Suppr超能文献

原发性直肠内实性皮样瘤 1 例罕见报告

A rare case of primary solid intrarectal dermoid.

机构信息

Department of Surgery, MGM Medical College and MY Hospital, Indore-452 001, India.

出版信息

Saudi J Gastroenterol. 2011 Jan-Feb;17(1):74-6. doi: 10.4103/1319-3767.74466.

Abstract

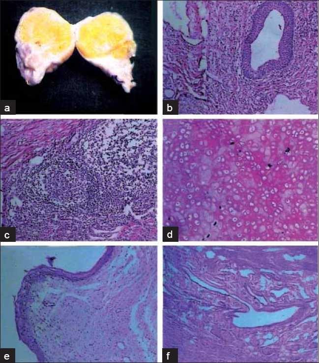
Primary rectal teratomas are rare and only few cases have been reported in the literature worldwide. These usually occur in females. These are usually cystic but very rarely solid variants may occur. We present a case of a solid intra-rectal dermoid arising primarily in rectum from postero-lateral wall. Excision biopsy was done per rectally. Histology revealed the presence of squamous epithelium, fat cells, hair follicles, cartilaginous material and columnar lining of glandular structures suggestive of mature teratoma. It is usually benign but may become malignant, therefore complete resection is advised.

摘要

原发性直肠畸胎瘤很少见,全世界文献中仅报道了少数几例。这些通常发生在女性身上。它们通常是囊性的,但很少有实性变异。我们报告了一例源自直肠后外侧壁的原发性直肠内实性皮样瘤。经直肠进行了切除活检。组织学显示存在鳞状上皮、脂肪细胞、毛囊、软骨物质和柱状腺体结构,提示为成熟的畸胎瘤。它通常是良性的,但也可能恶变,因此建议完全切除。

https://cdn.ncbi.nlm.nih.gov/pmc/blobs/62db/3099088/447e2d5d99dd/SJG-17-74-g001.jpg

文献AI研究员

20分钟写一篇综述,助力文献阅读效率提升50倍。

立即体验

用中文搜PubMed

大模型驱动的PubMed中文搜索引擎

马上搜索

文档翻译

学术文献翻译模型,支持多种主流文档格式。

立即体验