Suppr超能文献

使用可激活细胞穿透肽将蓖麻毒素靶向递送至 claudin 表达的癌细胞以提高效力所面临的挑战。

Challenges associated with the targeted delivery of gelonin to claudin-expressing cancer cells with the use of activatable cell penetrating peptides to enhance potency.

机构信息

Department of Medicine and Rebecca and John Moores UCSD Cancer Center, University of California-San Diego, 3855 Health Sciences Drive, La Jolla, CA 92093-0819, USA.

出版信息

BMC Cancer. 2011 Feb 8;11:61. doi: 10.1186/1471-2407-11-61.

Abstract

BACKGROUND

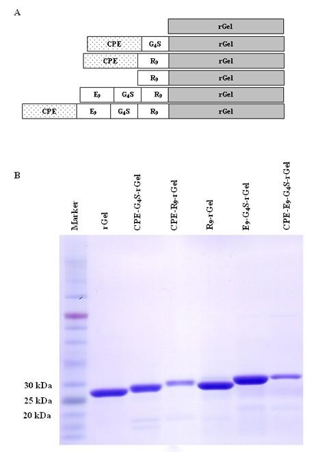
Treatment of tumors with macromolecular toxins directed to cytoplasmic targets requires selective endocytosis followed by release of intact toxin from the endosomal/lysosomal compartment. The latter step remains a particular challenge. Claudins 3 and 4 are tight junction proteins that are over-expressed in many types of tumors. This study utilized the C-terminal 30 amino acid fragment of C. perfringens enterotoxin (CPE), which binds to claudins 3 and 4, to deliver a toxin in the form of recombinant gelonin (rGel) to the cytoplasm of the human ovarian carcinoma cell line 2008.

RESULTS

CPE was fused to rGel at its N-terminal end via a flexible G4S linker. This CPE-G4S-rGel molecule was internalized into vesicles from which location it produced little cytotoxicity. To enhance release from the endosomal/lysosomal compartment a poly-arginine sequence (R9) was introduced between the CPE and the rGel. CPE-R9-rGel was 10-fold more cytotoxic but selectivity for claudin-expressing cells was lost. The addition of a poly-glutamic acid sequence (E9) through a G4S linker to R9-rGel (E9-G4S-R9-rGel) largely neutralized the non-selective cell membrane penetrating activity of the R9 motif. However, introduction of CPE to the E9-G4S-R9-rGel fusion protein (CPE-E9-G4S-R9-rGel) further reduced its cytotoxic effect. Treatment with the endosomolytic reagent chloroquine increased the cytotoxicity of CPE-E9-G4S-R9-rGel. Several types of linkers susceptible to cleavage by furin and endosomal cathepsin B were tested for their ability to enhance R9-rGel release but none of these modifications further enhanced the cytotoxicity of CPE-E9-G4S-R9-rGel.

CONCLUSION

We conclude that while a claudin-3 and -4 ligand serves to deliver rGel into 2008 cells the delivered molecules were entrapped in intracellular vesicles. Incorporation of R9 non-specifically increased rGel cytotoxicity and this effect could be masked by inclusion of an E9 sequence. However, the putative protease cleavable sequences tested were inadequate for release of R9-rGel from CPE-E9-G4S-R9-rGel.

摘要

背景

将靶向细胞质靶标的大分子毒素用于治疗肿瘤需要选择性内吞作用,然后从内体/溶酶体隔室中释放完整的毒素。后一步仍然是一个特殊的挑战。紧密连接蛋白 3 和 4 在许多类型的肿瘤中过度表达。本研究利用产气荚膜梭菌肠毒素(CPE)的 C 末端 30 个氨基酸片段,该片段与紧密连接蛋白 3 和 4 结合,将毒素以重组蓖麻毒素(rGel)的形式递送至人卵巢癌细胞系 2008 的细胞质中。

结果

通过柔性 G4S 接头将 CPE 融合到 rGel 的 N 末端。这种 CPE-G4S-rGel 分子被内吞到小泡中,从小泡中它产生的细胞毒性很小。为了增强从内体/溶酶体隔室中的释放,在 CPE 和 rGel 之间引入了多精氨酸序列(R9)。CPE-R9-rGel 的细胞毒性增加了 10 倍,但对表达紧密连接蛋白的细胞的选择性丧失。通过 G4S 接头将多谷氨酸序列(E9)添加到 R9-rGel(E9-G4S-R9-rGel)中,很大程度上中和了 R9 基序的非选择性细胞膜穿透活性。然而,将 CPE 引入 E9-G4S-R9-rGel 融合蛋白(CPE-E9-G4S-R9-rGel)中进一步降低了其细胞毒性。用内体溶酶体试剂氯喹处理可增加 CPE-E9-G4S-R9-rGel 的细胞毒性。测试了几种易受弗林和内体组织蛋白酶 B 切割的接头,以评估它们增强 R9-rGel 释放的能力,但这些修饰均未进一步增强 CPE-E9-G4S-R9-rGel 的细胞毒性。

结论

我们的结论是,虽然紧密连接蛋白 3 和 4 的配体可将 rGel 递送至 2008 细胞,但递送至的分子被困在细胞内小泡中。R9 的非特异性掺入非特异性地增加了 rGel 的细胞毒性,并且可以通过包含 E9 序列来掩盖该效应。然而,测试的假定蛋白酶可切割序列不足以从 CPE-E9-G4S-R9-rGel 中释放 R9-rGel。

https://cdn.ncbi.nlm.nih.gov/pmc/blobs/8fdc/3042419/f8e188194a56/1471-2407-11-61-1.jpg

文献AI研究员

20分钟写一篇综述,助力文献阅读效率提升50倍。

立即体验

用中文搜PubMed

大模型驱动的PubMed中文搜索引擎

马上搜索

文档翻译

学术文献翻译模型,支持多种主流文档格式。

立即体验