Suppr超能文献

孕期母体蛋白质限制会抑制胎盘胰岛素、mTOR 和 STAT3 信号通路,并下调胎盘氨基酸转运体。

Maternal protein restriction in the rat inhibits placental insulin, mTOR, and STAT3 signaling and down-regulates placental amino acid transporters.

机构信息

Center for Pregnancy and Newborn Research, Department of Obstetrics and Gynecology, University of Texas Health Science Center San Antonio, Mail Code 7836, 7703 Floyd Curl Drive, San Antonio, Texas 78229-3900, USA.

出版信息

Endocrinology. 2011 Mar;152(3):1119-29. doi: 10.1210/en.2010-1153. Epub 2011 Feb 1.

Abstract

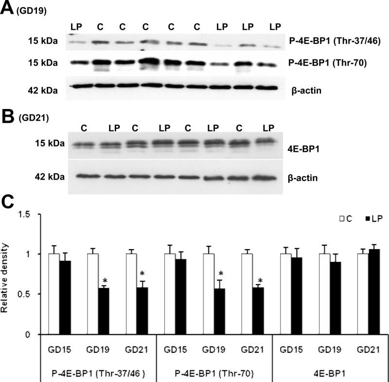
The mechanisms underlying reduced fetal growth in response to maternal protein restriction are not well established. Maternal levels of insulin, IGF-I, and leptin are decreased in rats fed a low protein (LP) diet. Because these hormones stimulate placental amino acid transporters in vitro, we hypothesized that maternal protein restriction inhibits placental leptin, insulin/IGF-I, and mammalian target of rapamycin signaling and down-regulates the expression and activity of placental amino acid transporters. Pregnant rats were fed either an isocaloric low protein (LP, 4% protein) or control diet (18% protein) and studied at gestational day (GD)15, GD19, or GD21 (term 23). At GD19 and GD21, placental expression of phosphorylated eukaryotic initiation factor 4E binding protein 1 (Thr-36/46 or Thr-70) and phosphorylated S6 ribosomal protein (Ser-235/236) was decreased in the LP group. In addition, placental expression of phosphorylated S6 kinase 1 (Thr-389), phosphorylated Akt (Thr-308), and phosphorylated signal transducer and activator of transcription 3 (Tyr-705) was reduced at GD21. In microvillous plasma membranes (MVM) isolated from placentas of LP animals, protein expression of the sodium-coupled neutral amino acid transporter (SNAT)2 and the large neutral amino acid transporters 1 and 2 was reduced at GD19 and GD21. MVM SNAT1 protein expression was reduced at GD21 in LP rats. SNAT4 and 4F2 heavy chain expression in MVM was unaltered. System A and L amino acid transporter activity was decreased in MVM from LP animals at GD19 and GD21. In conclusion, maternal protein restriction inhibits placental insulin, mammalian target of rapamycin signaling, and signal transducer and activator of transcription 3 signaling, which is associated with a down-regulation of placental amino acid transporters. We speculate that maternal endocrine and metabolic control of placental nutrient transport reduces fetal growth in response to protein restriction.

摘要

胎儿生长受限的机制尚不清楚。低蛋白(LP)饮食喂养的大鼠母体胰岛素、IGF-I 和瘦素水平降低。因为这些激素在体外刺激胎盘氨基酸转运体,所以我们假设母体蛋白质限制抑制胎盘瘦素、胰岛素/IGF-I 和哺乳动物雷帕霉素靶蛋白信号,并下调胎盘氨基酸转运体的表达和活性。怀孕大鼠分别喂食等热量的低蛋白(LP,4%蛋白质)或对照饮食(18%蛋白质),并在妊娠第 15、19 或 21 天(足月 23 天)进行研究。在第 19 和 21 天,LP 组胎盘磷酸化真核起始因子 4E 结合蛋白 1(Thr-36/46 或 Thr-70)和磷酸化 S6 核糖体蛋白(Ser-235/236)的表达减少。此外,在第 21 天,胎盘磷酸化 S6 激酶 1(Thr-389)、磷酸化 Akt(Thr-308)和磷酸化信号转导和转录激活因子 3(Tyr-705)的表达减少。在从 LP 动物胎盘分离的微绒毛质膜(MVM)中,在第 19 和 21 天,钠偶联中性氨基酸转运体(SNAT)2 和大中性氨基酸转运体 1 和 2 的蛋白质表达减少。在 LP 大鼠中,MVM SNAT1 蛋白表达在第 21 天减少。MVM SNAT4 和 4F2 重链表达无变化。在第 19 和 21 天,LP 动物的 MVM 系统 A 和 L 氨基酸转运体活性降低。总之,母体蛋白质限制抑制胎盘胰岛素、哺乳动物雷帕霉素靶蛋白信号和信号转导和转录激活因子 3 信号,这与胎盘氨基酸转运体的下调有关。我们推测,母体内分泌和代谢对胎盘营养转运的控制减少了胎儿生长对蛋白质限制的反应。

https://cdn.ncbi.nlm.nih.gov/pmc/blobs/0c69/3858644/d9e04259945d/zee0031158120001.jpg

文献检索

告别复杂PubMed语法,用中文像聊天一样搜索,搜遍4000万医学文献。AI智能推荐,让科研检索更轻松。

立即免费搜索

文件翻译

保留排版,准确专业,支持PDF/Word/PPT等文件格式,支持 12+语言互译。

免费翻译文档

深度研究

AI帮你快速写综述,25分钟生成高质量综述,智能提取关键信息,辅助科研写作。

立即免费体验