• 文献检索
  • 文档翻译
  • 深度研究
  • 学术资讯
  • Suppr Zotero 插件Zotero 插件
  • 邀请有礼
  • 套餐&价格
  • 历史记录
应用&插件
Suppr Zotero 插件Zotero 插件浏览器插件Mac 客户端Windows 客户端微信小程序
定价
高级版会员购买积分包购买API积分包
服务
文献检索文档翻译深度研究API 文档MCP 服务
关于我们
关于 Suppr公司介绍联系我们用户协议隐私条款
关注我们

Suppr 超能文献

核心技术专利:CN118964589B侵权必究
粤ICP备2023148730 号-1Suppr @ 2026

文献检索

告别复杂PubMed语法,用中文像聊天一样搜索,搜遍4000万医学文献。AI智能推荐,让科研检索更轻松。

立即免费搜索

文件翻译

保留排版,准确专业,支持PDF/Word/PPT等文件格式,支持 12+语言互译。

免费翻译文档

深度研究

AI帮你快速写综述,25分钟生成高质量综述,智能提取关键信息,辅助科研写作。

立即免费体验

一例以局限期小细胞肺癌副肿瘤表现形式出现的边缘叶脑炎:病例报告

A case of limbic encephalitis presenting as a paraneoplastic manifestation of limited stage small cell lung cancer: a case report.

作者信息

Fahim Ahmed, Butt Mohammad, McGivern Damian V

机构信息

Department of Cardiovascular and Respiratory Studies, Castle Hill Hospital, Cottingham, UK.

出版信息

J Med Case Rep. 2010 Dec 17;4:408. doi: 10.1186/1752-1947-4-408.

DOI:10.1186/1752-1947-4-408
PMID:21167030
原文链接:https://pmc.ncbi.nlm.nih.gov/articles/PMC3018402/
Abstract

INTRODUCTION

The differential diagnosis of altered mental status and behavioral change is very extensive. Paraneoplastic limbic encephalitis is a rare cause of cognitive impairment, which should be considered in the differential diagnosis.

CASE PRESENTATION

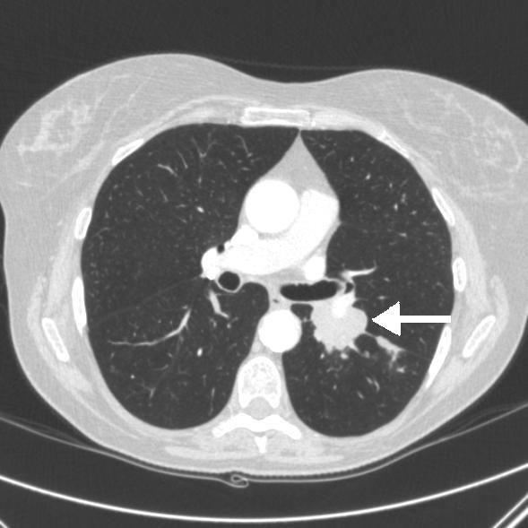
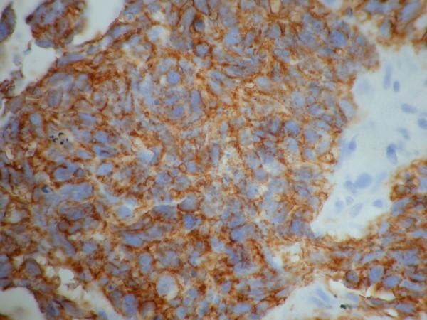
A 64-year-old British Caucasian woman presented to our hospital with a 12-week history of confusion and short-term memory loss. She was hyponatremic with a serum sodium level of 128mmol/L. Moreover, there was evidence of left hilar prominence on the chest radiograph. A thoracic computed tomography scan showed left hilar opacity with confluent lymphadenopathy. A percutaneous biopsy confirmed a diagnosis of small cell lung cancer. There was no radiological evidence of brain metastasis on the computed tomography scan. In view of continued cognitive impairment, which was felt to be disproportionate to hyponatremia, a magnetic resonance imaging scan of the brain was undertaken. It showed hyperintense signals from both hippocampi, highly suggestive of limbic encephalitis presenting as a paraneoplastic manifestation of small cell lung cancer. She had a significant radiological and clinical response following chemotherapy and radiotherapy.

