Department of Pathology, National Cancer Institute, Cairo University, Giza 12613 Egypt.
J Transl Med. 2011 Jan 3;9:1. doi: 10.1186/1479-5876-9-1.
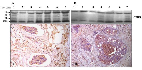
Inflammatory breast cancer (IBC) is the most aggressive form of breast cancer. In non-IBC, the cysteine protease cathepsin B (CTSB) is known to be involved in cancer progression and invasion; however, very little is known about its role in IBC.
In this study, we enrolled 23 IBC and 27 non-IBC patients. All patient tissues used for analysis were from untreated patients. Using immunohistochemistry and immunoblotting, we assessed the levels of expression of CTSB in IBC versus non-IBC patient tissues. Previously, we found that CTSB is localized to caveolar membrane microdomains in cancer cell lines including IBC, and therefore, we also examined the expression of caveolin-1 (cav-1), a structural protein of caveolae in IBC versus non-IBC tissues. In addition, we tested the correlation between the expression of CTSB and cav-1 and the number of positive metastatic lymph nodes in both patient groups.
Our results revealed that CTSB and cav-1 were overexpressed in IBC as compared to non-IBC tissues. Moreover, there was a significant positive correlation between the expression of CTSB and the number of positive metastatic lymph nodes in IBC.
CTSB may initiate proteolytic pathways crucial for IBC invasion. Thus, our data demonstrate that CTSB may be a potential prognostic marker for lymph node metastasis in IBC.
炎性乳腺癌(IBC)是乳腺癌中最具侵袭性的一种。在非 IBC 中,半胱氨酸蛋白酶 cathepsin B(CTSB)被认为参与了癌症的进展和侵袭;然而,关于其在 IBC 中的作用却知之甚少。
在这项研究中,我们纳入了 23 例 IBC 和 27 例非 IBC 患者。所有用于分析的患者组织均来自未经治疗的患者。通过免疫组织化学和免疫印迹,我们评估了 CTSB 在 IBC 与非 IBC 患者组织中的表达水平。此前,我们发现 CTSB 在包括 IBC 在内的癌细胞系中定位于 caveolar 膜微域,因此,我们还检查了 caveolin-1(cav-1)在 IBC 与非 IBC 组织中的表达情况。此外,我们还测试了 CTSB 和 cav-1 的表达与两组患者阳性转移淋巴结数量之间的相关性。
我们的结果表明,与非 IBC 组织相比,CTSB 和 cav-1 在 IBC 中过度表达。此外,在 IBC 中,CTSB 的表达与阳性转移淋巴结的数量之间存在显著的正相关。
CTSB 可能启动了对 IBC 侵袭至关重要的蛋白水解途径。因此,我们的数据表明,CTSB 可能是 IBC 淋巴结转移的一个潜在预后标志物。