Suppr超能文献

2 型糖尿病患者转移性胰岛素瘤:病例报告及文献复习。

Metastatic insulinoma in a patient with type 2 diabetes mellitus: case report and review of the literature.

机构信息

Department of Endocrinology, St. James' Hospital, Dublin 8, Ireland.

出版信息

Int J Endocrinol. 2011;2011:124078. doi: 10.1155/2011/124078. Epub 2011 Feb 10.

Abstract

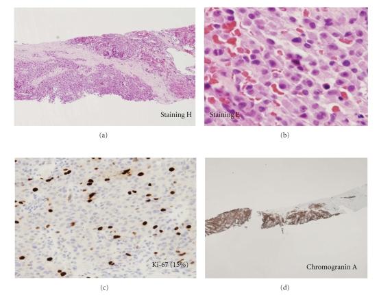
Pancreatic neuroendocrine tumors (NETs) are extremely rare, and although insulinomas are the commonest, less than 10% of insulinomas are malignant. Most patients with insulinomas present with neuroglycopenic symptoms and weight gain attributable to insulin excess. Here, we report a case where a 67-year-old lady with a background history of type 2 diabetes mellitus and breakthrough hyperinsulinism who presented with coma. The biochemical profile revealed features typical of insulinoma, and CT and endosonography confirmed a pancreatic tumor with large volume right-sided liver metastases (biopsy confirming a neuroendocrine tumor). The patient underwent successful one-step RO surgical resection, distal pancreatectomy, splenectomy, and right hepatectomy, and 9 months postoperatively, she remains free of recurrent disease. She remains a diabetic.

摘要

胰腺神经内分泌肿瘤(NETs)极为罕见,尽管胰岛素瘤最为常见,但恶性胰岛素瘤不足 10%。大多数胰岛素瘤患者表现为神经低血糖症状和因胰岛素过多导致的体重增加。在此,我们报告 1 例 67 岁女性,有 2 型糖尿病病史和突破高胰岛素血症,表现为昏迷。生化特征显示出典型的胰岛素瘤特征,CT 和内镜超声检查证实胰腺肿瘤伴大体积右侧肝转移(活检证实为神经内分泌肿瘤)。患者成功接受了一步式 RO 手术切除,胰体尾切除术、脾切除术和右半肝切除术,术后 9 个月,患者无疾病复发,仍为糖尿病。

https://cdn.ncbi.nlm.nih.gov/pmc/blobs/6800/3038577/df3b71286348/IJE2011-124078.001.jpg

文献检索

告别复杂PubMed语法,用中文像聊天一样搜索,搜遍4000万医学文献。AI智能推荐,让科研检索更轻松。

立即免费搜索

文件翻译

保留排版,准确专业,支持PDF/Word/PPT等文件格式,支持 12+语言互译。

免费翻译文档

深度研究

AI帮你快速写综述,25分钟生成高质量综述,智能提取关键信息,辅助科研写作。

立即免费体验