• 文献检索
  • 文档翻译
  • 深度研究
  • 学术资讯
  • Suppr Zotero 插件Zotero 插件
  • 邀请有礼
  • 套餐&价格
  • 历史记录
应用&插件
Suppr Zotero 插件Zotero 插件浏览器插件Mac 客户端Windows 客户端微信小程序
定价
高级版会员购买积分包购买API积分包
服务
文献检索文档翻译深度研究API 文档MCP 服务
关于我们
关于 Suppr公司介绍联系我们用户协议隐私条款
关注我们

Suppr 超能文献

核心技术专利:CN118964589B侵权必究
粤ICP备2023148730 号-1Suppr @ 2026

文献检索

告别复杂PubMed语法,用中文像聊天一样搜索,搜遍4000万医学文献。AI智能推荐,让科研检索更轻松。

立即免费搜索

文件翻译

保留排版,准确专业,支持PDF/Word/PPT等文件格式,支持 12+语言互译。

免费翻译文档

深度研究

AI帮你快速写综述,25分钟生成高质量综述,智能提取关键信息,辅助科研写作。

立即免费体验

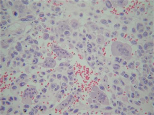
输尿管远端的破骨细胞样巨细胞癌。

Osteoclast-like giant cell carcinoma of the distal ureter.

作者信息

Park Hongzoo

机构信息

Department of Urology, School of Medicine, Kangwon National University, Chuncheon, Korea.

出版信息

Korean J Urol. 2011 Jan;52(1):68-70. doi: 10.4111/kju.2011.52.1.68. Epub 2011 Jan 24.

DOI:10.4111/kju.2011.52.1.68
PMID:21344034
原文链接:https://pmc.ncbi.nlm.nih.gov/articles/PMC3037510/
Abstract

Extraskeletal osteoclast-like giant cell (OGC) tumors are uncommon and have mainly been found in the breast and pancreas. OGC neoplasms of the urinary tract are extremely rare. Most cases found in the renal pelvis and bladder are associated with either an in situ urothelial malignancy or a conventional high-grade urothelial carcinoma. These malignancies tend to be associated with a poor prognosis and disease course. To our knowledge, no cases of OGC tumors of the distal ureter only have been published. Here, we present the case of a 76-year-old man who underwent hand-assisted laparoscopic nephroureterectomy because of painless gross hematuria with right flank pain. Pathologic examination showed OGC carcinoma of the right distal ureter. No local tumor recurrence or distant metastasis was found at the 5-month follow-up.

摘要

骨外破骨细胞样巨细胞瘤(OGC)并不常见,主要见于乳腺和胰腺。泌尿系统的OGC肿瘤极为罕见。大多数发生在肾盂和膀胱的病例与原位尿路上皮恶性肿瘤或传统的高级别尿路上皮癌有关。这些恶性肿瘤往往预后不良且病程不佳。据我们所知,仅远端输尿管OGC肿瘤的病例尚未见报道。在此,我们报告一例76岁男性患者,因无痛性肉眼血尿伴右侧腰痛接受了手辅助腹腔镜肾输尿管切除术。病理检查显示为右侧远端输尿管OGC癌。在5个月的随访中未发现局部肿瘤复发或远处转移。

https://cdn.ncbi.nlm.nih.gov/pmc/blobs/67dd/3037510/98482861bf09/kju-52-68-g004.jpg
https://cdn.ncbi.nlm.nih.gov/pmc/blobs/67dd/3037510/11d5dcdcbd6d/kju-52-68-g001.jpg
https://cdn.ncbi.nlm.nih.gov/pmc/blobs/67dd/3037510/40bebcc655f0/kju-52-68-g002.jpg
https://cdn.ncbi.nlm.nih.gov/pmc/blobs/67dd/3037510/0b951a2f393c/kju-52-68-g003.jpg
https://cdn.ncbi.nlm.nih.gov/pmc/blobs/67dd/3037510/98482861bf09/kju-52-68-g004.jpg
https://cdn.ncbi.nlm.nih.gov/pmc/blobs/67dd/3037510/11d5dcdcbd6d/kju-52-68-g001.jpg
https://cdn.ncbi.nlm.nih.gov/pmc/blobs/67dd/3037510/40bebcc655f0/kju-52-68-g002.jpg
https://cdn.ncbi.nlm.nih.gov/pmc/blobs/67dd/3037510/0b951a2f393c/kju-52-68-g003.jpg
https://cdn.ncbi.nlm.nih.gov/pmc/blobs/67dd/3037510/98482861bf09/kju-52-68-g004.jpg

