Department of Microbiology and Immunology, Keio University School of Medicine, Tokyo 160-8582, Japan.
Nat Commun. 2011;2:269. doi: 10.1038/ncomms1272.
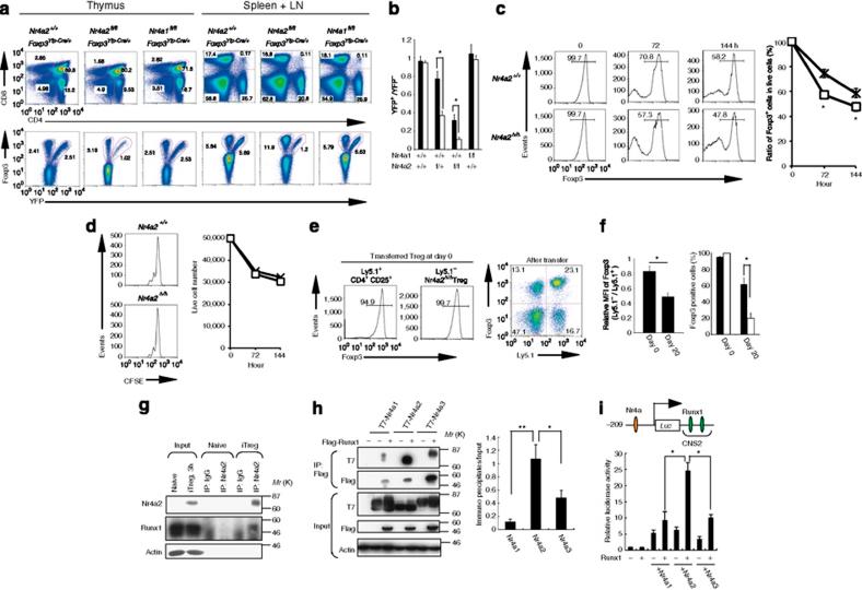
Regulatory T cells (Tregs) have a central role in maintaining immune homoeostasis through various mechanisms. Although the Forkhead transcription factor Foxp3 defines the Treg cell lineage and functions, the molecular mechanisms of Foxp3 induction and maintenance remain elusive. Here we show that Foxp3 is one of the direct targets of Nr4a2. Nr4a2 binds to regulatory regions of Foxp3, where it mediates permissive histone modifications. Ectopic expression of Nr4a2 imparts Treg-like suppressive activity to naïve CD4(+) T cells by inducing Foxp3 and by repressing cytokine production, including interferon-γ and interleukin-2. Deletion of Nr4a2 in T cells attenuates induction of Tregs and causes aberrant induction of Th1, leading to the exacerbation of colitis. Nr4a2-deficeint Tregs are prone to lose Foxp3 expression and have attenuated suppressive ability both in vitro and in vivo. Thus, Nr4a2 has the ability to maintain T-cell homoeostasis by regulating induction, maintenance and suppressor functions of Tregs, and by repression of aberrant Th1 induction.
调节性 T 细胞(Tregs)通过多种机制在维持免疫稳态中发挥核心作用。尽管叉头转录因子 Foxp3 定义了 Treg 细胞谱系和功能,但 Foxp3 的诱导和维持的分子机制仍不清楚。在这里,我们表明 Foxp3 是 Nr4a2 的直接靶标之一。Nr4a2 结合到 Foxp3 的调节区域,在那里它介导允许性组蛋白修饰。Nr4a2 的异位表达通过诱导 Foxp3 和抑制细胞因子产生(包括干扰素-γ和白细胞介素-2),赋予幼稚 CD4(+) T 细胞类似 Treg 的抑制活性。T 细胞中 Nr4a2 的缺失会减弱 Treg 的诱导,并导致 Th1 的异常诱导,从而导致结肠炎的加重。Nr4a2 缺陷的 Tregs 易于失去 Foxp3 表达,并在体外和体内均减弱抑制能力。因此,Nr4a2 通过调节 Treg 的诱导、维持和抑制功能,以及抑制异常的 Th1 诱导,具有维持 T 细胞稳态的能力。