Suppr超能文献

通过电子测量颈椎侧位X线片上的上颌-咽角评估困难喉镜检查:一项前瞻性研究。

Assessment of difficult laryngoscopy by electronically measured maxillo-pharyngeal angle on lateral cervical radiograph: A prospective study.

作者信息

Gupta Kumkum, Gupta Prashant K

机构信息

Department of Anesthesiology & Critical Care, N.S.C.B.Subharti Medical College, Subhartipuram, NH-58, Meerut, Uttar Pradesh, India.

出版信息

Saudi J Anaesth. 2010 Sep;4(3):158-62. doi: 10.4103/1658-354X.71572.

Abstract

BACKGROUND

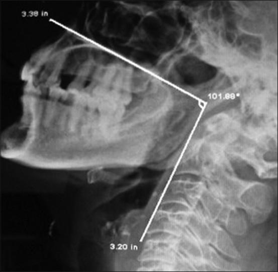
Difficult airway continued to be a major cause of anesthesia-related morbidity and mortality. Successful airway management depends on direct laryngoscopy and tracheal intubation. Difficult laryngoscopy is a resultant of incomplete structural arrangements during the process of head positioning. Through clinical history, examination of the patients along with craniofacial indices alerts the anesthetist for difficult laryngoscopy. But it does not predict all causes of difficult laryngoscopy during pre-anesthetic evaluation. The maxillo-pharyngeal angle, an upper airway anatomical balance, was proposed for better understanding the pathophysiology of difficult laryngoscopy. In our study we have assess difficult laryngoscopy by electronically measuring maxillo-pharyngeal angles on a lateral cervical radiograph. This angle is normally greater than 100°. Less than 90° angle suggests either impossible or difficult direct laryngoscopy when all known craniofacial indices were within the normal range. Cervical radiographic assessment is a simple, economical, and non-invasive predictive method for difficult laryngoscopy. It should be used routinely along with other indices as pre-anesthetic airway assessment criteria to predict the difficult laryngoscopy.

CONTEXT

Difficulties with airway management continue to be a major cause of anesthesia-related morbidity, mortality, and litigation. Pre-operative assessment of difficult laryngoscopy by the simple and non-invasive radiological method can help to prevent them.

AIMS

To assess the difficult laryngoscopy pre operatively by a simple and non invasive radiological method by electronically measuring maxillo-pharyngeal angle on a lateral cervical radiograph and it's correlation with Cormack and Lehane grading.

SETTINGS AND DESIGN

This is a controlled, nonrandomized, prospective, cohort observation study.

PATIENTS AND METHODS

The 157 adult consented patients of ASA grade I to III of either sex, scheduled for elective surgery under general anesthesia with endo-tracheal intubation, were studied. The patients with identified difficult airway indices were excluded from the study. The maxillo-pharyngeal angle was electronically measured on a lateral cervical radiograph and was correlated with ease or difficulty of laryngoscopy under general anesthesia. Their degree of laryngeal exposure according to Cormack and Lehane classification grade was also noted.

STATISTICAL ANALYSIS USED

We performed univariate analyses to evaluate the association between the covariates and direct laryngoscopy.

RESULTS

In 148 patients (94.28%), the maxillo-pharyngeal angle was more than 100°, in 7 patients (4.45%) it was less than 90°, and in 2 patients (1.27%) the M-P angle was less than 85° with normal craniofacial indices. When the MP angle was less than 90°, the direct laryngoscopy was difficult which could be compared with to Cormack and Lehane classification grade III and IV.

CONCLUSIONS

Lateral cervical radiographic assessment should be used as pre-anesthetic airway assessment criteria to predict the difficult laryngoscopy as it is a simple, safe and non-invasive method.

摘要

背景

困难气道仍然是麻醉相关发病率和死亡率的主要原因。成功的气道管理依赖于直接喉镜检查和气管插管。困难喉镜检查是头部定位过程中结构排列不完整的结果。通过临床病史、对患者的检查以及颅面指数可提醒麻醉医生注意困难喉镜检查。但在麻醉前评估中,它并不能预测困难喉镜检查的所有原因。上颌 - 咽角,一种上气道解剖平衡,被提出来以更好地理解困难喉镜检查的病理生理学。在我们的研究中,我们通过电子测量颈椎侧位片上的上颌 - 咽角来评估困难喉镜检查。这个角度通常大于100°。当所有已知的颅面指数都在正常范围内时,小于90°的角度提示直接喉镜检查不可能或困难。颈椎X线评估是一种简单、经济且无创的困难喉镜检查预测方法。它应与其他指标一起作为麻醉前气道评估标准常规使用,以预测困难喉镜检查。

背景信息

气道管理困难仍然是麻醉相关发病率、死亡率和诉讼的主要原因。通过简单且无创的放射学方法对困难喉镜检查进行术前评估有助于预防这些情况。

目的

通过电子测量颈椎侧位片上的上颌 - 咽角这一简单无创的放射学方法术前评估困难喉镜检查,并评估其与Cormack和Lehane分级的相关性。

设置与设计

这是一项对照、非随机、前瞻性队列观察研究。

患者与方法

研究了157例年龄在18岁及以上、美国麻醉医师协会(ASA)分级为I至III级、计划在全身麻醉下行气管插管择期手术的成年患者,性别不限。已确定有困难气道指标的患者被排除在研究之外。在颈椎侧位片上电子测量上颌 - 咽角,并将其与全身麻醉下喉镜检查的难易程度相关联。同时记录根据Cormack和Lehane分类分级的喉部暴露程度。

统计分析方法

我们进行单因素分析以评估协变量与直接喉镜检查之间的关联。

结果

148例患者(94.28%)的上颌 - 咽角大于100°,7例患者(4.45%)小于90°,2例患者(1.27%)的M - P角小于85°且颅面指数正常。当MP角小于90°时,直接喉镜检查困难,可与Cormack和Lehane分级III级和IV级相比较。

结论

颈椎侧位X线评估应作为麻醉前气道评估标准用于预测困难喉镜检查,因为它是一种简单、安全且无创的方法。

https://cdn.ncbi.nlm.nih.gov/pmc/blobs/7a86/2980661/f72081fdab23/SJA-4-158-g001.jpg

文献检索

告别复杂PubMed语法,用中文像聊天一样搜索,搜遍4000万医学文献。AI智能推荐,让科研检索更轻松。

立即免费搜索

文件翻译

保留排版,准确专业,支持PDF/Word/PPT等文件格式,支持 12+语言互译。

免费翻译文档

深度研究

AI帮你快速写综述,25分钟生成高质量综述,智能提取关键信息,辅助科研写作。

立即免费体验