• 文献检索
  • 文档翻译
  • 深度研究
  • 学术资讯
  • Suppr Zotero 插件Zotero 插件
  • 邀请有礼
  • 套餐&价格
  • 历史记录
应用&插件
Suppr Zotero 插件Zotero 插件浏览器插件Mac 客户端Windows 客户端微信小程序
定价
高级版会员购买积分包购买API积分包
服务
文献检索文档翻译深度研究API 文档MCP 服务
关于我们
关于 Suppr公司介绍联系我们用户协议隐私条款
关注我们

Suppr 超能文献

核心技术专利:CN118964589B侵权必究
粤ICP备2023148730 号-1Suppr @ 2026

文献检索

告别复杂PubMed语法,用中文像聊天一样搜索,搜遍4000万医学文献。AI智能推荐,让科研检索更轻松。

立即免费搜索

文件翻译

保留排版,准确专业,支持PDF/Word/PPT等文件格式,支持 12+语言互译。

免费翻译文档

深度研究

AI帮你快速写综述,25分钟生成高质量综述,智能提取关键信息,辅助科研写作。

立即免费体验

乳腺癌瘤栓可能源于环绕性淋巴管生成而非淋巴管侵犯。

Breast carcinomatous tumoral emboli can result from encircling lymphovasculogenesis rather than lymphovascular invasion.

作者信息

Mahooti Sepi, Porter Kyle, Alpaugh Mary L, Ye Yin, Xiao Yi, Jones Susie, Tellez Joseph D, Barsky Sanford H

机构信息

Department of Pathology and Center for Biostatistics, The Ohio State University College of Medicine, Columbus, Ohio 43210.

Center for Biostatistics, The Ohio State University College of Medicine, Columbus, Ohio 43210.

出版信息

Oncotarget. 2010 Jun;1(2):131-147. doi: 10.18632/oncotarget.117.

DOI:10.18632/oncotarget.117
PMID:21297224
原文链接:https://pmc.ncbi.nlm.nih.gov/articles/PMC3058877/
Abstract

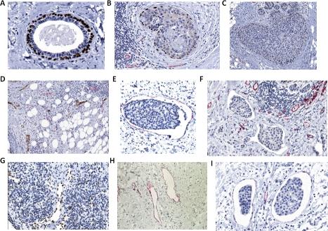
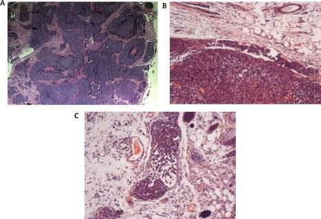
The canonical view of the origin of tumor lymphovascular emboli is that they usually originate from lymphovascular invasion as part of a multistep metastatic process. Recent experimental evidence has suggested that metastasis can occur earlier than previously thought and we found evidence that tumor emboli formation can result from the short-circuiting step of encircling lymphovasculogenesis. Experimentally, we used a xenograft of human inflammatory breast cancer (MARY-X), a model that exhibited florid tumor emboli, to generate tumoral spheroids in vitro. In observational studies, we chose human breast carcinoma cases where there appeared to be a possible transition of in situ carcinoma to lymphovascular emboli without intervening stromal invasion. These cases were studied by morphometry as well as IHC with tumor proliferation (Ki-67) and adhesion (E-cadherin) markers, myoepithelial (p63), as well as endothelial (podoplanin [D2-40], CD31, VEGFR-3, Prox-1) markers. Unlabelled spheroids coinjected with either GFP or RFP-human myoepithelial cells or murine embryonal fibroblasts (MEFs) gave rise to tumors which exhibited GFP/RFP immunoreactivity within the cells lining the emboli-containing lymphovascular channels. In vitro studies demonstrated that the tumoral spheroids induced endothelial differentiation of cocultured myoepithelial cells and MEFs, measured by real time PCR and immunofluorescence. In humans, the in situ clusters exhibited similar proliferation, E-cadherin immunoreactivity and size as the tumor emboli (p =.5), suggesting the possibility that the latter originated from the former. The in situclusters exhibited a loss (50%-100%) of p63 myoepithelial immunoreactivity but not E-cadherin epithelial immunoreactivity. The tumor emboli were mainly present within lymphatic channels whose dual p63/CD31, p63/D2-40 and p63/VEGFR-3 and overall weak patterns of D2-40/CD31/VEGFR-3 immunoreactivities suggested that they represented immature and newly created vasculature derived from originally myoepithelial-lined ducts. Collectively both experimental as well as observational studies suggested the possibility that these breast cancer emboli resulted from encircling lymphovasculogenesis rather than conventional lymphovascular invasion.

