• 文献检索
  • 文档翻译
  • 深度研究
  • 学术资讯
  • Suppr Zotero 插件Zotero 插件
  • 邀请有礼
  • 套餐&价格
  • 历史记录
应用&插件
Suppr Zotero 插件Zotero 插件浏览器插件Mac 客户端Windows 客户端微信小程序
定价
高级版会员购买积分包购买API积分包
服务
文献检索文档翻译深度研究API 文档MCP 服务
关于我们
关于 Suppr公司介绍联系我们用户协议隐私条款
关注我们

Suppr 超能文献

核心技术专利:CN118964589B侵权必究
粤ICP备2023148730 号-1Suppr @ 2026

文献检索

告别复杂PubMed语法,用中文像聊天一样搜索,搜遍4000万医学文献。AI智能推荐,让科研检索更轻松。

立即免费搜索

文件翻译

保留排版,准确专业,支持PDF/Word/PPT等文件格式,支持 12+语言互译。

免费翻译文档

深度研究

AI帮你快速写综述,25分钟生成高质量综述,智能提取关键信息,辅助科研写作。

立即免费体验

在大肠杆菌中生产真菌基因编码的易聚集木聚糖酶可溶性蛋白的方法。

An approach to the production of soluble protein from a fungal gene encoding an aggregation-prone xylanase in Escherichia coli.

机构信息

Research Center for Biotechnology and Biomass Energy and College of Life Sciences, Nanjing Normal University, Nanjing, Jiangsu, PR China.

出版信息

PLoS One. 2011 Apr 8;6(4):e18489. doi: 10.1371/journal.pone.0018489.

DOI:10.1371/journal.pone.0018489
PMID:21494625
原文链接:https://pmc.ncbi.nlm.nih.gov/articles/PMC3072991/
Abstract

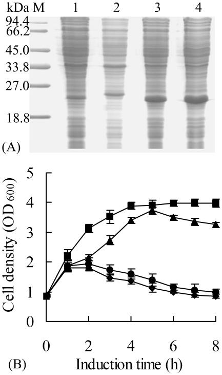
The development of new procedures and protocols that allow researchers to obtain recombinant proteins is of fundamental importance in the biotechnology field. A strategy was explored to overcome inclusion-body formation observed when expressing an aggregation-prone fungal xylanase in Escherichia coli. pHsh is an expression plasmid that uses a synthetic heat-shock (Hsh) promoter, in which gene expression is regulated by an alternative sigma factor (σ(32)). A derivative of pHsh was constructed by fusing a signal peptide to xynA2 gene to facilitate export of the recombinant protein to the periplasm. The xylanase was produced in a soluble form. Three factors were essential to achieving such soluble expression of the xylanase: 1) the target gene was under the control of the Hsh promoter, 2) the gene product was exported into the periplasm, and 3) gene expression was induced by a temperature upshift. For the first time we report the expression of periplasmic proteins under the control of an Hsh promoter regulated by σ(32). One unique feature of this approach was that over 200 copies of the Hsh promoter in an E. coli cell significantly increased the concentration of σ(32). The growth inhibition of the recombinant cells corresponded to an increase in the levels of soluble periplasmic protein. Therefore, an alternative protocol was designed to induce gene expression from pHsh-ex to obtain high levels of active soluble enzymes.

摘要

开发允许研究人员获得重组蛋白的新程序和协议在生物技术领域至关重要。探索了一种策略来克服在大肠杆菌中表达易聚集真菌木聚糖酶时观察到的包涵体形成。pHsh 是一种表达质粒,使用合成热休克 (Hsh) 启动子,其中基因表达受替代 sigma 因子 (σ(32)) 调节。通过将信号肽融合到 xynA2 基因上来构建 pHsh 的衍生物,以促进重组蛋白向周质的输出。木聚糖酶以可溶形式产生。实现木聚糖酶可溶性表达需要三个因素:1)靶基因受 Hsh 启动子控制,2)基因产物被输出到周质,3)通过温度上升诱导基因表达。我们首次报道了受 σ(32) 调节的 Hsh 启动子控制的周质蛋白的表达。这种方法的一个独特特征是,大肠杆菌细胞中超过 200 个 Hsh 启动子显著增加了 σ(32) 的浓度。重组细胞的生长抑制与可溶性周质蛋白水平的增加相对应。因此,设计了替代方案从 pHsh-ex 诱导基因表达以获得高水平的活性可溶性酶。

