• 文献检索
  • 文档翻译
  • 深度研究
  • 学术资讯
  • Suppr Zotero 插件Zotero 插件
  • 邀请有礼
  • 套餐&价格
  • 历史记录
应用&插件
Suppr Zotero 插件Zotero 插件浏览器插件Mac 客户端Windows 客户端微信小程序
定价
高级版会员购买积分包购买API积分包
服务
文献检索文档翻译深度研究API 文档MCP 服务
关于我们
关于 Suppr公司介绍联系我们用户协议隐私条款
关注我们

Suppr 超能文献

核心技术专利:CN118964589B侵权必究
粤ICP备2023148730 号-1Suppr @ 2026

文献检索

告别复杂PubMed语法,用中文像聊天一样搜索,搜遍4000万医学文献。AI智能推荐,让科研检索更轻松。

立即免费搜索

文件翻译

保留排版,准确专业,支持PDF/Word/PPT等文件格式,支持 12+语言互译。

免费翻译文档

深度研究

AI帮你快速写综述,25分钟生成高质量综述,智能提取关键信息,辅助科研写作。

立即免费体验

CTNNBL1 是一种新型核定位序列结合蛋白,可识别 RNA 剪接因子 CDC5L 和 Prp31。

CTNNBL1 is a novel nuclear localization sequence-binding protein that recognizes RNA-splicing factors CDC5L and Prp31.

机构信息

Medical Research Council Laboratory of Molecular Biology, Hills Road, Cambridge CB2 0QH, United Kingdom.

出版信息

J Biol Chem. 2011 May 13;286(19):17091-102. doi: 10.1074/jbc.M110.208769. Epub 2011 Mar 8.

DOI:10.1074/jbc.M110.208769
PMID:21385873
原文链接:https://pmc.ncbi.nlm.nih.gov/articles/PMC3089553/
Abstract

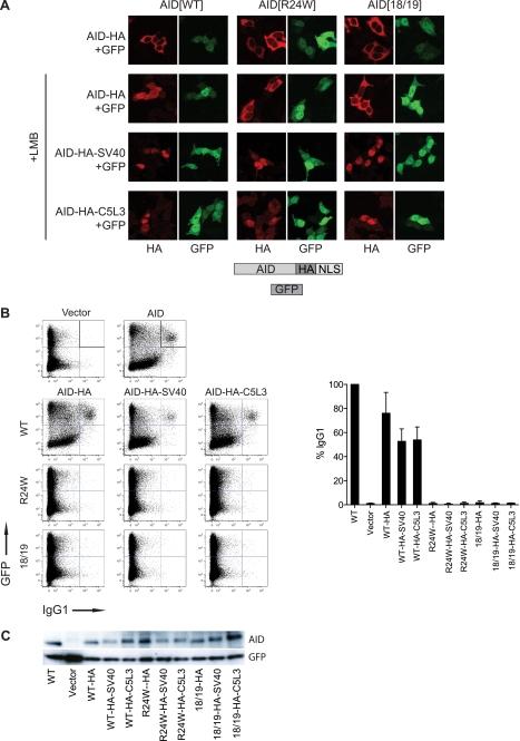
Nuclear proteins typically contain short stretches of basic amino acids (nuclear localization sequences; NLSs) that bind karyopherin α family members, directing nuclear import. Here, we identify CTNNBL1 (catenin-β-like 1), an armadillo motif-containing nuclear protein that exhibits no detectable primary sequence homology to karyopherin α, as a novel, selective NLS-binding protein. CTNNBL1 (a single-copy gene conserved from fission yeast to man) was previously found associated with Prp19-containing RNA-splicing complexes as well as with the antibody-diversifying enzyme AID. We find that CTNNBL1 association with the Prp19 complex is mediated by recognition of the NLS of the CDC5L component of the complex and show that CTNNBL1 also interacts with Prp31 (another U4/U6.U5 tri-snRNP-associated splicing factor) through its NLS. As with karyopherin αs, CTNNBL1 binds NLSs via its armadillo (ARM) domain, but displays a separate, more selective NLS binding specificity. Furthermore, the CTNNBL1/AID interaction depends on amino acids forming the AID conformational NLS with CTNNBL1-deficient cells showing a partial defect in AID nuclear accumulation. However, in further contrast to karyopherin αs, the CTNNBL1 N-terminal region itself binds karyopherin αs (rather than karyopherin β), suggesting a function divergent from canonical nuclear transport. Thus, CTNNBL1 is a novel NLS-binding protein, distinct from karyopherin αs, with the results suggesting a possible role in the selective intranuclear targeting or interactions of some splicing-associated complexes.