摘要

肿瘤淋巴管栓子起源的传统观点认为,它们通常起源于淋巴管侵犯,是多步骤转移过程的一部分。最近的实验证据表明,转移可能比之前认为的更早发生,并且我们发现有证据显示肿瘤栓子的形成可能源于围绕淋巴管生成的短路步骤。在实验中,我们使用了人炎性乳腺癌异种移植模型(MARY-X),该模型呈现出大量肿瘤栓子,以在体外生成肿瘤球体。在观察性研究中,我们选择了一些人类乳腺癌病例,这些病例中似乎存在原位癌向淋巴管栓子的可能转变,而没有中间的间质浸润。通过形态计量学以及使用肿瘤增殖(Ki-67)和黏附(E-钙黏蛋白)标记物、肌上皮(p63)以及内皮(足板蛋白[D2-40]、CD31、VEGFR-3、Prox-1)标记物的免疫组化对这些病例进行了研究。与绿色荧光蛋白(GFP)或红色荧光蛋白(RFP)标记的人肌上皮细胞或小鼠胚胎成纤维细胞(MEF)共注射的未标记球体产生了肿瘤,这些肿瘤在含有栓子的淋巴管通道内衬细胞内呈现出GFP/RFP免疫反应性。体外研究表明,通过实时聚合酶链反应(PCR)和免疫荧光检测,肿瘤球体诱导了共培养的肌上皮细胞和MEF的内皮分化。在人类中,原位细胞簇与肿瘤栓子表现出相似的增殖、E-钙黏蛋白免疫反应性和大小(p = 0.5),这表明后者可能起源于前者。原位细胞簇呈现出p63肌上皮免疫反应性的丧失(50%-100%),但E-钙黏蛋白上皮免疫反应性未丧失。肿瘤栓子主要存在于淋巴管内,其p63/CD31、p63/D2-40和p63/VEGFR-3的双重表达以及D2-40/CD31/VEGFR-3免疫反应性的整体较弱模式表明,它们代表了源自最初由肌上皮衬里的导管的未成熟和新生成的脉管系统。总体而言,实验研究和观察性研究均表明,这些乳腺癌栓子可能源于围绕淋巴管生成,而非传统的淋巴管侵犯。

