Suppr超能文献

新型姜黄素类似物 FLLL32 降低骨肉瘤细胞系中 STAT3 的 DNA 结合活性和表达,并诱导其凋亡。

The novel curcumin analog FLLL32 decreases STAT3 DNA binding activity and expression, and induces apoptosis in osteosarcoma cell lines.

机构信息

Department of Veterinary Biosciences, The Ohio State University, Columbus, OH 43210, USA.

出版信息

BMC Cancer. 2011 Mar 28;11:112. doi: 10.1186/1471-2407-11-112.

Abstract

BACKGROUND

Curcumin is a naturally occurring phenolic compound shown to have a wide variety of antitumor activities; however, it does not attain sufficient blood levels to do so when ingested. Using structure-based design, a novel compound, FLLL32, was generated from curcumin. FLLL32 possesses superior biochemical properties and more specifically targets STAT3, a transcription factor important in tumor cell survival, proliferation, metastasis, and chemotherapy resistance. In our previous work, we found that several canine and human osteosarcoma (OSA) cell lines, but not normal osteoblasts, exhibit constitutive phosphorylation of STAT3. Compared to curcumin, we hypothesized that FLLL32 would be more efficient at inhibiting STAT3 function in OSA cells and that this would result in enhanced downregulation of STAT3 transcriptional targets and subsequent death of OSA cells.

METHODS

Human and canine OSA cells were treated with vehicle, curcumin, or FLLL32 and the effects on proliferation (CyQUANT®), apoptosis (SensoLyte® Homogeneous AMC Caspase- 3/7 Assay kit, western blotting), STAT3 DNA binding (EMSA), and vascular endothelial growth factor (VEGF), survivin, and matrix metalloproteinase-2 (MMP2) expression (RT-PCR, western blotting) were measured. STAT3 expression was measured by RT-PCR, qRT- PCR, and western blotting.

RESULTS

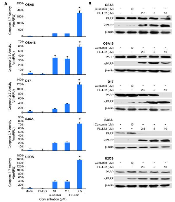
Our data showed that FLLL32 decreased STAT3 DNA binding by EMSA. FLLL32 promoted loss of cell proliferation at lower concentrations than curcumin leading to caspase-3- dependent apoptosis, as evidenced by PARP cleavage and increased caspase 3/7 activity; this could be inhibited by treatment with the pan-caspase inhibitor Z-VAD-FMK. Treatment of OSA cells with FLLL32 decreased expression of survivin, VEGF, and MMP2 at both mRNA and protein levels with concurrent decreases in phosphorylated and total STAT3; this loss of total STAT3 occurred, in part, via the ubiquitin-proteasome pathway.

CONCLUSIONS

These data demonstrate that the novel curcumin analog FLLL32 has biologic activity against OSA cell lines through inhibition of STAT3 function and expression. Future work with FLLL32 will define the therapeutic potential of this compound in vivo.

摘要

背景

姜黄素是一种天然存在的酚类化合物,具有广泛的抗肿瘤活性;然而,当摄入时,它并不能达到足够的血液水平。通过基于结构的设计,从姜黄素中生成了一种新型化合物 FLLL32。FLLL32 具有优越的生化特性,特别是针对 STAT3,这是一种在肿瘤细胞存活、增殖、转移和化疗耐药中起重要作用的转录因子。在我们之前的工作中,我们发现几种犬和人骨肉瘤 (OSA) 细胞系,但不是正常成骨细胞,表现出 STAT3 的组成性磷酸化。与姜黄素相比,我们假设 FLLL32 更有效地抑制 OSA 细胞中的 STAT3 功能,这将导致 STAT3 转录靶标下调增强,随后 OSA 细胞死亡。

方法

用人和犬的 OSA 细胞用载体、姜黄素或 FLLL32 处理,检测增殖(CyQUANT®)、凋亡(SensoLyte® 均相 AMC 半胱天冬酶-3/7 测定试剂盒、western 印迹)、STAT3 DNA 结合(EMSA)和血管内皮生长因子 (VEGF)、存活素和基质金属蛋白酶-2 (MMP2) 表达(RT-PCR、western 印迹)的变化。STAT3 表达通过 RT-PCR、qRT-PCR 和 western 印迹进行测量。

结果

我们的数据表明,FLLL32 通过 EMSA 降低了 STAT3 DNA 结合。FLLL32 在比姜黄素更低的浓度下降低了 STAT3 DNA 结合。与 caspase-3 依赖性凋亡有关,这可通过 PARP 裂解和 caspase 3/7 活性增加来证明;这可以通过用泛半胱天冬酶抑制剂 Z-VAD-FMK 处理来抑制。用 FLLL32 处理 OSA 细胞可降低存活素、VEGF 和 MMP2 的表达,同时降低磷酸化和总 STAT3;总 STAT3 的这种缺失部分是通过泛素-蛋白酶体途径发生的。

结论

这些数据表明,新型姜黄素类似物 FLLL32 通过抑制 STAT3 功能和表达对 OSA 细胞系具有生物学活性。未来用 FLLL32 进行的研究将确定该化合物在体内的治疗潜力。

https://cdn.ncbi.nlm.nih.gov/pmc/blobs/b4a5/3074561/c837caa08e29/1471-2407-11-112-1.jpg

文献AI研究员

20分钟写一篇综述,助力文献阅读效率提升50倍。

立即体验

用中文搜PubMed

大模型驱动的PubMed中文搜索引擎

马上搜索

文档翻译

学术文献翻译模型,支持多种主流文档格式。

立即体验