Suppr超能文献

推测为心室黏液瘤所致大脑中动脉和视网膜动脉闭塞的静脉溶栓治疗

Intravenous thrombolysis of occlusion in the middle cerebral and retinal arteries from presumed ventricular myxoma.

作者信息

Ong Cheung-Ter, Chang Rei-Yeuh

机构信息

Department of Neurology, Chia-Yi Christian Hospital, 539 Chung-Shao Road, Chia-Yi 60002, Taiwan.

出版信息

Stroke Res Treat. 2010 Dec 2;2011:735057. doi: 10.4061/2011/735057.

Abstract

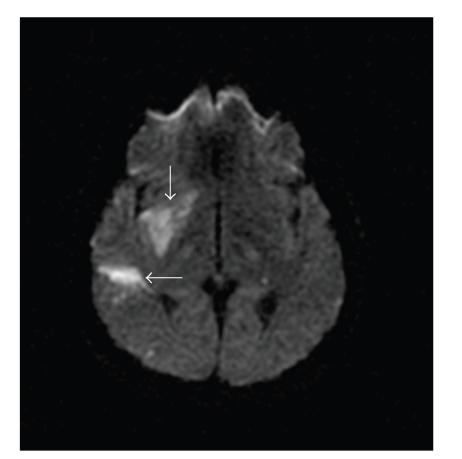
Background. Although thrombolytic therapy has been shown to be beneficial to stroke patients, the effectiveness of intravenous thrombolysis in ischemic stroke patients with ventricle myxoma is unknown. Case Description. A 22-year-old woman with left hemiplegia was sent to the emergency department at a teaching hospital. The magnetic resonance angiography showed occlusion of the right middle cerebral artery, and the echocardiography showed a mass in the left ventricle. Intravenous recombined tissue plasminogen activator (rt-PA) was administrated, and the postthrombolysis transcranial Doppler exam showed that her right middle cerebral artery was circulative. The patient's condition improved gradually, and no complication was observed up to 16 months of follow-up. Conclusion. Intravenous rt-PA is a reasonable treatment for stroke patients with ventricle myxoma.

摘要

背景。尽管溶栓治疗已被证明对中风患者有益,但静脉溶栓治疗在患有心室黏液瘤的缺血性中风患者中的有效性尚不清楚。病例描述。一名22岁左侧偏瘫女性被送往一家教学医院的急诊科。磁共振血管造影显示右大脑中动脉闭塞,超声心动图显示左心室有肿物。给予静脉注射重组组织型纤溶酶原激活剂(rt-PA),溶栓后经颅多普勒检查显示其右大脑中动脉有血流。患者病情逐渐改善,随访16个月未观察到并发症。结论。静脉注射rt-PA是患有心室黏液瘤的中风患者的合理治疗方法。

https://cdn.ncbi.nlm.nih.gov/pmc/blobs/7ad6/2997343/01daf812f08b/SRT2011-735057.001.jpg

文献AI研究员

20分钟写一篇综述,助力文献阅读效率提升50倍。

立即体验

用中文搜PubMed

大模型驱动的PubMed中文搜索引擎

马上搜索

文档翻译

学术文献翻译模型,支持多种主流文档格式。

立即体验