• 文献检索
  • 文档翻译
  • 深度研究
  • 学术资讯
  • Suppr Zotero 插件Zotero 插件
  • 邀请有礼
  • 套餐&价格
  • 历史记录
应用&插件
Suppr Zotero 插件Zotero 插件浏览器插件Mac 客户端Windows 客户端微信小程序
定价
高级版会员购买积分包购买API积分包
服务
文献检索文档翻译深度研究API 文档MCP 服务
关于我们
关于 Suppr公司介绍联系我们用户协议隐私条款
关注我们

Suppr 超能文献

核心技术专利:CN118964589B侵权必究
粤ICP备2023148730 号-1Suppr @ 2026

文献检索

告别复杂PubMed语法,用中文像聊天一样搜索,搜遍4000万医学文献。AI智能推荐,让科研检索更轻松。

立即免费搜索

文件翻译

保留排版,准确专业,支持PDF/Word/PPT等文件格式,支持 12+语言互译。

免费翻译文档

深度研究

AI帮你快速写综述,25分钟生成高质量综述,智能提取关键信息,辅助科研写作。

立即免费体验

转移性肺肿瘤经肺静脉向左心房延伸:尤因肉瘤首例报告

Left atrial extension of metastatic lung tumor via pulmonary vein: report on the first case of Ewing sarcoma.

作者信息

Funakoshi Yohei, Mukohara Toru, Kataoka Tomoko, Tomioka Hideo, Chayahara Naoko, Fujiwara Yutaka, Kiyota Naomi, Shirasaka Tomonori, Oka Takanori, Okada Kenji, Okita Yutaka, Hara Shigeo, Itoh Tomoo, Fumita Soichi, Nakagawa Kazuhiko, Minami Hironobu

出版信息

Rare Tumors. 2010 Sep 30;2(3):e53. doi: 10.4081/rt.2010.e53.

DOI:10.4081/rt.2010.e53
PMID:21139968
原文链接:https://pmc.ncbi.nlm.nih.gov/articles/PMC2994530/
Abstract

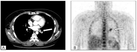
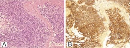
Extension of metastatic lung tumors into the left atrium via pulmonary veins is rare. Here, we report the first case of Ewing sarcoma exhibiting such extension. A 31-year-old man with pulmonary metastasis from Ewing sarcoma presented with a mass in the left lung, extending to the left atrium through the left inferior pulmonary vein. As the patient was considered to be at risk of tumor embolism, the mass was excised surgically.

摘要

转移性肺肿瘤经肺静脉延伸至左心房的情况较为罕见。在此,我们报告首例出现这种延伸情况的尤因肉瘤病例。一名31岁的男性,患有尤因肉瘤肺转移,表现为左肺有一肿块,经左下肺静脉延伸至左心房。由于该患者被认为有肿瘤栓塞风险,遂通过手术切除了肿块。

https://cdn.ncbi.nlm.nih.gov/pmc/blobs/e509/2994530/f136b145f63f/rt-2010-3-e53-g003.jpg
https://cdn.ncbi.nlm.nih.gov/pmc/blobs/e509/2994530/5fdcca65931a/rt-2010-3-e53-g001.jpg
https://cdn.ncbi.nlm.nih.gov/pmc/blobs/e509/2994530/0915d27a3b31/rt-2010-3-e53-g002.jpg
https://cdn.ncbi.nlm.nih.gov/pmc/blobs/e509/2994530/f136b145f63f/rt-2010-3-e53-g003.jpg
https://cdn.ncbi.nlm.nih.gov/pmc/blobs/e509/2994530/5fdcca65931a/rt-2010-3-e53-g001.jpg
https://cdn.ncbi.nlm.nih.gov/pmc/blobs/e509/2994530/0915d27a3b31/rt-2010-3-e53-g002.jpg
https://cdn.ncbi.nlm.nih.gov/pmc/blobs/e509/2994530/f136b145f63f/rt-2010-3-e53-g003.jpg

