Suppr超能文献

胸壁结核——临床与影像学经验

Chest wall tuberculosis - A clinical and imaging experience.

作者信息

Grover Shabnam Bhandari, Jain Meghna, Dumeer Shifali, Sirari Nanda, Bansal Manish, Badgujar Deepak

机构信息

Department of Radiology and Imaging, Vardhman Mahavir Medical College and Safdarjang Hospital, New Delhi, India.

出版信息

Indian J Radiol Imaging. 2011 Jan;21(1):28-33. doi: 10.4103/0971-3026.76051.

Abstract

AIMS

Tuberculous infection of the thoracic cage is rare and is difficult to discern clinically or on radiographs. This study aims to describe the common sites and the imaging appearances of chest wall tuberculosis.

MATERIALS AND METHODS

A retrospective review of the clinical and imaging records of 12 confirmed cases of thoracic cage tuberculosis (excluding that of the spine), seen over the last 7 years, was performed. Imaging studies available included radiographs, ultrasonographies (USGs), and computed tomography (CT) scans. Pathological confirmation was obtained in all cases.

RESULTS

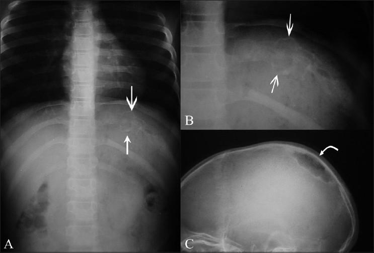
All patients had clinical signs and symptoms localized to the site of involvement, whether it was the sternum, sternoclavicular joints, or ribs. CT scan revealed sternal destruction in three patients and osteolytic lesions with sclerosis of the articular surfaces of the sternoclavicular joints in two patients. In five patients with rib lesions, USG elegantly demonstrated the bone destruction underlying the cold abscess. All cases were confirmed to be of tuberculous origin by pathology studies of the aspirated/curetted material, obtained by CT / USG guidance.

CONCLUSIONS

Tuberculous etiology should be considered for patients presenting with atypical sites of skeletal inflammation. CT scan plays an important role in the evaluation of these patients. However, the use of USG for demonstrating rib destruction in a chest wall cold abscess has so far been under-emphasized, as has been the role of CT and USG guided aspiration in confirming the aetiology.

摘要

目的

胸廓结核感染较为罕见,在临床或影像学上难以鉴别。本研究旨在描述胸壁结核的常见部位及影像学表现。

材料与方法

对过去7年中确诊的12例胸廓结核(不包括脊柱结核)患者的临床及影像学记录进行回顾性分析。可用的影像学检查包括X线片、超声(USG)及计算机断层扫描(CT)。所有病例均获得病理证实。

结果

所有患者的临床体征和症状均局限于受累部位,无论是胸骨、胸锁关节还是肋骨。CT扫描显示3例患者胸骨破坏,2例患者胸锁关节面出现骨质溶解伴硬化。在5例肋骨病变患者中,超声清晰地显示了寒性脓肿下方的骨质破坏。通过CT/超声引导下获取的抽吸/刮除材料的病理研究,所有病例均确诊为结核起源。

结论

对于出现骨骼炎症非典型部位的患者,应考虑结核病因。CT扫描在评估这些患者中起重要作用。然而,超声在显示胸壁寒性脓肿中肋骨破坏方面的应用至今未得到充分重视,CT和超声引导下抽吸在确诊病因方面的作用也未得到充分重视。

https://cdn.ncbi.nlm.nih.gov/pmc/blobs/f223/3056366/a593b2b53b0b/IJRI-21-28-g001.jpg

文献AI研究员

20分钟写一篇综述,助力文献阅读效率提升50倍。

立即体验

用中文搜PubMed

大模型驱动的PubMed中文搜索引擎

马上搜索

文档翻译

学术文献翻译模型,支持多种主流文档格式。

立即体验