摘要

核蛋白通常含有短的碱性氨基酸序列(核定位序列;NLSs),这些序列与核转运蛋白 α 家族成员结合,指导核输入。在这里,我们鉴定了 CTNNBL1(连环蛋白-β样 1),一种含有卷曲螺旋结构域的核蛋白,与核转运蛋白 α 没有明显的序列同源性,是一种新的、选择性的 NLS 结合蛋白。CTNNBL1(从裂殖酵母到人都保守的单拷贝基因)之前被发现与含有 Prp19 的 RNA 剪接复合物以及抗体多样性酶 AID 相关。我们发现 CTNNBL1 与 Prp19 复合物的结合是通过识别复合物中 CDC5L 成分的 NLS 介导的,并表明 CTNNBL1 还通过其 NLS 与 Prp31(另一种 U4/U6.U5 三 snRNP 相关剪接因子)相互作用。与核转运蛋白 α 一样,CTNNBL1 通过其卷曲螺旋结构域(ARM 结构域)结合 NLS,但显示出单独的、更具选择性的 NLS 结合特异性。此外,CTNNBL1/AID 相互作用依赖于形成 AID 构象 NLS 的氨基酸,与 CTNNBL1 缺陷细胞相比,这些细胞显示出 AID 核积累的部分缺陷。然而,与核转运蛋白 α 进一步相反的是,CTNNBL1 的 N 端区域本身与核转运蛋白 α 结合(而不是核转运蛋白 β),这表明其功能与经典核转运不同。因此,CTNNBL1 是一种新的 NLS 结合蛋白,与核转运蛋白 α 不同,其结果表明在某些与剪接相关的复合物的选择性核内靶向或相互作用中可能具有作用。

https://cdn.ncbi.nlm.nih.gov/pmc/blobs/35fd/3089553/b927c3830ff1/zbc0231160760009.jpg
https://cdn.ncbi.nlm.nih.gov/pmc/blobs/35fd/3089553/feb1ec3b0065/zbc0231160760001.jpg
https://cdn.ncbi.nlm.nih.gov/pmc/blobs/35fd/3089553/edcd98be7626/zbc0231160760002.jpg
https://cdn.ncbi.nlm.nih.gov/pmc/blobs/35fd/3089553/02b0d06452a0/zbc0231160760003.jpg
https://cdn.ncbi.nlm.nih.gov/pmc/blobs/35fd/3089553/a0b26495f001/zbc0231160760004.jpg
https://cdn.ncbi.nlm.nih.gov/pmc/blobs/35fd/3089553/30e3f2c385e8/zbc0231160760005.jpg
https://cdn.ncbi.nlm.nih.gov/pmc/blobs/35fd/3089553/aa26cac622ac/zbc0231160760006.jpg
https://cdn.ncbi.nlm.nih.gov/pmc/blobs/35fd/3089553/de883fad9031/zbc0231160760007.jpg
https://cdn.ncbi.nlm.nih.gov/pmc/blobs/35fd/3089553/91fe1b6fe45e/zbc0231160760008.jpg
https://cdn.ncbi.nlm.nih.gov/pmc/blobs/35fd/3089553/b927c3830ff1/zbc0231160760009.jpg
https://cdn.ncbi.nlm.nih.gov/pmc/blobs/35fd/3089553/feb1ec3b0065/zbc0231160760001.jpg
https://cdn.ncbi.nlm.nih.gov/pmc/blobs/35fd/3089553/edcd98be7626/zbc0231160760002.jpg
https://cdn.ncbi.nlm.nih.gov/pmc/blobs/35fd/3089553/02b0d06452a0/zbc0231160760003.jpg
https://cdn.ncbi.nlm.nih.gov/pmc/blobs/35fd/3089553/a0b26495f001/zbc0231160760004.jpg
https://cdn.ncbi.nlm.nih.gov/pmc/blobs/35fd/3089553/30e3f2c385e8/zbc0231160760005.jpg
https://cdn.ncbi.nlm.nih.gov/pmc/blobs/35fd/3089553/aa26cac622ac/zbc0231160760006.jpg
https://cdn.ncbi.nlm.nih.gov/pmc/blobs/35fd/3089553/de883fad9031/zbc0231160760007.jpg
https://cdn.ncbi.nlm.nih.gov/pmc/blobs/35fd/3089553/91fe1b6fe45e/zbc0231160760008.jpg
https://cdn.ncbi.nlm.nih.gov/pmc/blobs/35fd/3089553/b927c3830ff1/zbc0231160760009.jpg

