the area of the paranasal sinuses].[鼻窦区域的异位牙]
HNO. 1993 Jun;41(6):317-20.
6
A Case of Simultaneous Ectopic Tooth Extraction and Removal of Migrated Dental Implant from Maxillary Sinus.一例上颌窦内异位牙拔除与移位牙种植体取出同期进行的病例
Bull Tokyo Dent Coll. 2015;56(4):253-8. doi: 10.2209/tdcpublication.56.253.
7
Ectopic teeth in the maxillary sinus: A case report and literature review.上颌窦内异位牙:一例报告及文献综述。
Indian J Dent Res. 2018 Sep-Oct;29(5):667-671. doi: 10.4103/ijdr.IJDR_347_17.
8
A Unique Case of Supernumerary Teeth Erupting Inside a Maxillary Sinus Osteoma.一例上颌窦骨瘤内额外牙萌出的独特病例。
J Clin Med. 2024 Jul 11;13(14):4067. doi: 10.3390/jcm13144067.
9
[Nasal cavity supernumerary tooth and maxillary sinusitis: one case reported].[鼻腔多生牙与上颌窦炎:1例报告]
Lin Chuang Er Bi Yan Hou Tou Jing Wai Ke Za Zhi. 2015 Aug;29(16):1494-5.
10
Sinonasal teeth.鼻窦牙
J Otolaryngol. 1995 Jun;24(3):180-3.

引用本文的文献

1
Incidentally detected ectopic maxillary tooth in an asymptomatic adult male: A rare case scenario.一名无症状成年男性偶然发现的异位上颌牙:罕见病例情况。
Radiol Case Rep. 2024 Jun 1;19(8):3492-3495. doi: 10.1016/j.radcr.2024.04.083. eCollection 2024 Aug.
2
Ectopic teeth with disparate migration: A literature review and new case series.异位牙伴不同迁移情况:文献综述及新病例系列
Imaging Sci Dent. 2023 Sep;53(3):229-238. doi: 10.5624/isd.20230040. Epub 2023 Jun 20.
3
Transinusal Pathway Removal of an Impacted Third Molar with an Unusual Approach: A Case Report and a Systematic Review of the Literature.

本文引用的文献

1
Dentigerous cyst associated with an ectopic tooth in the maxillary sinus: a report of 3 cases and review of the literature.上颌窦内与异位牙相关的含牙囊肿:3例报告并文献复习
Oral Surg Oral Med Oral Pathol Oral Radiol Endod. 2010 Jan;109(1):67-71. doi: 10.1016/j.tripleo.2009.07.043. Epub 2009 Oct 28.
2
Ectopic molar in the maxillary sinus precipitating a mucocele: a case report and literature review.上颌窦异位磨牙引发黏液囊肿:一例报告及文献综述
Ear Nose Throat J. 2009 Aug;88(8):E6-E11.
3
Dentigerous cyst associated with a displaced tooth in the maxillary sinus: an unusual cause of recurrent sinusitis in an adolescent.
经鼻窦途径采用非常规方法拔除阻生第三磨牙:一例报告及文献系统综述
Antibiotics (Basel). 2022 May 13;11(5):658. doi: 10.3390/antibiotics11050658.
4
Ectopic maxillary tooth as a cause of recurrent maxillary sinusitis: a case report and review of the literature.异位上颌牙作为复发性上颌窦炎的病因:一例病例报告及文献复习
J Surg Case Rep. 2020 Sep 30;2020(9):rjaa334. doi: 10.1093/jscr/rjaa334. eCollection 2020 Sep.
5
Cone Beam Computed Tomography Application in Finding Ectopic Tooth: A Systemic Analysis and a Case Report.锥形束计算机断层扫描在发现异位牙中的应用:系统分析与病例报告
Open Access Maced J Med Sci. 2019 Dec 20;7(24):4333-4336. doi: 10.3889/oamjms.2019.386. eCollection 2019 Dec 30.
6
Inverted Maxillary Third Molar Impactions.上颌第三磨牙倒置阻生
Ann Maxillofac Surg. 2019 Jul-Dec;9(2):484-488. doi: 10.4103/ams.ams_152_17.
7
Endoscopic removal of ectopic sinonasal teeth: a systematic review.内镜下异位鼻-鼻窦牙取出术:系统评价。
J Otolaryngol Head Neck Surg. 2019 Jul 5;48(1):30. doi: 10.1186/s40463-019-0353-8.
8
Prevalence, Characteristics, and Morphology of Supernumerary Teeth among Patients Visiting a Dental Institution in Rajasthan.拉贾斯坦邦一家牙科机构就诊患者中多生牙的患病率、特征及形态
Contemp Clin Dent. 2018 Jul-Sep;9(3):349-356. doi: 10.4103/ccd.ccd_31_18.
9
Ectopic Premolar Tooth in the Sigmoid Notch.乙状切迹中的异位前磨牙
Case Rep Dent. 2016;2016:6426523. doi: 10.1155/2016/6426523. Epub 2016 Jul 28.
10
Unusual Case of Sinusitis Related to Ectopic Teeth in the Maxillary Sinus Roof/Orbital Floor: A Report.上颌窦顶/眶底异位牙相关鼻窦炎罕见病例报告
Craniomaxillofac Trauma Reconstr. 2016 Sep;9(3):260-3. doi: 10.1055/s-0036-1581063. Epub 2016 Mar 28.
含牙囊肿合并上颌窦内牙齿移位:青少年复发性鼻窦炎的罕见病因。
Pediatr Radiol. 2009 Oct;39(10):1102-4. doi: 10.1007/s00247-009-1337-z. Epub 2009 Jul 7.
4
Adjacent dentigerous cysts with the ectopic displacement of a third mandibular molar and supernumerary (forth) molar: a rare occurrence.伴有下颌第三磨牙及额外(第四)磨牙异位的相邻含牙囊肿:一种罕见情况。
Oral Surg Oral Med Oral Pathol Oral Radiol Endod. 2009 Jun;107(6):e15-20. doi: 10.1016/j.tripleo.2009.02.002.
5
Frequency of a dental source for acute maxillary sinusitis.急性上颌窦炎牙源性病因的发生率
Laryngoscope. 2009 Mar;119(3):580-4. doi: 10.1002/lary.20095.
6
Frontal mucocele caused by an ectopic maxillary tooth.异位上颌牙引起的额窦黏液囊肿。
J Laryngol Otol. 2008 Dec;122(12):1384-5. doi: 10.1017/S002221510700062X. Epub 2007 Sep 25.
7
Dentigerous cyst associated with an ectopic third molar in the maxillary sinus: a rare entity.与上颌窦内异位第三磨牙相关的含牙囊肿:一种罕见病例。
Indian J Dent Res. 2007 Jul-Sep;18(3):141-3. doi: 10.4103/0970-9290.33793.
8
Endoscopic removal of a dentigerous cyst producing unilateral maxillary sinus opacification on computed tomography.通过内镜切除在计算机断层扫描上显示为单侧上颌窦混浊的含牙囊肿。
Ear Nose Throat J. 2006 Nov;85(11):747-8.
9
Clinical impact of ectopic teeth in the maxillary sinus.上颌窦内异位牙的临床影响。
Auris Nasus Larynx. 2006 Sep;33(3):277-81. doi: 10.1016/j.anl.2006.01.004. Epub 2006 May 3.
10
Ectopic eruption of a maxillary third molar tooth in the maxillary sinus: a case report.上颌第三磨牙异位萌出至上颌窦:一例报告
J Contemp Dent Pract. 2005 Aug 15;6(3):104-10.