https://cdn.ncbi.nlm.nih.gov/pmc/blobs/5ef8/3157710/304ad4e9aa22/oncotarget-01-131-g011.jpg
https://cdn.ncbi.nlm.nih.gov/pmc/blobs/5ef8/3157710/e065f31e94ff/oncotarget-01-131-g001.jpg
https://cdn.ncbi.nlm.nih.gov/pmc/blobs/5ef8/3157710/af09c0d037cf/oncotarget-01-131-g002.jpg
https://cdn.ncbi.nlm.nih.gov/pmc/blobs/5ef8/3157710/a777f29b0116/oncotarget-01-131-g003.jpg
https://cdn.ncbi.nlm.nih.gov/pmc/blobs/5ef8/3157710/a477b2a87a60/oncotarget-01-131-g004.jpg
https://cdn.ncbi.nlm.nih.gov/pmc/blobs/5ef8/3157710/492ed51fb535/oncotarget-01-131-g005.jpg
https://cdn.ncbi.nlm.nih.gov/pmc/blobs/5ef8/3157710/e2ac65c9a6f9/oncotarget-01-131-g006.jpg
https://cdn.ncbi.nlm.nih.gov/pmc/blobs/5ef8/3157710/2a32d1e2991e/oncotarget-01-131-g007.jpg
https://cdn.ncbi.nlm.nih.gov/pmc/blobs/5ef8/3157710/7725bd8d6515/oncotarget-01-131-g008.jpg
https://cdn.ncbi.nlm.nih.gov/pmc/blobs/5ef8/3157710/a75d8ee715ec/oncotarget-01-131-g009.jpg
https://cdn.ncbi.nlm.nih.gov/pmc/blobs/5ef8/3157710/69665f0349c1/oncotarget-01-131-g010.jpg
https://cdn.ncbi.nlm.nih.gov/pmc/blobs/5ef8/3157710/304ad4e9aa22/oncotarget-01-131-g011.jpg
https://cdn.ncbi.nlm.nih.gov/pmc/blobs/5ef8/3157710/e065f31e94ff/oncotarget-01-131-g001.jpg
https://cdn.ncbi.nlm.nih.gov/pmc/blobs/5ef8/3157710/af09c0d037cf/oncotarget-01-131-g002.jpg
https://cdn.ncbi.nlm.nih.gov/pmc/blobs/5ef8/3157710/a777f29b0116/oncotarget-01-131-g003.jpg
https://cdn.ncbi.nlm.nih.gov/pmc/blobs/5ef8/3157710/a477b2a87a60/oncotarget-01-131-g004.jpg
https://cdn.ncbi.nlm.nih.gov/pmc/blobs/5ef8/3157710/492ed51fb535/oncotarget-01-131-g005.jpg
https://cdn.ncbi.nlm.nih.gov/pmc/blobs/5ef8/3157710/e2ac65c9a6f9/oncotarget-01-131-g006.jpg
https://cdn.ncbi.nlm.nih.gov/pmc/blobs/5ef8/3157710/2a32d1e2991e/oncotarget-01-131-g007.jpg
https://cdn.ncbi.nlm.nih.gov/pmc/blobs/5ef8/3157710/7725bd8d6515/oncotarget-01-131-g008.jpg
https://cdn.ncbi.nlm.nih.gov/pmc/blobs/5ef8/3157710/a75d8ee715ec/oncotarget-01-131-g009.jpg
https://cdn.ncbi.nlm.nih.gov/pmc/blobs/5ef8/3157710/69665f0349c1/oncotarget-01-131-g010.jpg
https://cdn.ncbi.nlm.nih.gov/pmc/blobs/5ef8/3157710/304ad4e9aa22/oncotarget-01-131-g011.jpg

相似文献

1