相似文献

1
CTNNBL1 is a novel nuclear localization sequence-binding protein that recognizes RNA-splicing factors CDC5L and Prp31.CTNNBL1 是一种新型核定位序列结合蛋白,可识别 RNA 剪接因子 CDC5L 和 Prp31。
J Biol Chem. 2011 May 13;286(19):17091-102. doi: 10.1074/jbc.M110.208769. Epub 2011 Mar 8.
2
Structural and mutational analysis reveals that CTNNBL1 binds NLSs in a manner distinct from that of its closest armadillo-relative, karyopherin α.结构和突变分析表明,CTNNBL1 以不同于其最接近的装甲蛋白家族成员——核转运蛋白 α的方式结合 NLS。
FEBS Lett. 2014 Jan 3;588(1):21-7. doi: 10.1016/j.febslet.2013.11.013. Epub 2013 Nov 20.
3
Identification and functional characterization of a novel nuclear localization signal present in the yeast Nab2 poly(A)+ RNA binding protein.酵母Nab2聚腺苷酸(poly(A))+RNA结合蛋白中一种新型核定位信号的鉴定及功能表征
Mol Cell Biol. 1998 Mar;18(3):1449-58. doi: 10.1128/MCB.18.3.1449.
4
Structural insights into the novel ARM-repeat protein CTNNBL1 and its association with the hPrp19-CDC5L complex.新型ARM重复蛋白CTNNBL1的结构解析及其与hPrp19-CDC5L复合物的关联
Acta Crystallogr D Biol Crystallogr. 2014 Mar;70(Pt 3):780-8. doi: 10.1107/S139900471303318X. Epub 2014 Feb 22.
5
CTNNBL1 facilitates the association of CWC15 with CDC5L and is required to maintain the abundance of the Prp19 spliceosomal complex.CTNNBL1促进CWC15与CDC5L的结合,并且是维持Prp19剪接体复合物丰度所必需的。
Nucleic Acids Res. 2015 Aug 18;43(14):7058-69. doi: 10.1093/nar/gkv643. Epub 2015 Jun 29.
6
Small angle X-ray scattering studies of CTNNBL1 dimerization and CTNNBL1/CDC5L complex.CTNNBL1二聚化及CTNNBL1/CDC5L复合物的小角X射线散射研究
Sci Rep. 2015 Sep 18;5:14251. doi: 10.1038/srep14251.
7
Nuclear Respiratory Factor 2β (NRF-2β) recruits NRF-2α to the nucleus by binding to importin-α:β via an unusual monopartite-type nuclear localization signal.核呼吸因子 2β(NRF-2β)通过与输入蛋白-α:β 结合的非典型单部分型核定位信号将 NRF-2α 募集到细胞核内。
J Mol Biol. 2013 Sep 23;425(18):3536-48. doi: 10.1016/j.jmb.2013.07.007. Epub 2013 Jul 13.
8
Dissection of the karyopherin alpha nuclear localization signal (NLS)-binding groove: functional requirements for NLS binding.核转运蛋白α核定位信号(NLS)结合凹槽的剖析:NLS结合的功能要求。
J Biol Chem. 2003 Oct 24;278(43):41947-53. doi: 10.1074/jbc.M307162200. Epub 2003 Aug 13.
9
Molecular basis for the rapid dissociation of nuclear localization signals from karyopherin alpha in the nucleoplasm.核质中核定位信号与核转运蛋白α快速解离的分子基础。
J Biol Chem. 2003 Dec 19;278(51):51937-49. doi: 10.1074/jbc.M307371200. Epub 2003 Sep 26.
10
Crystallographic analysis of the specific yet versatile recognition of distinct nuclear localization signals by karyopherin alpha.核转运蛋白α对不同核定位信号的特异性且通用识别的晶体学分析
Structure. 2000 Mar 15;8(3):329-38. doi: 10.1016/s0969-2126(00)00107-6.