相似文献

1
Left atrial extension of metastatic lung tumor via pulmonary vein: report on the first case of Ewing sarcoma.转移性肺肿瘤经肺静脉向左心房延伸:尤因肉瘤首例报告
Rare Tumors. 2010 Sep 30;2(3):e53. doi: 10.4081/rt.2010.e53.
2
Metastatic atrial sarcoma extending from the lung into the left atrium via a pulmonary vein.转移性心房肉瘤经肺静脉从肺延伸至左心房。
Exp Clin Cardiol. 2012 Summer;17(2):77-8.
3
A rare case of Ewing's sarcoma/primitive neuroectodermal tumor metastasizing to left atrium through left inferior pulmonary vein.一例罕见的尤因肉瘤/原始神经外胚层肿瘤经左下肺静脉转移至左心房。
Echocardiography. 2018 Jun;35(6):885-888. doi: 10.1111/echo.13897. Epub 2018 Apr 20.
4
Atrial invasion from primary lung adenocarcinoma extension the pulmonary vein.原发性肺腺癌侵犯心房并累及肺静脉。
Intractable Rare Dis Res. 2022 May;11(2):87-89. doi: 10.5582/irdr.2022.01033.
5
[A case of pulmonary metastasis of malignant fibrous histiocytoma with left atrial infiltration via the pulmonary vein].1例恶性纤维组织细胞瘤肺转移经肺静脉浸润左心房
Kyobu Geka. 2001 Sep;54(10):895-7.
6
A case of pulmonary vein tumor presenting as a left atrial mass.一例表现为左心房肿块的肺静脉肿瘤。
Korean J Intern Med. 2007 Mar;22(1):32-6. doi: 10.3904/kjim.2007.22.1.32.
7
Primary left atrial tumor showing mitral valve stenosis and left upper lobe pulmonary edema: report of a case.
J Med Ultrason (2001). 2005 Mar;32(1):29-33. doi: 10.1007/s10396-004-0028-5.
8
Metastatic Testicular Cancer to Left Atrium via the Left Inferior Pulmonary Vein: A Case Report.经左下肺静脉转移至左心房的睾丸癌:一例报告
J Med Ultrasound. 2017 Jan-Mar;25(1):52-54. doi: 10.1016/j.jmu.2017.02.002. Epub 2017 Mar 24.
9
Extension to the Heart of Metastatic Lung Cancer Presenting as Acute Neurological Syndrome: The Key Role of Echocardiography.以急性神经综合征为表现的转移性肺癌累及心脏:超声心动图的关键作用
J Cardiovasc Echogr. 2014 Jul-Sep;24(3):89-91. doi: 10.4103/2211-4122.143982.
10
Metastatic chondrosarcoma to the lung with extension into the left atrium via invasion of the pulmonary veins: presentation as embolic cerebral infarction.转移性软骨肉瘤肺转移并通过侵犯肺静脉延伸至左心房:表现为栓塞性脑梗死。
Clin Imaging. 2002 Sep-Oct;26(5):338-41. doi: 10.1016/s0899-7071(02)00445-x.

引用本文的文献

1
Paraplegia after Pneumonectomy - A Rare Complication.肺切除术致截瘫——罕见并发症。
Ann Card Anaesth. 2024 Jan 1;27(1):79-81. doi: 10.4103/aca.aca_115_23. Epub 2024 Jan 12.
2
Remarkable Response to Cisplatin Doublet Chemotherapy in Pulmonary Metastasis With Left Atrial Extension From a Nasopharyngeal Cancer.顺铂双联化疗对鼻咽癌伴左心房转移的肺转移灶有显著疗效。
Cureus. 2021 Mar 9;13(3):e13793. doi: 10.7759/cureus.13793.
3
Ewing's Sarcoma with Extension into Superior Vena Cava and Right Atrium.尤因肉瘤侵犯上腔静脉和右心房

