Broegelmann Research Laboratory, The Gade Institute, University of Bergen, The Laboratory Building, Bergen N-5021, Norway.
Arthritis Res Ther. 2011 Jan 7;13(1):R2. doi: 10.1186/ar3220.
The presence of circulating Ro/SSA and La/SSB autoantibodies has become an important marker in the classification criteria for primary Sjögren's syndrome (pSS). Plasma cells producing these autoantibodies are mainly high affinity plasma cells originating from germinal centre reactions. When exposed to the right microenvironment these autoimmune plasma cells become long-lived and resistant to immunosuppressive treatment. Since autoimmune plasma cells have been detected in the salivary glands of SS patients, we wanted to investigate if the glandular microenvironment is suitable for plasma cell survival and if glandular residing plasma cells are the long-lived plasma cell subset.
Single, double and triple immunohistochemistry as well as immunofluorescence staining was performed on minor salivary gland tissue retrieved from pSS, chronically inflamed and normal subjects.
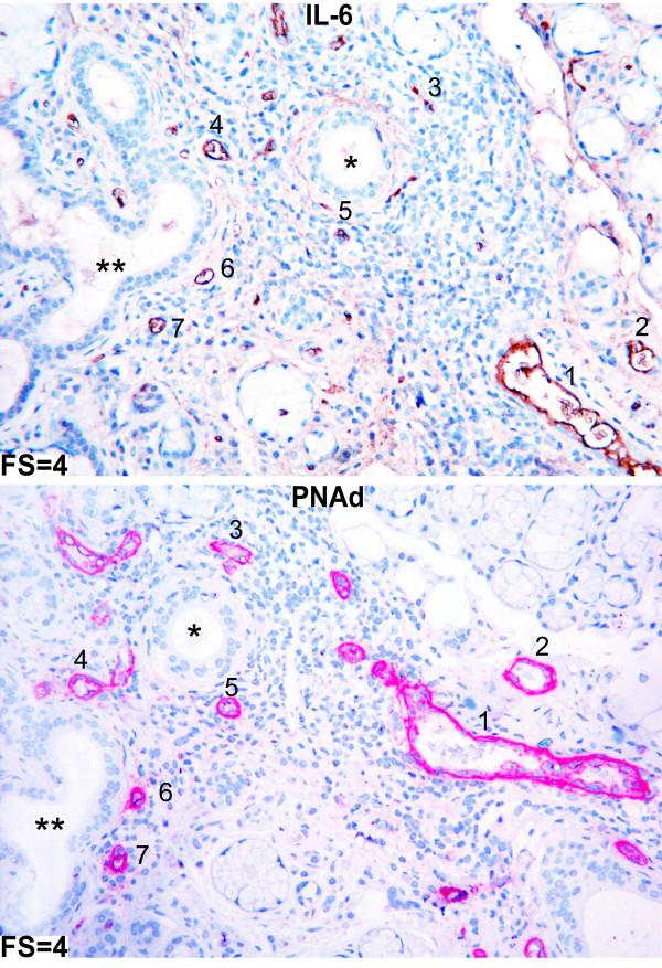
We detected significant numbers of CD138+, non-proliferating, Bcl-2 expressing plasma cells in the salivary glands of pSS patients with high focus score (FS). Furthermore, we demonstrated that CXCL12 and interleukin (IL)-6 survival factors were highly expressed in pSS salivary gland epithelium and by focal mononuclear infiltrating cells. Notably, adipocytes when present in the salivary gland tissue were an important source of CXCL12. We clearly demonstrate that plasma cells are localised in close proximity to CXCL12 and IL-6 expressing cells and thus that the environment of salivary glands with high FS provide factors vital for plasma cell survival.
Plasma cells residing in the salivary glands of pSS patients with high FS showed phenotypic characteristics of the long-lived plasma cell subtype. Furthermore, the pSS salivary gland microenvironment provided niches rich in factors vital for plasma cell survival.
循环 Ro/SSA 和 La/SSB 自身抗体的存在已成为原发性干燥综合征(pSS)分类标准中的重要标志物。产生这些自身抗体的浆细胞主要是源自生发中心反应的高亲和力浆细胞。当暴露于合适的微环境中时,这些自身免疫性浆细胞会变成长寿且对免疫抑制治疗有抗性的细胞。由于已在 SS 患者的唾液腺中检测到自身免疫性浆细胞,我们想研究腺体微环境是否适合浆细胞存活,以及腺体中是否存在浆细胞是长寿浆细胞亚群。
对取自 pSS、慢性炎症和正常受试者的小唾液腺组织进行了单、双和三重免疫组织化学以及免疫荧光染色。
我们在高焦点评分(FS)的 pSS 患者的唾液腺中检测到大量 CD138+、非增殖、表达 Bcl-2 的浆细胞。此外,我们证明了 CXCL12 和白细胞介素(IL)-6 生存因子在 pSS 唾液腺上皮细胞和局灶性单核细胞浸润细胞中高度表达。值得注意的是,脂肪细胞存在于唾液腺组织中时是 CXCL12 的重要来源。我们清楚地表明,浆细胞与表达 CXCL12 和 IL-6 的细胞密切相关,因此具有高 FS 的唾液腺环境为浆细胞生存提供了重要的因素。
高 FS 的 pSS 患者的唾液腺中存在的浆细胞表现出长寿浆细胞亚群的表型特征。此外,pSS 唾液腺微环境提供了富含对浆细胞生存至关重要的因子的龛位。