Suppr超能文献

定量质谱法用于细菌蛋白毒素——一种用于检测和诊断的灵敏、特异、高通量工具。

Quantitative mass spectrometry for bacterial protein toxins--a sensitive, specific, high-throughput tool for detection and diagnosis.

机构信息

Centers for Disease Control and Prevention, 4770 Buford Hwy, NE, Atlanta, GA 30341, USA.

出版信息

Molecules. 2011 Mar 14;16(3):2391-413. doi: 10.3390/molecules16032391.

Abstract

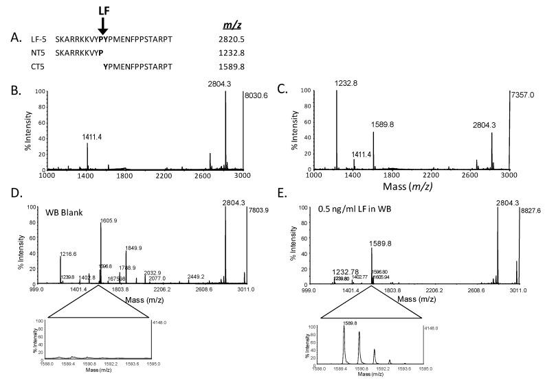
Matrix-assisted laser-desorption time-of-flight (MALDI-TOF) mass spectrometry (MS) is a valuable high-throughput tool for peptide analysis. Liquid chromatography electrospray ionization (LC-ESI) tandem-MS provides sensitive and specific quantification of small molecules and peptides. The high analytic power of MS coupled with high-specificity substrates is ideally suited for detection and quantification of bacterial enzymatic activities. As specific examples of the MS applications in disease diagnosis and select agent detection, we describe recent advances in the analyses of two high profile protein toxin groups, the Bacillus anthracis toxins and the Clostridium botulinum neurotoxins. The two binary toxins produced by B. anthracis consist of protective antigen (PA) which combines with lethal factor (LF) and edema factor (EF), forming lethal toxin and edema toxin respectively. LF is a zinc-dependent endoprotease which hydrolyzes specific proteins involved in inflammation and immunity. EF is an adenylyl cyclase which converts ATP to cyclic-AMP. Toxin-specific enzyme activity for a strategically designed substrate, amplifies reaction products which are detected by MALDI-TOF-MS and LC-ESI-MS/MS. Pre-concentration/purification with toxin specific monoclonal antibodies provides additional specificity. These combined technologies have achieved high specificity, ultrasensitive detection and quantification of the anthrax toxins. We also describe potential applications to diseases of high public health impact, including Clostridium difficile glucosylating toxins and the Bordetella pertussis adenylyl cyclase.

摘要

基质辅助激光解吸飞行时间(MALDI-TOF)质谱(MS)是一种用于肽分析的高吞吐量工具。液相色谱电喷雾电离(LC-ESI)串联-MS 提供小分子和肽的灵敏和特异性定量。MS 与高特异性底物的高分析能力非常适合用于检测和定量细菌酶活性。作为 MS 在疾病诊断和选择剂检测中的应用的具体例子,我们描述了两种高知名度蛋白毒素组的分析的最新进展,炭疽杆菌毒素和肉毒梭菌神经毒素。炭疽杆菌产生的两种二元毒素由保护性抗原(PA)组成,其与致死因子(LF)和水肿因子(EF)结合,分别形成致死毒素和水肿毒素。LF 是一种锌依赖性内切蛋白酶,可水解涉及炎症和免疫的特定蛋白。EF 是一种腺苷酸环化酶,将 ATP 转化为环-AMP。针对策略设计的底物的毒素特异性酶活性会放大反应产物,然后通过 MALDI-TOF-MS 和 LC-ESI-MS/MS 进行检测。用毒素特异性单克隆抗体进行预浓缩/纯化可提供额外的特异性。这些组合技术实现了炭疽毒素的高特异性、超灵敏检测和定量。我们还描述了对具有高公共卫生影响的疾病的潜在应用,包括艰难梭菌葡糖基化毒素和百日咳博德特氏菌腺苷酸环化酶。

https://cdn.ncbi.nlm.nih.gov/pmc/blobs/2212/6259840/f8faf7a6dff0/molecules-16-02391-g001.jpg