引用本文的文献

1
Mechanism and regulation of secondary immunoglobulin diversification.二次免疫球蛋白多样化的机制与调控。
Cell Cycle. 2023 Sep;22(18):2070-2087. doi: 10.1080/15384101.2023.2275397. Epub 2023 Nov 23.
2
The PRP19 Ubiquitin Ligase, Standing at the Cross-Roads of mRNA Processing and Genome Stability.PRP19泛素连接酶:处于mRNA加工与基因组稳定性的交叉路口
Cancers (Basel). 2022 Feb 10;14(4):878. doi: 10.3390/cancers14040878.
3
Disease-associated CTNNBL1 mutation impairs somatic hypermutation by decreasing nuclear AID.疾病相关 CTNNBL1 突变通过降低核 AID 减少体细胞超突变。

本文引用的文献

1
The Prp19 complex and the Usp4Sart3 deubiquitinating enzyme control reversible ubiquitination at the spliceosome.Prp19 复合物和 Usp4Sart3 去泛素化酶控制剪接体的可逆泛素化。
Genes Dev. 2010 Jul 1;24(13):1434-47. doi: 10.1101/gad.1925010.
2
Cutting edge: CTNNBL1 is dispensable for Ig class switch recombination.前沿:CTNNBL1 对于 Ig 类别转换重组是可有可无的。
J Immunol. 2010 Aug 1;185(3):1379-81. doi: 10.4049/jimmunol.1001643. Epub 2010 Jun 28.
3
Molecular architecture of the human Prp19/CDC5L complex.人 Prp19/CDC5L 复合物的分子结构。
J Clin Invest. 2020 Aug 3;130(8):4411-4422. doi: 10.1172/JCI131297.
4
Cell-specific non-canonical amino acid labelling identifies changes in the de novo proteome during memory formation.细胞特异性非天然氨基酸标记鉴定了在记忆形成过程中从头蛋白质组的变化。
Elife. 2020 Jan 6;9:e52990. doi: 10.7554/eLife.52990.
5
Light-induced injury in mouse embryos revealed by single-cell RNA sequencing.单细胞 RNA 测序揭示的小鼠胚胎光诱导损伤。
Biol Res. 2019 Aug 29;52(1):48. doi: 10.1186/s40659-019-0256-1.
6
APOBEC3H Subcellular Localization Determinants Define Zipcode for Targeting HIV-1 for Restriction.APOBEC3H 的亚细胞定位决定簇定义了 HIV-1 靶向限制的邮政编码。
Mol Cell Biol. 2018 Nov 13;38(23). doi: 10.1128/MCB.00356-18. Print 2018 Dec 1.
7
Prenatal Exposure to Bisphenol A Disrupts Naturally Occurring Bimodal DNA Methylation at Proximal Promoter of fggy, an Obesity-Relevant Gene Encoding a Carbohydrate Kinase, in Gonadal White Adipose Tissues of CD-1 Mice.产前暴露于双酚 A 会破坏肥胖相关基因 fggy 近端启动子处自然发生的双峰 DNA 甲基化,fggy 编码一种碳水化合物激酶,存在于 CD-1 小鼠的性腺白色脂肪组织中。
Endocrinology. 2018 Feb 1;159(2):779-794. doi: 10.1210/en.2017-00711.