https://cdn.ncbi.nlm.nih.gov/pmc/blobs/e036/3072991/e49645b91cd0/pone.0018489.g006.jpg
https://cdn.ncbi.nlm.nih.gov/pmc/blobs/e036/3072991/c226a7d56daf/pone.0018489.g001.jpg
https://cdn.ncbi.nlm.nih.gov/pmc/blobs/e036/3072991/e01363b54342/pone.0018489.g002.jpg
https://cdn.ncbi.nlm.nih.gov/pmc/blobs/e036/3072991/72f9f0f0f4fc/pone.0018489.g003.jpg
https://cdn.ncbi.nlm.nih.gov/pmc/blobs/e036/3072991/ad2852f2a146/pone.0018489.g004.jpg
https://cdn.ncbi.nlm.nih.gov/pmc/blobs/e036/3072991/bbf1513c8ab0/pone.0018489.g005.jpg
https://cdn.ncbi.nlm.nih.gov/pmc/blobs/e036/3072991/e49645b91cd0/pone.0018489.g006.jpg
https://cdn.ncbi.nlm.nih.gov/pmc/blobs/e036/3072991/c226a7d56daf/pone.0018489.g001.jpg
https://cdn.ncbi.nlm.nih.gov/pmc/blobs/e036/3072991/e01363b54342/pone.0018489.g002.jpg
https://cdn.ncbi.nlm.nih.gov/pmc/blobs/e036/3072991/72f9f0f0f4fc/pone.0018489.g003.jpg
https://cdn.ncbi.nlm.nih.gov/pmc/blobs/e036/3072991/ad2852f2a146/pone.0018489.g004.jpg
https://cdn.ncbi.nlm.nih.gov/pmc/blobs/e036/3072991/bbf1513c8ab0/pone.0018489.g005.jpg
https://cdn.ncbi.nlm.nih.gov/pmc/blobs/e036/3072991/e49645b91cd0/pone.0018489.g006.jpg