CONCLUSION

This case highlights the importance of considering paraneoplastic syndromes in patients with neurological symptoms in the context of lung malignancy. If initial investigations fail to reveal the cause of cognitive impairment in a patient with malignancy, magnetic resonance imaging may be invaluable in the diagnosis of limbic encephalitis. The clinical presentation, diagnostic techniques and management of paraneoplastic limbic encephalitis are discussed in this case report.

摘要

引言

精神状态改变和行为变化的鉴别诊断范围非常广泛。副肿瘤性边缘叶脑炎是认知障碍的一种罕见病因,在鉴别诊断中应予以考虑。

病例介绍

一名64岁的英国白种女性因12周的意识模糊和短期记忆丧失前来我院就诊。她低钠血症,血清钠水平为128mmol/L。此外,胸部X线片显示左肺门突出。胸部计算机断层扫描显示左肺门模糊,伴有融合性淋巴结病。经皮活检确诊为小细胞肺癌。计算机断层扫描未发现脑转移的影像学证据。鉴于持续存在的认知障碍,且认为与低钠血症不成比例,遂对脑部进行了磁共振成像扫描。扫描显示双侧海马呈高信号,高度提示边缘叶脑炎,为小细胞肺癌的副肿瘤表现。化疗和放疗后,她在影像学和临床上均有显著改善。

结论

该病例强调了在肺癌患者出现神经症状时考虑副肿瘤综合征的重要性。如果初始检查未能揭示恶性肿瘤患者认知障碍的病因,磁共振成像在边缘叶脑炎的诊断中可能具有重要价值。本病例报告讨论了副肿瘤性边缘叶脑炎的临床表现、诊断技术和治疗方法。

https://cdn.ncbi.nlm.nih.gov/pmc/blobs/598f/3018402/4b059ecb75ab/1752-1947-4-408-7.jpg
https://cdn.ncbi.nlm.nih.gov/pmc/blobs/598f/3018402/cad178549d72/1752-1947-4-408-1.jpg
https://cdn.ncbi.nlm.nih.gov/pmc/blobs/598f/3018402/722246aaafe3/1752-1947-4-408-2.jpg
https://cdn.ncbi.nlm.nih.gov/pmc/blobs/598f/3018402/9642a26f7fbb/1752-1947-4-408-3.jpg
https://cdn.ncbi.nlm.nih.gov/pmc/blobs/598f/3018402/d52d3aec9d26/1752-1947-4-408-4.jpg
https://cdn.ncbi.nlm.nih.gov/pmc/blobs/598f/3018402/4042ff0aa557/1752-1947-4-408-5.jpg
https://cdn.ncbi.nlm.nih.gov/pmc/blobs/598f/3018402/5f7bd562b9ec/1752-1947-4-408-6.jpg
https://cdn.ncbi.nlm.nih.gov/pmc/blobs/598f/3018402/4b059ecb75ab/1752-1947-4-408-7.jpg
https://cdn.ncbi.nlm.nih.gov/pmc/blobs/598f/3018402/cad178549d72/1752-1947-4-408-1.jpg
https://cdn.ncbi.nlm.nih.gov/pmc/blobs/598f/3018402/722246aaafe3/1752-1947-4-408-2.jpg
https://cdn.ncbi.nlm.nih.gov/pmc/blobs/598f/3018402/9642a26f7fbb/1752-1947-4-408-3.jpg
https://cdn.ncbi.nlm.nih.gov/pmc/blobs/598f/3018402/d52d3aec9d26/1752-1947-4-408-4.jpg
https://cdn.ncbi.nlm.nih.gov/pmc/blobs/598f/3018402/4042ff0aa557/1752-1947-4-408-5.jpg
https://cdn.ncbi.nlm.nih.gov/pmc/blobs/598f/3018402/5f7bd562b9ec/1752-1947-4-408-6.jpg
https://cdn.ncbi.nlm.nih.gov/pmc/blobs/598f/3018402/4b059ecb75ab/1752-1947-4-408-7.jpg

