Suppr超能文献

成人胸腔镜辅助下修补波氏孔疝:一例报告

Thoracoscopic-assisted repair of a bochdalek hernia in an adult: a case report.

作者信息

Tokumoto Noriaki, Tanabe Kazuaki, Yamamoto Hideki, Suzuki Takahisa, Miyata Yoshihiro, Ohdan Hideki

机构信息

Department of Surgery, Division of Frontier Medical Science, Programs for Biomedical Research, Graduate School of Biomedical Sciences, Hiroshima University, 1-2-3 Kasumi, Minami-ku, Hiroshima, 734-8551.

出版信息

J Med Case Rep. 2010 Nov 17;4:366. doi: 10.1186/1752-1947-4-366.

Abstract

INTRODUCTION

Bochdalek hernia is a congenital defect of the diaphragm that usually presents in the neonatal period with life-threatening cardiorespiratory distress. It is rare for Bochdalek hernias to remain silent until adulthood. Once a Bochdalek hernia has been diagnosed, surgical treatment is necessary to avoid complications such as perforation and necrosis.

CASE PRESENTATION

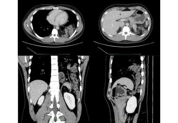
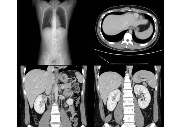
We present a 17-year-old Japanese boy with left-upper-quadrant pain for two months. Chest radiography showed an elevated left hemidiaphragm. Computed tomography revealed a congenital diaphragmatic hernia. The spleen and left colon had been displaced into the left thoracic cavity through a left posterior diaphragmatic defect. We diagnosed a Bochdalek hernia. Surgical treatment was performed via a thoracoscopic approach. The boy was placed in the reverse Trendelenburg position and intrathoracic pressure was increased by CO2 gas insufflations. This is a very useful procedure for reducing herniated contents and we were able to place the herniated organs safely back in the peritoneal cavity. The diaphragmatic defect was too large to close with thoracoscopic surgery alone. Small incision thoracotomy was required and primary closure was performed. His postoperative course was uneventful and there has been no recurrence of the diaphragmatic hernia to date.

CONCLUSION

Thoracoscopic surgery, performed with the boy in the reverse Trendelenburg position and using CO2 gas insufflations in the thoracic cavity, was shown to be useful for Bochdalek hernia repair.

摘要

引言

波氏孔疝是一种先天性膈肌缺损,通常在新生儿期表现为危及生命的心肺窘迫。波氏孔疝在成年前一直无症状的情况较为罕见。一旦诊断出波氏孔疝,就需要进行手术治疗以避免诸如穿孔和坏死等并发症。

病例报告

我们报告一名17岁的日本男孩,左上腹疼痛两个月。胸部X线片显示左半膈肌抬高。计算机断层扫描显示先天性膈疝。脾脏和左结肠通过左后膈肌缺损移入左胸腔。我们诊断为波氏孔疝。通过胸腔镜手术进行治疗。男孩置于头低脚高位,通过二氧化碳气体注入增加胸腔内压力。这是一种非常有用的减少疝内容物的方法,我们能够将疝出的器官安全地放回腹腔。膈肌缺损太大,仅通过胸腔镜手术无法闭合。需要小切口开胸并进行一期缝合。他术后恢复顺利,迄今为止膈疝未复发。

结论

对于波氏孔疝修补术,将男孩置于头低脚高位并在胸腔内使用二氧化碳气体注入进行胸腔镜手术被证明是有用的。

https://cdn.ncbi.nlm.nih.gov/pmc/blobs/0a8c/3000846/bafda475dffc/1752-1947-4-366-1.jpg

文献AI研究员

20分钟写一篇综述,助力文献阅读效率提升50倍。

立即体验

用中文搜PubMed

大模型驱动的PubMed中文搜索引擎

马上搜索

文档翻译

学术文献翻译模型,支持多种主流文档格式。

立即体验