相似文献

1
An approach to the production of soluble protein from a fungal gene encoding an aggregation-prone xylanase in Escherichia coli.在大肠杆菌中生产真菌基因编码的易聚集木聚糖酶可溶性蛋白的方法。
PLoS One. 2011 Apr 8;6(4):e18489. doi: 10.1371/journal.pone.0018489.
2
pHsh vectors, a novel expression system of Escherichia coli for the large-scale production of recombinant enzymes.pHsh 载体,一种新型大肠杆菌表达系统,用于大规模生产重组酶。
Biotechnol Lett. 2010 Jun;32(6):795-801. doi: 10.1007/s10529-010-0223-y. Epub 2010 Feb 14.
3
High-level soluble expression of a thermostable xylanase from thermophilic fungus Thermomyces lanuginosus in Escherichia coli via fusion with OsmY protein.通过与OsmY蛋白融合在大肠杆菌中实现嗜热真菌嗜热栖热菌的耐热木聚糖酶的高水平可溶性表达。
Protein Expr Purif. 2014 Jul;99:1-5. doi: 10.1016/j.pep.2014.03.004. Epub 2014 Mar 18.
4
Co-expression of a heat shock transcription factor to improve conformational quality of recombinant protein in Escherichia coli.共表达热休克转录因子以提高大肠杆菌中重组蛋白的构象质量。
J Biosci Bioeng. 2014 Sep;118(3):242-8. doi: 10.1016/j.jbiosc.2014.02.012. Epub 2014 Mar 18.
5
Production of soluble recombinant proteins in Escherichia coli: effects of process conditions and chaperone co-expression on cell growth and production of xylanase.在大肠杆菌中生产可溶性重组蛋白:过程条件和伴侣蛋白共表达对细胞生长和木聚糖酶生产的影响。
Bioresour Technol. 2012 Nov;123:135-43. doi: 10.1016/j.biortech.2012.07.011. Epub 2012 Jul 16.
6
High-level expression of a xylanase gene from the thermophilic fungus Paecilomyces thermophila in Pichia pastoris.高温真菌嗜热毁丝霉木聚糖酶基因在巴斯德毕赤酵母中的高效表达。
Biotechnol Lett. 2012 Nov;34(11):2043-8. doi: 10.1007/s10529-012-0995-3. Epub 2012 Jul 11.
7
Molecular detection and diversity of xylanase genes in alpine tundra soil.高寒草甸土壤木聚糖酶基因的分子检测与多样性。
Appl Microbiol Biotechnol. 2010 Jul;87(4):1383-93. doi: 10.1007/s00253-010-2564-9.
8
Reversal of the ΔdegP phenotypes by a novel rpoE allele of Escherichia coli.大肠杆菌中一种新型 rpoE 等位基因对 ΔdegP 表型的逆转。
PLoS One. 2012;7(3):e33979. doi: 10.1371/journal.pone.0033979. Epub 2012 Mar 16.
9
Cloning and constitutive expression of His-tagged xylanase GH 11 from Penicillium occitanis Pol6 in Pichia pastoris X33: purification and characterization.来自奥克西坦青霉Pol6的His标签木聚糖酶GH 11在毕赤酵母X33中的克隆与组成型表达:纯化与表征
Protein Expr Purif. 2012 May;83(1):8-14. doi: 10.1016/j.pep.2012.02.012. Epub 2012 Mar 1.
10
Optimal production of a novel endo-acting beta-1,4-xylanase cloned from Saccharophagus degradans 2-40 into Escherichia coli BL21(DE3).从嗜热解脂丝孢菌 2-40 中克隆的新型内切 β-1,4-木聚糖酶在大肠杆菌 BL21(DE3)中的最优生产。
N Biotechnol. 2009 Oct 31;26(3-4):157-64. doi: 10.1016/j.nbt.2009.07.009. Epub 2009 Jul 29.

引用本文的文献

1
In Silico Analysis and Development of the Secretory Expression of D-Psicose-3-Epimerase in .D-阿洛酮糖-3-表异构酶分泌表达的计算机模拟分析与开发
Microorganisms. 2024 Aug 1;12(8):1574. doi: 10.3390/microorganisms12081574.
2
Production, purification, characterization, and safety evaluation of constructed recombinant D-psicose 3-epimerase.构建重组 D-阿洛酮糖 3-差向异构酶的生产、纯化、特性鉴定及安全性评价。
Microb Cell Fact. 2024 Jul 30;23(1):216. doi: 10.1186/s12934-024-02487-x.
3
Preparation of Sweet Potato Porous Starch by Marine Dextranase and Its Adsorption Characteristics.