相似文献

1
A case of limbic encephalitis presenting as a paraneoplastic manifestation of limited stage small cell lung cancer: a case report.一例以局限期小细胞肺癌副肿瘤表现形式出现的边缘叶脑炎:病例报告
J Med Case Rep. 2010 Dec 17;4:408. doi: 10.1186/1752-1947-4-408.
2
Coexistence of anti-SOX1 and anti-GABAB receptor antibodies with paraneoplastic limbic encephalitis presenting with seizures and memory impairment in small cell lung cancer: A case report.抗 SOX1 和抗 GABAB 受体抗体共存伴小细胞肺癌副肿瘤性边缘叶脑炎,表现为癫痫发作和记忆障碍:病例报告。
Front Immunol. 2022 Jul 28;13:955170. doi: 10.3389/fimmu.2022.955170. eCollection 2022.
3
Paraneoplastic limbic encephalitis as a cause of new onset of seizures in a patient with non-small cell lung carcinoma: a case report.副肿瘤性边缘叶脑炎作为非小细胞肺癌患者新发癫痫发作的病因:一例报告
J Med Case Rep. 2008 Aug 13;2:270. doi: 10.1186/1752-1947-2-270.
4
Paraneoplastic limbic encephalitis presenting as a neurological emergency: a case report.以神经急症形式出现的副肿瘤性边缘叶脑炎:一例报告
J Med Case Rep. 2010 Mar 24;4:95. doi: 10.1186/1752-1947-4-95.
5
Small-cell lung cancer with voltage-gated calcium channel antibody-positive paraneoplastic limbic encephalitis: a case report.伴电压门控钙通道抗体阳性副肿瘤性边缘叶脑炎的小细胞肺癌:一例报告
J Med Case Rep. 2014 Apr 8;8:119. doi: 10.1186/1752-1947-8-119.
6
Small cell lung carcinoma associated with paraneoplastic limbic encephalitis.小细胞肺癌伴副肿瘤性边缘叶脑炎。
J Formos Med Assoc. 1999 May;98(5):368-71.
7
[Partial non convulsive epileptic status as initial presentation of limbic encephalitis].[部分性非惊厥性癫痫持续状态作为边缘叶脑炎的首发表现]
Rev Neurol. 2001;32(8):734-7.
8
[Following sensory neuropathy, anti-Hu antibody-positive paraneoplastic neurological syndrome presenting with limbic encephalitis occurs after complete remission].[感觉神经病变后,抗Hu抗体阳性的副肿瘤性神经综合征伴边缘叶脑炎在完全缓解后出现]
Rinsho Shinkeigaku. 2013;53(4):287-92. doi: 10.5692/clinicalneurol.53.287.
9
Panhypopituitarism as the first sign of paraneoplastic limbic encephalitis in a patient with cured testicular cancer: a case report.肢端肥大症作为治愈性睾丸癌患者副肿瘤性边缘脑炎的首发症状:病例报告。
J Med Case Rep. 2022 Sep 29;16(1):350. doi: 10.1186/s13256-022-03603-4.
10
Seronegative Paraneoplastic Limbic Encephalitis Associated with Thymoma.与胸腺瘤相关的血清阴性副肿瘤性边缘叶脑炎
Cogn Behav Neurol. 2017 Sep;30(3):125-128. doi: 10.1097/WNN.0000000000000134.

引用本文的文献

1
A Neuropsychiatric Prelude to Unveiling Small Cell Lung Cancer with Suspected Paraneoplastic Limbic Encephalitis: A Case Report.以疑似副肿瘤性边缘叶脑炎为前奏揭示小细胞肺癌的神经精神病例报告
Curr Oncol. 2025 Jun 19;32(6):366. doi: 10.3390/curroncol32060366.

本文引用的文献

1
[Limbic encephalitis--a diagnostic challenge].[边缘性脑炎——一项诊断挑战]
Tidsskr Nor Laegeforen. 2007 Nov 29;127(23):3077-80.
2
Clinical, magnetic resonance imaging, and electroencephalographic findings in paraneoplastic limbic encephalitis.副肿瘤性边缘叶脑炎的临床、磁共振成像及脑电图检查结果
Mayo Clin Proc. 2003 Nov;78(11):1363-8. doi: 10.4065/78.11.1363.
3
Paraneoplastic limbic encephalitis: neurological symptoms, immunological findings and tumour association in 50 patients.副肿瘤性边缘叶脑炎:50例患者的神经症状、免疫学发现及肿瘤关联
Brain. 2000 Jul;123 ( Pt 7):1481-94. doi: 10.1093/brain/123.7.1481.
4
"Limbic encephalitis" and its association with carcinoma.“边缘叶脑炎”及其与癌症的关联。
Brain. 1968 Sep;91(3):481-96. doi: 10.1093/brain/91.3.481.
5
Paraneoplastic limbic encephalitis: clinico-pathological correlations.副肿瘤性边缘叶脑炎:临床病理相关性
J Neurol Neurosurg Psychiatry. 1990 Dec;53(12):1084-8. doi: 10.1136/jnnp.53.12.1084.