Suppr超能文献

使用新型人乳头瘤病毒16型(HPV - 16)阳性头颈部鳞状细胞癌(HNSCC)细胞系,以E6特异性抗体对实验性头颈部鳞状细胞癌进行放射免疫治疗。

Radioimmunotherapy of experimental head and neck squamous cell carcinoma (HNSCC) with E6-specific antibody using a novel HPV-16 positive HNSCC cell line.

作者信息

Harris Matthew, Wang Xing Guo, Jiang Zewei, Goldberg Gary L, Casadevall Arturo, Dadachova Ekaterina

机构信息

Department of Nuclear Medicine, Albert Einstein College of Medicine, Albert Einstein Cancer Center, Bronx, New York, USA.

出版信息

Head Neck Oncol. 2011 Feb 12;3(1):9. doi: 10.1186/1758-3284-3-9.

Abstract

BACKGROUND

Head and neck squamous cell carcinoma (HNSCC) is the sixth most common malignancy worldwide with a poor prognosis. Human papilloma virus (HPV) infection is associated with 20% HNSCC, and 50% of oropharyngeal carcinoma. HPV16 type is detected in 90% of all HPV+ HNSCC. Recently we suggested a fundamentally different approach to treatment of cancers of viral origin by targeting viral antigens on cancer cells with radiolabeled antibodies (mAbs) which promises exquisite specificity of treatment. We aimed at extending this approach to HPV-related head and neck cancer by performing radioimmunotherapy (RIT) targeting E6 and E7 oncogenes with radiolabeled mAbs.

METHODS

We first aimed at developing HPV16+ cell line and animal model for RIT of HNSCC as at present there are no commercially available HPV16+ HNSCC cell lines and there is only one HPV+ cell line among the collection maintained by Dusseldorf, Michigan and Turku groups. Commercially available HNSCC cell line FaDu was transfected with pLXSN16E6E7 vector containing HPV16 E6 and E7 genes. Generated novel cell lines were evaluated by PCR and western blot and the tumorigenecity was assessed in nude mice. Proof of principle RIT targeting E6 oncoprotein in 2A3 tumor-bearing nude mice was conducted using unlabeled or 188-Rhenium (188Re)-labeled C1P5 mAb to E6.

RESULTS

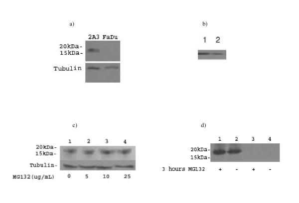
Novel HPV16+ 2A3 cell line reliably expressed E6 oncoprotein. E6 expression was modifiable with proteasome inhibitor MG132 in a dose-dependent manner. The levels of E6 expression in 2A3 cell line were estimated to be around 200 HPV copies per cell. The HPV16+ 2A3 cell line preserved 100% tumorigenicity of parent FaDu cells in nude mice. During RIT of 2A3 tumors in nude mice the relatively low dose of 200 μCi 188Re-C1P5 mAb was effective in decreasing the tumor growth in comparison with untreated controls. Unlabeled C1P5 mAb also caused some decrease in tumor progression, however, much less pronounced than 188Re-C1P5 mAb.

CONCLUSIONS

We describe a proof-of-principle RIT study targeting HPV16 E6 oncoprotein with radiolabeled mAb to E6 in a stably transformed HPV16+ HNSCC cell line and tumor model in nude mice, and demonstrate potential utility of RIT as a novel molecular targeted therapy for HNSCC.

摘要

背景

头颈部鳞状细胞癌(HNSCC)是全球第六大常见恶性肿瘤,预后较差。人乳头瘤病毒(HPV)感染与20%的HNSCC以及50%的口咽癌相关。在所有HPV阳性的HNSCC中,90%检测到HPV16型。最近我们提出了一种针对病毒源性癌症的根本不同的治疗方法,即使用放射性标记抗体(单克隆抗体)靶向癌细胞上的病毒抗原,这有望实现精确的治疗特异性。我们旨在通过用放射性标记的单克隆抗体进行靶向E6和E7癌基因的放射免疫疗法(RIT),将这种方法扩展到HPV相关的头颈部癌。

方法

我们首先旨在开发用于HNSCC放射免疫治疗的HPV16阳性细胞系和动物模型,因为目前没有可商购的HPV16阳性HNSCC细胞系,并且在杜塞尔多夫、密歇根和图尔库小组保存的细胞系中只有一种HPV阳性细胞系。将含有HPV16 E6和E7基因的pLXSN16E6E7载体转染到可商购的HNSCC细胞系FaDu中。通过PCR和蛋白质印迹法评估产生的新细胞系,并在裸鼠中评估其致瘤性。使用未标记的或188铼(188Re)标记的针对E6的C1P5单克隆抗体,在携带2A3肿瘤的裸鼠中进行靶向E6癌蛋白的原理验证放射免疫治疗。

结果

新的HPV16阳性2A3细胞系可靠地表达E6癌蛋白。E6表达可被蛋白酶体抑制剂MG132以剂量依赖的方式调节。估计2A3细胞系中E6表达水平约为每个细胞200个HPV拷贝。HPV16阳性2A3细胞系在裸鼠中保留了亲本FaDu细胞100%的致瘤性。在裸鼠2A3肿瘤的放射免疫治疗期间,与未治疗的对照相比,相对低剂量的200μCi 188Re - C1P5单克隆抗体有效地降低了肿瘤生长。未标记的C1P5单克隆抗体也使肿瘤进展有所减缓,然而,其效果远不如188Re - C1P5单克隆抗体明显。

结论

我们描述了一项原理验证性放射免疫治疗研究,该研究在稳定转化的HPV16阳性HNSCC细胞系和裸鼠肿瘤模型中,用放射性标记的针对E6的单克隆抗体靶向HPV16 E6癌蛋白,并证明了放射免疫治疗作为一种新型分子靶向疗法对HNSCC的潜在效用。

https://cdn.ncbi.nlm.nih.gov/pmc/blobs/e187/3046925/a271e4e8f28b/1758-3284-3-9-1.jpg

文献AI研究员

20分钟写一篇综述,助力文献阅读效率提升50倍。

立即体验

用中文搜PubMed

大模型驱动的PubMed中文搜索引擎

马上搜索

文档翻译

学术文献翻译模型,支持多种主流文档格式。

立即体验