Division of Infectious Diseases and International Health, Department of Medicine, University of Virginia, Charlottesville, Virginia, USA.
Mucosal Immunol. 2011 May;4(3):294-303. doi: 10.1038/mi.2010.76. Epub 2010 Dec 1.
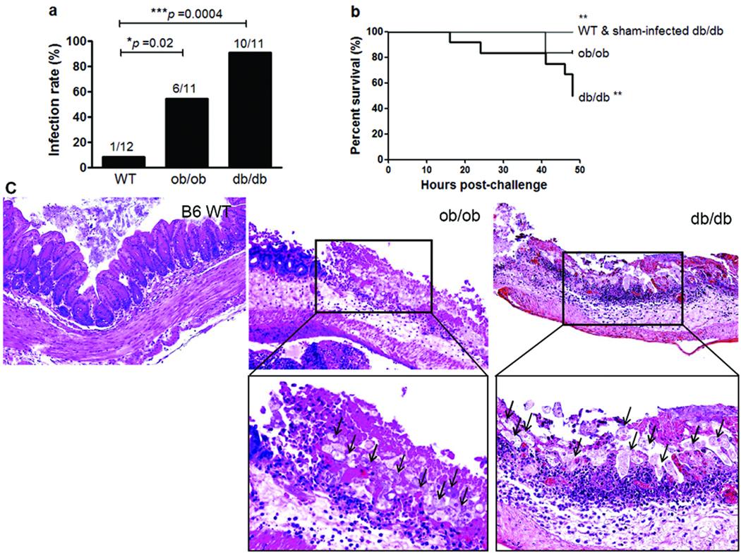
Leptin is an adipocytokine that links nutrition to immunity. Previous observation that a genetic polymorphism in the leptin receptor affected susceptibility to Entamoeba histolytica infection led to the hypothesis that leptin signaling has a protective role during intestinal amebic infection. In this study we show that mice lacking the functional leptin receptor developed devastating mucosal destruction after E. histolytica infection. Bone marrow chimera experiments demonstrated that leptin receptor expressed on hematopoietic cells was not sufficient to confer resistance. Similarly, peripheral knockout of the leptin receptor rendered animals susceptible, indicating that central expression of the leptin receptor was not sufficient to confer protection. The site of leptin action was localized to the gut via an intestinal epithelium-specific deletion of the leptin receptor, which rendered mice susceptible to infection and mucosal destruction by the parasite. Mutation of tyrosine 985 or 1138 in the intracellular domain of the leptin receptor, which mediates signaling through the SH2-containing tyrosine phosphatase/extracellular signal-regulated kinase (SHP2/ERK) and signal transducer and activator of transcription 3 (STAT3) pathways, respectively, demonstrated that both were important for mucosal protection. We conclude that leptin-mediated resistance to amebiasis is via its actions on intestinal epithelium rather than hematopoietic cells or the brain, and requires leptin receptor signaling through both the STAT3 and SHP2/ERK pathways.
瘦素是一种脂肪细胞因子,它将营养与免疫联系起来。先前的观察表明,瘦素受体的遗传多态性影响了对溶组织内阿米巴感染的易感性,这导致了瘦素信号在肠道阿米巴感染中具有保护作用的假设。在这项研究中,我们表明缺乏功能性瘦素受体的小鼠在感染溶组织内阿米巴后会发生严重的黏膜破坏。骨髓嵌合体实验表明,造血细胞上表达的瘦素受体不足以赋予抗性。同样,外周敲除瘦素受体使动物易感染,表明中枢表达瘦素受体不足以赋予保护。通过肠上皮细胞特异性缺失瘦素受体来定位瘦素的作用部位,这使小鼠易受寄生虫感染和黏膜破坏的影响。酪氨酸 985 或 1138 在内质域中的突变瘦素受体,分别通过含有 SH2 的酪氨酸磷酸酶/细胞外信号调节激酶 (SHP2/ERK) 和信号转导和转录激活因子 3 (STAT3) 途径介导信号转导,表明这两种途径对于黏膜保护都很重要。我们得出结论,瘦素介导的抗阿米巴病的抗性是通过其对肠上皮细胞的作用而不是通过造血细胞或大脑实现的,并且需要瘦素受体通过 STAT3 和 SHP2/ERK 途径进行信号转导。