本文引用的文献

1
Pulmonary resection for solitary metastatic sarcomas and carcinomas.孤立性转移性肉瘤和癌的肺切除术。
Surg Gynecol Obstet. 1947 Aug;85(2):129-46.
2
Intracardiac extension of lung cancer via the pulmonary vein.肺癌经肺静脉的心脏内扩展
Thorax. 2008 Dec;63(12):1122. doi: 10.1136/thx.2007.090373.
3
Intracardiac extension of metastatic pulmonary leiomyosarcoma.
Heart Lung Circ. 2005 Jun;14(2):121-2. doi: 10.1016/j.hlc.2005.03.003.
Indian J Surg Oncol. 2019 Mar;10(1):98-100. doi: 10.1007/s13193-018-0849-0. Epub 2019 Jan 3.
4
Venous phase contrast-enhanced computed tomography facilitates the detection of pulmonary venous tumor thrombus.静脉期对比增强计算机断层扫描有助于检测肺静脉肿瘤血栓。
Gen Thorac Cardiovasc Surg. 2018 Aug;66(8):488-491. doi: 10.1007/s11748-018-0898-x. Epub 2018 Feb 6.
5
Left Atrial Mass Invasion from Pulmonary Neoplasm Extension via the Right Upper Pulmonary Vein Presenting as Ipsilateral Stroke.肺肿瘤经右上肺静脉蔓延致左心房肿物侵犯并表现为同侧脑卒中
Case Rep Med. 2016;2016:7084234. doi: 10.1155/2016/7084234. Epub 2016 Dec 8.
6
Isolated metastases of hepatocellular carcinoma in the left atrium, unresponsive to treatment with sorafenib.肝细胞癌孤立性转移至左心房,对索拉非尼治疗无反应。
Mol Clin Oncol. 2015 Mar;3(2):397-399. doi: 10.3892/mco.2014.454. Epub 2014 Nov 10.
7
Radiotherapy is effective for a primary lung cancer invading the left atrium.放射治疗对侵犯左心房的原发性肺癌有效。
BMJ Case Rep. 2012 Jul 19;2012:bcr2012006667. doi: 10.1136/bcr-2012-006667.
4
Small cell lung carcinoma invading the pulmonary vein and left atrium as imaged by PET/CT.
Eur J Nucl Med Mol Imaging. 2005 Dec;32(12):1493. doi: 10.1007/s00259-005-1930-9. Epub 2005 Sep 23.
5
Metastatic chondrosarcoma to the lung with extension into the left atrium via invasion of the pulmonary veins: presentation as embolic cerebral infarction.转移性软骨肉瘤肺转移并通过侵犯肺静脉延伸至左心房:表现为栓塞性脑梗死。
Clin Imaging. 2002 Sep-Oct;26(5):338-41. doi: 10.1016/s0899-7071(02)00445-x.
6
[A case of pulmonary metastasis of malignant fibrous histiocytoma with left atrial infiltration via the pulmonary vein].1例恶性纤维组织细胞瘤肺转移经肺静脉浸润左心房
Kyobu Geka. 2001 Sep;54(10):895-7.
7
Images in cardiology: Intra-left atrial invasive mass extended via the pulmonary vein.心脏病学影像:左心房内侵袭性肿块经肺静脉延伸。
Heart. 2001 Mar;85(3):271. doi: 10.1136/heart.85.3.271.
8
Pulmonary vein and left atrial invasion by lung cancer: assessment by breath-hold gadolinium-enhanced three-dimensional MR angiography.肺癌对肺静脉及左心房的侵犯:屏气钆增强三维磁共振血管造影评估
J Comput Assist Tomogr. 2000 Jul-Aug;24(4):557-61. doi: 10.1097/00004728-200007000-00008.
9
Preoperative identification and operative management of intraatrial extension of lung tumors.肺肿瘤心房内扩展的术前识别与手术管理。
Ann Thorac Surg. 1998 Feb;65(2):544-6. doi: 10.1016/s0003-4975(97)01335-0.
10
Tumor invasion of the pulmonary veins: a unique source of systemic embolism detected by transesophageal echocardiography.
J Am Soc Echocardiogr. 1995 Jan-Feb;8(1):97-9. doi: 10.1016/s0894-7317(05)80364-5.