本文引用的文献

1
pHsh vectors, a novel expression system of Escherichia coli for the large-scale production of recombinant enzymes.pHsh 载体,一种新型大肠杆菌表达系统,用于大规模生产重组酶。
Biotechnol Lett. 2010 Jun;32(6):795-801. doi: 10.1007/s10529-010-0223-y. Epub 2010 Feb 14.
2
Sense and nonsense from a systems biology approach to microbial recombinant protein production.从系统生物学角度看微生物重组蛋白生产的合理与不合理之处。
Biotechnol Appl Biochem. 2010 Jan 4;55(1):9-28. doi: 10.1042/BA20090174.
3
Strategies for successful recombinant expression of disulfide bond-dependent proteins in Escherichia coli.
海洋葡聚糖酶制备红薯多孔淀粉及其吸附特性
Foods. 2024 Feb 10;13(4):549. doi: 10.3390/foods13040549.
4
Production of Neoagaro-Oligosaccharides With Various Degrees of Polymerization by Using a Truncated Marine Agarase.利用截短的海洋琼脂酶制备不同聚合度的新琼脂寡糖
Front Microbiol. 2020 Sep 24;11:574771. doi: 10.3389/fmicb.2020.574771. eCollection 2020.
5
: Genome Analysis and Characterization of Two Heterologous Expressed, Non-redundant Xylanases.两种异源表达的非冗余木聚糖酶的基因组分析与表征
Front Microbiol. 2020 Sep 18;11:2154. doi: 10.3389/fmicb.2020.573482. eCollection 2020.
6
Expression and Functional Properties of an Anti-Triazophos High-Affinity Single-Chain Variable Fragment Antibody with Specific Lambda Light Chain.具有特定λ轻链的抗三唑磷高亲和力单链可变片段抗体的表达及功能特性
Int J Mol Sci. 2016 Jun 7;17(6):823. doi: 10.3390/ijms17060823.
7
Enhancing the secretion efficiency and thermostability of a Bacillus deramificans pullulanase mutant (D437H/D503Y) by N-terminal domain truncation.通过N端结构域截短提高解淀粉芽孢杆菌支链淀粉酶突变体(D437H/D503Y)的分泌效率和热稳定性
Appl Environ Microbiol. 2015 Mar;81(6):1926-31. doi: 10.1128/AEM.03714-14. Epub 2015 Jan 2.
8
Tat peptide-mediated soluble expression of the membrane protein LSECtin-CRD in Escherichia coli.Tat肽介导的膜蛋白LSECtin-CRD在大肠杆菌中的可溶性表达。
PLoS One. 2013 Dec 16;8(12):e83579. doi: 10.1371/journal.pone.0083579. eCollection 2013.
9
Heterologous expression, purification, crystallization and preliminary X-ray analysis of Trichoderma reesei xylanase II and four variants.里氏木霉木聚糖酶II及其四个变体的异源表达、纯化、结晶和初步X射线分析
Acta Crystallogr Sect F Struct Biol Cryst Commun. 2013 Mar 1;69(Pt 3):320-3. doi: 10.1107/S1744309113001164. Epub 2013 Feb 27.
10
Enhanced soluble expression of a thermostable cellulase from Clostridium thermocellum in Escherichia coli.增强热稳定纤维素酶在大肠杆菌中的可溶性表达。
Curr Microbiol. 2011 Dec;63(6):523-30. doi: 10.1007/s00284-011-0012-4. Epub 2011 Sep 22.
在大肠杆菌中成功表达依赖二硫键的蛋白质的策略。
Microb Cell Fact. 2009 May 14;8:26. doi: 10.1186/1475-2859-8-26.
4
Thioredoxins and glutaredoxins as facilitators of protein folding.硫氧还蛋白和谷氧还蛋白作为蛋白质折叠的促进因子。
Biochim Biophys Acta. 2008 Apr;1783(4):641-50. doi: 10.1016/j.bbamcr.2008.02.003. Epub 2008 Feb 19.
5
Solubilization and refolding of bacterial inclusion body proteins.细菌包涵体蛋白的溶解与复性
J Biosci Bioeng. 2005 Apr;99(4):303-10. doi: 10.1263/jbb.99.303.
6
Recombinant protein secretion in Escherichia coli.大肠杆菌中的重组蛋白分泌
Biotechnol Adv. 2005 May;23(3):177-202. doi: 10.1016/j.biotechadv.2004.11.003. Epub 2005 Jan 8.
7
Recombinant protein folding and misfolding in Escherichia coli.大肠杆菌中的重组蛋白折叠与错误折叠
Nat Biotechnol. 2004 Nov;22(11):1399-408. doi: 10.1038/nbt1029.
8
Protein quality control in the bacterial periplasm.细菌周质中的蛋白质质量控制
Microb Cell Fact. 2004 May 7;3(1):4. doi: 10.1186/1475-2859-3-4.
9
Secretory and extracellular production of recombinant proteins using Escherichia coli.利用大肠杆菌进行重组蛋白的分泌型和胞外生产。
Appl Microbiol Biotechnol. 2004 Jun;64(5):625-35. doi: 10.1007/s00253-004-1559-9. Epub 2004 Feb 14.
10
Temperature effect on inclusion body formation and stress response in the periplasm of Escherichia coli.温度对大肠杆菌周质中包涵体形成及应激反应的影响
Mol Microbiol. 2003 Dec;50(5):1579-89. doi: 10.1046/j.1365-2958.2003.03785.x.