Suppr超能文献

胰岛素瘤与糖尿病并存:一例报告。

Co-existence of insulinoma and diabetes: A case report.

作者信息

Kamocki Zbigniew Krzysztof, Wodyńska Natalia Anna, Pryczynicz Anna

机构信息

Second Department of General and Gastroenterological Surgery, Medical University of Białystok, Bialystok 15-276, Poland.

Department of General Pathomorphology, Medical University of Białystok, Bialystok 15-276, Poland.

出版信息

Oncol Lett. 2014 Oct;8(4):1697-1700. doi: 10.3892/ol.2014.2338. Epub 2014 Jul 10.

Abstract

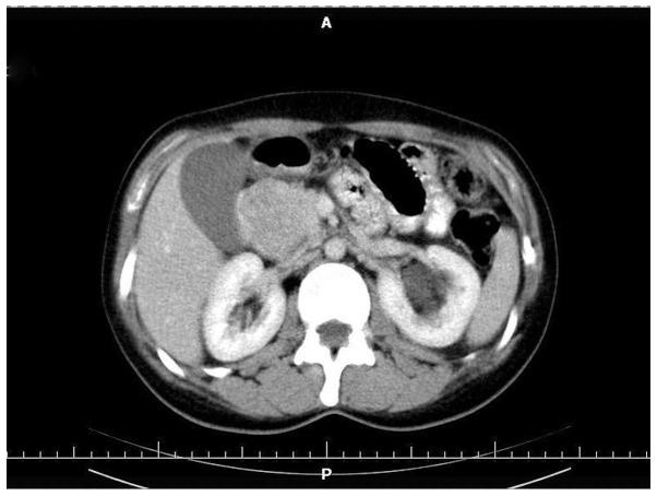
Neuroendocrine tumors constitute a group of heterogeneous neoplasms, both those that are clinically asymptomatic and those which present with an array of symptoms. This variable clinical manifestation and unsatisfactory detection rate on diagnostic imaging make preoperative diagnosis particularly challenging. Insulinoma is a rare tumor originating from insulin-synthetizing pancreatic beta cells which clinically manifests hypoglycemia. The current study presents the case of a patient with a one month history of diabetes, and a tumor of the pancreatic head diagnosed at the Regional Hospital of Lomza (Lomza, Poland). The patient subsequently underwent surgery. The histological examination indicated insulinoma; islet cell tumor of the pancreas. The patient's postoperative period was uneventful and during two years of follow-up, the patient has remained in good health with completely controlled diabetes mellitus. The hereby-presented case of pancreatic insulinoma confirms this finding, as a correct diagnosis could only be established on the basis of pathomorphological examination. In addition, radical surgical resection is currently the only available treatment.

摘要

神经内分泌肿瘤是一组异质性肿瘤,包括临床无症状的肿瘤和表现出一系列症状的肿瘤。这种多变的临床表现以及诊断性影像学检查中不尽人意的检出率使得术前诊断极具挑战性。胰岛素瘤是一种罕见的肿瘤,起源于合成胰岛素的胰腺β细胞,临床上表现为低血糖。本研究报告了一例患者,该患者有1个月的糖尿病病史,在波兰洛姆扎地区医院被诊断为胰头肿瘤。该患者随后接受了手术。组织学检查显示为胰岛素瘤;胰腺胰岛细胞瘤。患者术后恢复顺利,在两年的随访期间,患者健康状况良好,糖尿病得到完全控制。此处报告的胰腺胰岛素瘤病例证实了这一发现,因为只有通过病理形态学检查才能做出正确诊断。此外,根治性手术切除目前是唯一可行的治疗方法。

https://cdn.ncbi.nlm.nih.gov/pmc/blobs/fcdc/4156181/a731473bc3b6/OL-08-04-1697-g00.jpg

文献AI研究员

20分钟写一篇综述,助力文献阅读效率提升50倍。

立即体验

用中文搜PubMed

大模型驱动的PubMed中文搜索引擎

马上搜索

文档翻译

学术文献翻译模型,支持多种主流文档格式。

立即体验