8
Metazoan evolution of the armadillo repeat superfamily.犰狳重复超家族的后生动物进化。
Cell Mol Life Sci. 2017 Feb;74(3):525-541. doi: 10.1007/s00018-016-2319-6. Epub 2016 Aug 6.
9
Charactering the ZFAND3 gene mapped in the sex-determining locus in hybrid tilapia (Oreochromis spp.).鉴定杂交罗非鱼(奥利亚罗非鱼)性别决定区定位的 ZFAND3 基因。
Sci Rep. 2016 May 3;6:25471. doi: 10.1038/srep25471.
10
CTNNBL1 facilitates the association of CWC15 with CDC5L and is required to maintain the abundance of the Prp19 spliceosomal complex.CTNNBL1促进CWC15与CDC5L的结合,并且是维持Prp19剪接体复合物丰度所必需的。
Nucleic Acids Res. 2015 Aug 18;43(14):7058-69. doi: 10.1093/nar/gkv643. Epub 2015 Jun 29.
Mol Cell Biol. 2010 May;30(9):2105-19. doi: 10.1128/MCB.01505-09. Epub 2010 Feb 22.
4
Temporal regulation of Ig gene diversification revealed by single-cell imaging.通过单细胞成像揭示的Ig基因多样化的时间调控
J Immunol. 2009 Oct 1;183(7):4545-53. doi: 10.4049/jimmunol.0900673. Epub 2009 Sep 11.
5
Active nuclear import and cytoplasmic retention of activation-induced deaminase.活化诱导胞嘧啶脱氨酶的主动核输入与胞质滞留
Nat Struct Mol Biol. 2009 May;16(5):517-27. doi: 10.1038/nsmb.1598. Epub 2009 May 3.
6
The stability of AID and its function in class-switching are critically sensitive to the identity of its nuclear-export sequence.活化诱导胞苷脱氨酶(AID)的稳定性及其在类别转换中的功能对其核输出序列的特性极为敏感。
Proc Natl Acad Sci U S A. 2009 Apr 21;106(16):6736-41. doi: 10.1073/pnas.0810808106. Epub 2009 Apr 7.
7
Interaction between antibody-diversification enzyme AID and spliceosome-associated factor CTNNBL1.抗体多样化酶AID与剪接体相关因子CTNNBL1之间的相互作用。
Mol Cell. 2008 Aug 22;31(4):474-484. doi: 10.1016/j.molcel.2008.07.009.
8
Proteasomal degradation restricts the nuclear lifespan of AID.蛋白酶体降解限制了激活诱导胞嘧啶脱氨酶(AID)的核寿命。
J Exp Med. 2008 Jun 9;205(6):1357-68. doi: 10.1084/jem.20070950. Epub 2008 May 12.
9
Structural basis for the nuclear import of the human androgen receptor.人类雄激素受体核输入的结构基础。
J Cell Sci. 2008 Apr 1;121(Pt 7):957-68. doi: 10.1242/jcs.022103. Epub 2008 Mar 4.
10
Retroviral transduction of DT40.DT40的逆转录病毒转导
Subcell Biochem. 2006;40:383-6. doi: 10.1007/978-1-4020-4896-8_30.