相似文献

3
Mass Spectrometric Detection of Bacterial Protein Toxins and Their Enzymatic Activity.
Toxins (Basel). 2015 Aug 31;7(9):3497-511. doi: 10.3390/toxins7093497.
4
High-sensitivity MALDI-TOF MS quantification of anthrax lethal toxin for diagnostics and evaluation of medical countermeasures.
Anal Bioanal Chem. 2015 Apr;407(10):2847-58. doi: 10.1007/s00216-015-8509-5. Epub 2015 Feb 12.
6
Validated MALDI-TOF-MS method for anthrax lethal factor provides early diagnosis and evaluation of therapeutics.
Anal Biochem. 2018 Feb 15;543:97-107. doi: 10.1016/j.ab.2017.12.007. Epub 2017 Dec 7.
8
Proteomic analyses of murine macrophages treated with Bacillus anthracis lethal toxin.
Microb Pathog. 2006 Oct-Nov;41(4-5):157-67. doi: 10.1016/j.micpath.2006.07.002. Epub 2006 Sep 1.

引用本文的文献

3
Anthrax Toxin Detection: From in Vivo Studies to Diagnostic Applications.
Microorganisms. 2020 Jul 23;8(8):1103. doi: 10.3390/microorganisms8081103.
4
Sensitive detection of type G botulinum neurotoxin through Endopep-MS peptide substrate optimization.
Anal Bioanal Chem. 2019 Aug;411(21):5489-5497. doi: 10.1007/s00216-019-01926-8. Epub 2019 Jun 6.
7
Detection of Bacillus anthracis in animal tissues using InBios active anthrax detect rapid test lateral flow immunoassay.
Lett Appl Microbiol. 2019 Jun;68(6):480-484. doi: 10.1111/lam.13134. Epub 2019 Mar 28.
9
Proteomic Methods of Detection and Quantification of Protein Toxins.
Toxins (Basel). 2018 Feb 28;10(3):99. doi: 10.3390/toxins10030099.
10
Validated MALDI-TOF-MS method for anthrax lethal factor provides early diagnosis and evaluation of therapeutics.
Anal Biochem. 2018 Feb 15;543:97-107. doi: 10.1016/j.ab.2017.12.007. Epub 2017 Dec 7.

本文引用的文献

2
Studies on botulinum neurotoxins type /C1 and mosaic/DC using Endopep-MS and proteomics.
FEMS Immunol Med Microbiol. 2011 Apr;61(3):288-300. doi: 10.1111/j.1574-695X.2010.00774.x. Epub 2011 Jan 26.
6
The protective antigen component of anthrax toxin forms functional octameric complexes.
J Mol Biol. 2009 Sep 25;392(3):614-29. doi: 10.1016/j.jmb.2009.07.037. Epub 2009 Jul 20.
7
Kinetics of lethal factor and poly-D-glutamic acid antigenemia during inhalation anthrax in rhesus macaques.
Infect Immun. 2009 Aug;77(8):3432-41. doi: 10.1128/IAI.00346-09. Epub 2009 Jun 8.
9
Detection of anthrax toxin by an ultrasensitive immunoassay using europium nanoparticles.
Clin Vaccine Immunol. 2009 Mar;16(3):408-13. doi: 10.1128/CVI.00412-08. Epub 2009 Jan 7.
10
Measuring the severity of Clostridium difficile infection: implications for management and drug development.
Expert Rev Anti Infect Ther. 2008 Dec;6(6):897-908. doi: 10.1586/14787210.6.6.897.

文献AI研究员

20分钟写一篇综述,助力文献阅读效率提升50倍。

立即体验

用中文搜PubMed

大模型驱动的PubMed中文搜索引擎

马上搜索

文档翻译

学术文献翻译模型,支持多种主流文档格式。

立即体验