Breast carcinomatous tumoral emboli can result from encircling lymphovasculogenesis rather than lymphovascular invasion.乳腺癌瘤栓可能源于环绕性淋巴管生成而非淋巴管侵犯。
Oncotarget. 2010 Jun;1(2):131-147. doi: 10.18632/oncotarget.117.
2
An intact overexpressed E-cadherin/alpha,beta-catenin axis characterizes the lymphovascular emboli of inflammatory breast carcinoma.完整的过表达上皮钙黏蛋白/α、β-连环蛋白轴是炎性乳腺癌淋巴管栓子的特征。
Cancer Res. 2001 Jul 1;61(13):5231-41.
3
Initiation of tumor dormancy by the lymphovascular embolus.淋巴血管栓子引发肿瘤休眠。
Oncotarget. 2024 Oct 11;15:726-740. doi: 10.18632/oncotarget.28658.
4
Lymphovascular Tumoral Emboli in Inflammatory Breast Cancer Result from Haptotaxis-Mediated Encircling Lymphangiogenesis.炎性乳腺癌中的淋巴管肿瘤栓子源于趋触性介导的环绕式淋巴管生成。
Lymphatics. 2024 Dec;2(4):195-211. doi: 10.3390/lymphatics2040016. Epub 2024 Oct 8.
5
D2-40 expression by breast myoepithelium: potential pitfalls in distinguishing intralymphatic carcinoma from in situ carcinoma.乳腺肌上皮细胞的D2-40表达:鉴别淋巴管内癌与原位癌时的潜在陷阱。
Hum Pathol. 2008 Feb;39(2):175-83. doi: 10.1016/j.humpath.2007.06.018.
6
Cooperative role of E-cadherin and sialyl-Lewis X/A-deficient MUC1 in the passive dissemination of tumor emboli in inflammatory breast carcinoma.E-钙黏蛋白和唾液酸化路易斯X/A缺陷型MUC1在炎性乳腺癌肿瘤栓子被动播散中的协同作用
Oncogene. 2002 May 16;21(22):3631-43. doi: 10.1038/sj.onc.1205389.
7
D2-40: an additional marker for myoepithelial cells of breast and the precaution in interpreting tumor lymphovascular invasion.D2-40:乳腺肌上皮细胞的一种额外标志物及解读肿瘤淋巴管浸润时的注意事项
Int J Clin Exp Pathol. 2011 Jan 30;4(2):175-82.
8
Geometric tumor embolic budding characterizes inflammatory breast cancer.肿瘤几何形态栓塞芽突特征表现为炎症性乳腺癌。
Breast Cancer Res Treat. 2023 Feb;197(3):461-478. doi: 10.1007/s10549-022-06819-6. Epub 2022 Dec 6.
9
Significance of lymph vessel invasion identified by the endothelial lymphatic marker D2-40 in node negative breast cancer.通过内皮淋巴管标志物D2-40鉴定的淋巴管侵犯在淋巴结阴性乳腺癌中的意义
Mod Pathol. 2007 Feb;20(2):183-91. doi: 10.1038/modpathol.3800728. Epub 2007 Jan 5.
10
The lymphovascular embolus of inflammatory breast cancer expresses a stem cell-like phenotype.炎性乳腺癌的淋巴管栓子表现出干细胞样表型。
Am J Pathol. 2008 Aug;173(2):561-74. doi: 10.2353/ajpath.2008.071214. Epub 2008 Jul 3.

