• 文献检索
  • 文档翻译
  • 深度研究
  • 学术资讯
  • Suppr Zotero 插件Zotero 插件
  • 邀请有礼
  • 套餐&价格
  • 历史记录
应用&插件
Suppr Zotero 插件Zotero 插件浏览器插件Mac 客户端Windows 客户端微信小程序
定价
高级版会员购买积分包购买API积分包
服务
文献检索文档翻译深度研究API 文档MCP 服务
关于我们
关于 Suppr公司介绍联系我们用户协议隐私条款
关注我们

Suppr 超能文献

核心技术专利:CN118964589B侵权必究
粤ICP备2023148730 号-1Suppr @ 2026

文献检索

告别复杂PubMed语法,用中文像聊天一样搜索,搜遍4000万医学文献。AI智能推荐,让科研检索更轻松。

立即免费搜索

文件翻译

保留排版,准确专业,支持PDF/Word/PPT等文件格式,支持 12+语言互译。

免费翻译文档

深度研究

AI帮你快速写综述,25分钟生成高质量综述,智能提取关键信息,辅助科研写作。

立即免费体验

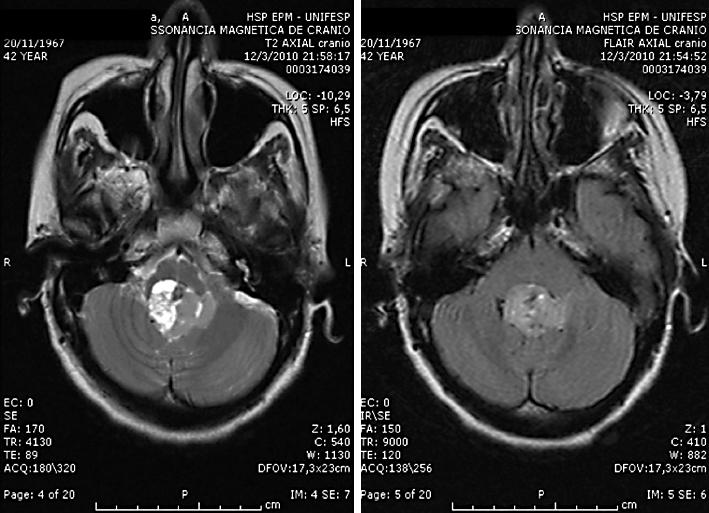
中枢性神经源性呼吸衰竭:一项具有挑战性的诊断。

Central neurogenic respiratory failure: a challenging diagnosis.

作者信息

Carvalho Flávio A, Bernardino Tenille, Maciel Ricardo O H, Felizola Sérgio F A, Costa Eduardo L V, Silva Gisele S

机构信息

Department of Neurology and Neurosurgery, Federal University of São Paulo, School of Medicine, São Paulo, Brazil.

出版信息

Case Rep Neurol. 2011 Feb 23;3(1):75-81. doi: 10.1159/000324823.

DOI:10.1159/000324823
PMID:21490717
原文链接:https://pmc.ncbi.nlm.nih.gov/articles/PMC3072198/
Abstract

BACKGROUND

Central nervous system lesions are rare causes of respiratory failure. Simple observation of the breathing pattern can help localize the lesion, but the examiner needs to be aware of potential pitfalls such as metabolic or pulmonary alterations.

METHODS

We describe 3 cases in which central neurogenic respiratory failure occurred simultaneously with other alterations or in an unusual presentation.

RESULTS

All patients were diagnosed with central neurogenic respiratory failure and treated for it with good recovery.

CONCLUSION

Central neurogenic respiratory failure is a challenging diagnosis and needs to be reminded in difficult-to-wean patients carrying inconclusive evidences of metabolic or pulmonary alterations.

摘要

背景

中枢神经系统病变是呼吸衰竭的罕见病因。简单观察呼吸模式有助于定位病变,但检查者需要意识到潜在的陷阱,如代谢或肺部改变。

方法

我们描述了3例中枢性神经源性呼吸衰竭与其他改变同时发生或表现异常的病例。

结果

所有患者均被诊断为中枢性神经源性呼吸衰竭并接受治疗,恢复良好。

结论

中枢性神经源性呼吸衰竭是一个具有挑战性的诊断,对于代谢或肺部改变证据不明确、难以脱机的患者需要予以警惕。

https://cdn.ncbi.nlm.nih.gov/pmc/blobs/6c4a/3072198/c1c8a3b5e09a/crn0003-0075-f03.jpg
https://cdn.ncbi.nlm.nih.gov/pmc/blobs/6c4a/3072198/8801abe2fd59/crn0003-0075-f01.jpg
https://cdn.ncbi.nlm.nih.gov/pmc/blobs/6c4a/3072198/0707627a27bf/crn0003-0075-f02.jpg
https://cdn.ncbi.nlm.nih.gov/pmc/blobs/6c4a/3072198/c1c8a3b5e09a/crn0003-0075-f03.jpg
https://cdn.ncbi.nlm.nih.gov/pmc/blobs/6c4a/3072198/8801abe2fd59/crn0003-0075-f01.jpg
https://cdn.ncbi.nlm.nih.gov/pmc/blobs/6c4a/3072198/0707627a27bf/crn0003-0075-f02.jpg
https://cdn.ncbi.nlm.nih.gov/pmc/blobs/6c4a/3072198/c1c8a3b5e09a/crn0003-0075-f03.jpg