相似文献

1
Osteoclast-like giant cell carcinoma of the distal ureter.输尿管远端的破骨细胞样巨细胞癌。
Korean J Urol. 2011 Jan;52(1):68-70. doi: 10.4111/kju.2011.52.1.68. Epub 2011 Jan 24.
2
Osteoclast-like giant cell carcinoma of the urinary bladder.
J Chin Med Assoc. 2009 Sep;72(9):495-7. doi: 10.1016/S1726-4901(09)70415-0.
3
Undifferentiated carcinoma of the renal pelvis with osteoclast-like giant cells: a report of two cases.肾盂未分化癌伴破骨细胞样巨细胞:两例报告。
APMIS. 2010 May;118(5):407-12. doi: 10.1111/j.1600-0463.2010.02608.x.
4
[Synchronous squamous cell carcinoma of the renal pelvis and squamous cell carcinoma of the ureter: report of two cases and review of literature].[肾盂同步鳞状细胞癌与输尿管鳞状细胞癌:两例报告及文献复习]
Nan Fang Yi Ke Da Xue Xue Bao. 2010 Dec;30(12):2765-7.
5
Resection of the Intramural Portion of the Distal Ureter during Transurethral Resection of Bladder Tumors: Predictive Factors for Secondary Stenosis and Development of Upper Urinary Tract Recurrence.经尿道膀胱肿瘤切除术时切除远端输尿管壁内段:预测继发性狭窄和上尿路复发的因素。
J Urol. 2016 Jul;196(1):52-6. doi: 10.1016/j.juro.2016.01.038. Epub 2016 Jan 21.
6
A comparative study of different surgical techniques for the management of distal ureter during laparoscopic radical nephroureterectomy.腹腔镜根治性肾输尿管切除术治疗远端输尿管时不同手术技术的比较研究
Actas Urol Esp (Engl Ed). 2019 Dec;43(10):543-550. doi: 10.1016/j.acuro.2019.07.001. Epub 2019 Aug 23.
7
Primary urothelial carcinoma of the ureter: 11-year experience in Taipei Veterans General Hospital.输尿管原发性尿路上皮癌:台北荣民总医院11年经验
J Chin Med Assoc. 2005 Nov;68(11):522-30. doi: 10.1016/S1726-4901(09)70087-5.
8
Hand-assisted laparoscopic nephroureterectomy for the treatment of transitional cell carcinoma of the upper urinary tract.手辅助腹腔镜肾输尿管切除术治疗上尿路移行细胞癌
Urology. 2000 Nov 1;56(5):741-7. doi: 10.1016/s0090-4295(00)00751-2.
9
Management of the Distal Ureter in Radical Laparoscopic Nephroureterectomy for Upper Tract Urothelial Carcinoma.根治性腹腔镜肾盂输尿管切除术治疗上尿路尿路上皮癌中远端输尿管的处理。
J Laparoendosc Adv Surg Tech A. 2021 Jun;31(6):610-620. doi: 10.1089/lap.2020.0420. Epub 2020 Jul 23.
10
Undifferentiated carcinoma with osteoclast-like giant cells of the pancreas harboring KRAS and BRCA mutations: case report and whole exome sequencing analysis.胰腺伴破骨样巨细胞的未分化癌,携带 KRAS 和 BRCA 突变:病例报告和全外显子组测序分析。
BMC Gastroenterol. 2020 Jun 26;20(1):202. doi: 10.1186/s12876-020-01351-7.

引用本文的文献

1
Undifferentiated carcinoma of the liver with osteoclast-like giant cells: a case report and literature review.伴有破骨细胞样巨细胞的肝未分化癌:一例报告及文献复习
Infect Agent Cancer. 2024 Apr 20;19(1):14. doi: 10.1186/s13027-024-00582-7.
2
Poorly differentiated muscle-invasive giant cell tumor of the bladder leads to unfavorable clinical outcome.膀胱低分化肌层浸润性巨细胞瘤导致不良临床结局。
J Surg Case Rep. 2022 Apr 11;2022(4):rjac046. doi: 10.1093/jscr/rjac046. eCollection 2022 Apr.

本文引用的文献

1
Undifferentiated carcinoma of the renal pelvis with osteoclast-like giant cells: a report of two cases.肾盂未分化癌伴破骨细胞样巨细胞:两例报告。
APMIS. 2010 May;118(5):407-12. doi: 10.1111/j.1600-0463.2010.02608.x.
2
Osteoclast-rich undifferentiated carcinoma of the urinary tract: cytologic findings and literature review.富含破骨细胞的泌尿道未分化癌:细胞学发现及文献综述
Diagn Cytopathol. 2010 May;38(5):364-7. doi: 10.1002/dc.21218.
3
Osteoclast-like giant cell carcinoma of the urinary bladder.
J Chin Med Assoc. 2009 Sep;72(9):495-7. doi: 10.1016/S1726-4901(09)70415-0.
4
Osteoclast-rich undifferentiated carcinomas of the urinary tract.富含破骨细胞的泌尿道未分化癌。
Mod Pathol. 2006 Feb;19(2):161-71. doi: 10.1038/modpathol.3800521.
5
Osteoclast-like giant cell tumor of the pancreas associated with a mucinous cystadenocarcinoma.胰腺破骨细胞样巨细胞瘤伴黏液性囊腺癌
Surgery. 2003 Jun;133(6):700-1. doi: 10.1067/msy.2003.39.
6
Recurrent giant cell carcinoma of the bladder.复发性膀胱巨细胞癌
J Urol. 2002 Apr;167(4):1784.
7
Undifferentiated carcinoma with osteoclast-like giant cells of the pancreas and periampullary region.胰腺和壶腹周围区域的伴有破骨细胞样巨细胞的未分化癌。
Cancer. 1998 Apr 1;82(7):1279-87. doi: 10.1002/(sici)1097-0142(19980401)82:7<1279::aid-cncr10>3.0.co;2-3.
8
Osteoclastoma-like giant cell tumor of the thyroid. Report of a case with prolonged survival following partial excision and radiotherapy.
Cancer. 1973 Mar;31(3):621-5. doi: 10.1002/1097-0142(197303)31:3<621::aid-cncr2820310319>3.0.co;2-n.