引用本文的文献

1
Lymphovascular Tumoral Emboli in Inflammatory Breast Cancer Result from Haptotaxis-Mediated Encircling Lymphangiogenesis.炎性乳腺癌中的淋巴管肿瘤栓子源于趋触性介导的环绕式淋巴管生成。
Lymphatics. 2024 Dec;2(4):195-211. doi: 10.3390/lymphatics2040016. Epub 2024 Oct 8.
2
Initiation of tumor dormancy by the lymphovascular embolus.淋巴血管栓子引发肿瘤休眠。
Oncotarget. 2024 Oct 11;15:726-740. doi: 10.18632/oncotarget.28658.
3
Geometric tumor embolic budding characterizes inflammatory breast cancer.肿瘤几何形态栓塞芽突特征表现为炎症性乳腺癌。

本文引用的文献

1
Differential effects of the vascular endothelial growth factor receptor inhibitor PTK787/ZK222584 on tumor angiogenesis and tumor lymphangiogenesis.血管内皮生长因子受体抑制剂PTK787/ZK222584对肿瘤血管生成和肿瘤淋巴管生成的不同作用
Mol Cancer Ther. 2009 Jan;8(1):55-63. doi: 10.1158/1535-7163.MCT-08-0679.
2
Systemic spread is an early step in breast cancer.全身扩散是乳腺癌的早期阶段。
Cancer Cell. 2008 Jan;13(1):58-68. doi: 10.1016/j.ccr.2007.12.003.
3
Molecular biology and pathology of lymphangiogenesis.淋巴管生成的分子生物学与病理学
Breast Cancer Res Treat. 2023 Feb;197(3):461-478. doi: 10.1007/s10549-022-06819-6. Epub 2022 Dec 6.
4
Lymphovascular Invasion as a Prognostic Factor in Non-Metastatic Adenocarcinoma of Esophagogastric Junction After Radical Surgery.淋巴管浸润作为食管胃交界部非转移性腺癌根治术后的预后因素
Cancer Manag Res. 2020 Dec 14;12:12791-12799. doi: 10.2147/CMAR.S286512. eCollection 2020.
5
In vitro vascularized tumor platform for modeling tumor-vasculature interactions of inflammatory breast cancer.用于模拟炎性乳腺癌肿瘤-血管相互作用的体外血管化肿瘤平台。
Biotechnol Bioeng. 2020 Nov;117(11):3572-3590. doi: 10.1002/bit.27487. Epub 2020 Jul 21.
6
Tetraploidization of Immortalized Myoblasts Induced by Cell Fusion Drives Myogenic Sarcoma Development with Deletion.细胞融合诱导的永生化成肌细胞四倍体化驱动伴有缺失的成肌肉瘤发展。
Cancers (Basel). 2020 May 19;12(5):1281. doi: 10.3390/cancers12051281.
7
Predictors of lymphovascular invasion identified from pathological factors in Chinese patients with breast cancer.从中国乳腺癌患者病理因素中确定的淋巴管侵犯预测因素。
Oncotarget. 2017 Dec 20;9(2):2468-2474. doi: 10.18632/oncotarget.23503. eCollection 2018 Jan 5.
8
Inflammatory breast cancer: New factors contribute to disease etiology: A review.炎性乳腺癌:新的因素导致疾病病因:综述。
J Adv Res. 2014 Sep;5(5):525-36. doi: 10.1016/j.jare.2013.06.004. Epub 2013 Jun 14.
9
The membrane-cytoskeletal protein 4.1N is involved in the process of cell adhesion, migration and invasion of breast cancer cells.膜细胞骨架蛋白4.1N参与乳腺癌细胞的黏附、迁移和侵袭过程。
Exp Ther Med. 2012 Oct;4(4):736-740. doi: 10.3892/etm.2012.653. Epub 2012 Aug 3.
10
Tumor-selective, adenoviral-mediated GFP genetic labeling of human cancer in the live mouse reports future recurrence after resection.肿瘤选择性、腺病毒介导的 GFP 基因标记活鼠体内人癌症,可报告切除后的未来复发。
Cell Cycle. 2011 Aug 15;10(16):2737-41. doi: 10.4161/cc.10.16.16756.
Annu Rev Pathol. 2008;3:367-97. doi: 10.1146/annurev.pathmechdis.3.121806.151515.
4
Functionally specialized junctions between endothelial cells of lymphatic vessels.淋巴管内皮细胞之间功能特化的连接。
J Exp Med. 2007 Oct 1;204(10):2349-62. doi: 10.1084/jem.20062596. Epub 2007 Sep 10.
5
Tumour vascularization: sprouting angiogenesis and beyond.肿瘤血管生成:芽生血管生成及其他。
Cancer Metastasis Rev. 2007 Dec;26(3-4):489-502. doi: 10.1007/s10555-007-9094-7.
6
Absence of lymphangiogenesis in ductal breast cancer at the primary tumor site.原发性肿瘤部位的乳腺导管癌不存在淋巴管生成。
Cancer Lett. 2007 Aug 28;254(1):128-36. doi: 10.1016/j.canlet.2007.03.001. Epub 2007 Apr 17.
7
Double immunohistochemical staining with MUC4/p53 is useful in the distinction of pancreatic adenocarcinoma from chronic pancreatitis: a tissue microarray-based study.MUC4/p53双重免疫组化染色在鉴别胰腺腺癌与慢性胰腺炎中具有重要作用:一项基于组织芯片的研究
Arch Pathol Lab Med. 2007 Apr;131(4):556-62. doi: 10.5858/2007-131-556-DISWPI.
8
Vasculogenic mimicry: current status and future prospects.血管生成拟态:现状与未来展望
Cancer Lett. 2007 Sep 8;254(2):157-64. doi: 10.1016/j.canlet.2006.12.036. Epub 2007 Feb 15.
9
Extensive retraction artifact correlates with lymphatic invasion and nodal metastasis and predicts poor outcome in early stage breast carcinoma.广泛退缩伪像与淋巴管侵犯和淋巴结转移相关,并预示早期乳腺癌预后不良。
Am J Surg Pathol. 2007 Jan;31(1):129-40. doi: 10.1097/01.pas.0000213316.59176.9b.
10
Myoepithelial cells: pathology, cell separation and markers of myoepithelial differentiation.肌上皮细胞:病理学、细胞分离及肌上皮分化标志物
J Mammary Gland Biol Neoplasia. 2005 Jul;10(3):273-80. doi: 10.1007/s10911-005-9587-3.