相似文献

1
Central neurogenic respiratory failure: a challenging diagnosis.中枢性神经源性呼吸衰竭:一项具有挑战性的诊断。
Case Rep Neurol. 2011 Feb 23;3(1):75-81. doi: 10.1159/000324823.
2
Central neurogenic hyperventilation in a conscious child associated with glioblastoma multiforme.一名患有多形性胶质母细胞瘤的清醒儿童出现中枢性神经源性过度通气。
Pediatr Neurol. 2004 Apr;30(4):287-90. doi: 10.1016/j.pediatrneurol.2003.10.003.
3
Unilateral neurogenic pulmonary oedema: An unusual cause for post-operative respiratory dysfunction following clipping of ruptured intracranial aneurysm.单侧神经源性肺水肿:破裂颅内动脉瘤夹闭术后呼吸功能障碍的罕见原因。
Indian J Anaesth. 2012 Jan;56(1):58-61. doi: 10.4103/0019-5049.93346.
4
Central neurogenic hyperventilation in a patient with medulloblastoma.一名髓母细胞瘤患者的中枢神经性换气过度
Eur Neurol. 1987;27(1):51-4. doi: 10.1159/000116129.
5
[Primary central nervous system lymphoma presenting with central neurogenic hyperventilation. A case report and review of the literature].
Rev Neurol (Paris). 2005 Oct;161(10):940-8. doi: 10.1016/s0035-3787(05)85157-4.
6
Refractory Central Neurogenic Hyperventilation: A Novel Approach Utilizing Mechanical Dead Space.难治性中枢性神经源性过度通气:一种利用机械死腔的新方法。
Front Neurol. 2019 Sep 4;10:937. doi: 10.3389/fneur.2019.00937. eCollection 2019.
7
A case of central neurogenic hyperventilation without tachypnoea.一例无呼吸急促的中枢性神经源性过度通气病例。
Respirol Case Rep. 2019 Jul 16;7(7):e00462. doi: 10.1002/rcr2.462. eCollection 2019 Oct.
8
Central neurogenic hyperventilation: a case report and discussion of pathophysiology.中枢性神经源性过度通气:一例病例报告及病理生理学讨论
Arch Neurol. 2005 Oct;62(10):1632-4. doi: 10.1001/archneur.62.10.1632.
9
Central neurogenic hyperventilation with primary cerebral lymphoma: a case report.
Radiat Med. 2001 Jul-Aug;19(4):209-13.
10
Central neurogenic hyperventilation secondary to suspected metastatic renal cell carcinoma.继发于可疑转移性肾细胞癌的中枢神经性通气过度。
Am J Emerg Med. 2021 Sep;47:344.e1-344.e3. doi: 10.1016/j.ajem.2021.02.068. Epub 2021 Mar 2.

引用本文的文献

1
Anaesthesia for frameless stereotactic neurosurgery in a patient with Cheyne-Stokes respiration.对患有潮式呼吸的患者进行无框架立体定向神经外科手术的麻醉。
Indian J Anaesth. 2020 Oct;64(10):913-915. doi: 10.4103/ija.IJA_322_20. Epub 2020 Oct 1.
2
Central nervous system manifestations in COVID-19 patients: A systematic review and meta-analysis.新型冠状病毒肺炎患者中枢神经系统表现:系统评价和荟萃分析。
Brain Behav. 2021 May;11(5):e02025. doi: 10.1002/brb3.2025. Epub 2021 Jan 9.
3
Central neurogenic hyperventilation in conscious patients due to CNS neoplasm: a case report and review of the literature on treatment.

本文引用的文献

1
Ondine's curse with accompanying trigeminal and glossopharyngeal neuralgia secondary to medullary telangiectasia.延髓海绵状血管畸形继发舌下神经和舌咽神经痛的翁滴氏诅咒。
Neurocrit Care. 2010 Jun;12(3):395-9. doi: 10.1007/s12028-009-9321-x.
2
Ondine's curse after brainstem infarction.脑干梗死后的翁丁氏呼吸障碍
Neurol India. 2009 Mar-Apr;57(2):206-7. doi: 10.4103/0028-3886.51298.
3
Snoring associated with Ondine's curse in a patient with brainstem glioma.一名脑干胶质瘤患者中与翁丁氏咒诅综合征相关的打鼾
中枢神经系统肿瘤导致清醒患者中枢性神经源性过度通气:一例报告及治疗文献综述
Neurooncol Pract. 2020 Apr 10;7(5):559-568. doi: 10.1093/nop/npaa016. eCollection 2020 Oct.
J Clin Neurosci. 2006 Apr;13(3):370-3. doi: 10.1016/j.jocn.2005.03.038. Epub 2006 Mar 20.
4
Acquired Ondine's curse: case report.获得性翁丁氏诅咒:病例报告。
Arq Neuropsiquiatr. 2004 Jun;62(2B):523-7. doi: 10.1590/s0004-282x2004000300027. Epub 2004 Jul 20.
5
Uncontrollable high-frequency tachypnea in a case of unilateral medial medullary infarct.
Intensive Care Med. 2003 May;29(5):841-4. doi: 10.1007/s00134-003-1658-6. Epub 2003 Feb 15.
6
The eye catcher. Ondine's curse.
Respiration. 1999;66(3):265. doi: 10.1159/000029388.
7
Diaphragm pacing for respiratory insufficiency.
J Clin Neurophysiol. 1997 Sep;14(5):369-77. doi: 10.1097/00004691-199709000-00003.
8
Multiple sclerosis with medullary plaques and fatal sleep apnea (Ondine's curse).伴有延髓斑块和致命性睡眠呼吸暂停(翁丁氏诅咒)的多发性硬化症。
Clin Neuropathol. 1996 Mar-Apr;15(2):101-5.