Suppr超能文献

D-阿洛酮糖-3-表异构酶分泌表达的计算机模拟分析与开发

In Silico Analysis and Development of the Secretory Expression of D-Psicose-3-Epimerase in .

作者信息

Watthanasakphuban Nisit, Ninchan Boontiwa, Pinmanee Phitsanu, Rattanaporn Kittipong, Keawsompong Suttipun

机构信息

Department of Biotechnology, Faculty of Agro-Industry, Kasetsart University, Chatuchak, Bangkok 10900, Thailand.

Enzyme Technology Research Team, National Center of Genetic Engineering and Biotechnology (BIOTEC), Pathum Thani 12120, Thailand.

出版信息

Microorganisms. 2024 Aug 1;12(8):1574. doi: 10.3390/microorganisms12081574.

Abstract

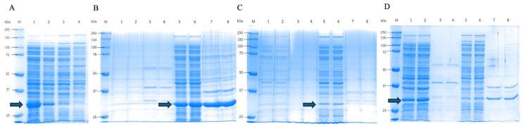
D-psicose-3-epimerase (DPEase), a key enzyme for D-psicose production, has been successfully expressed in with high yield. However, intracellular expression results in high downstream processing costs and greater risk of lipopolysaccharide (LPS) contamination during cell disruption. The secretory expression of DPEase could minimize the number of purification steps and prevent LPS contamination, but achieving the secretion expression of DPEase in is challenging and has not been reported due to certain limitations. This study addresses these challenges by enhancing the secretion of DPEase in through computational predictions and structural analyses. Signal peptide prediction identified PelB as the most effective signal peptide for DPEase localization and enhanced solubility. Supplementary strategies included the addition of 0.1% (/) Triton X-100 to promote protein secretion, resulting in higher extracellular DPEase (0.5 unit/mL). Low-temperature expression (20 °C) mitigated the formation of inclusion bodies, thus enhancing DPEase solubility. Our findings highlight the pivotal role of signal peptide selection in modulating DPEase solubility and activity, offering valuable insights for protein expression and secretion studies, especially for rare sugar production. Ongoing exploration of alternative signal peptides and refinement of secretion strategies promise further enhancement in enzyme secretion efficiency and process safety, paving the way for broader applications in biotechnology.

摘要

D-阿洛酮糖-3-差向异构酶(DPEase)是生产D-阿洛酮糖的关键酶,已在[具体表达系统]中成功实现高产表达。然而,在细胞内表达会导致较高的下游加工成本,并且在细胞破碎过程中存在脂多糖(LPS)污染的更大风险。DPEase的分泌表达可以减少纯化步骤的数量并防止LPS污染,但由于某些限制,在[具体表达系统]中实现DPEase的分泌表达具有挑战性且尚未见报道。本研究通过计算预测和结构分析增强DPEase在[具体表达系统]中的分泌来应对这些挑战。信号肽预测确定PelB是用于DPEase定位和增强溶解性的最有效信号肽。补充策略包括添加0.1%(体积/体积)的 Triton X-100以促进蛋白质分泌,从而产生更高的细胞外DPEase(0.5单位/毫升)。低温表达(20°C)减轻了包涵体的形成,从而提高了DPEase的溶解性。我们的研究结果突出了信号肽选择在调节DPEase溶解性和活性方面的关键作用,为蛋白质表达和分泌研究提供了有价值的见解,特别是对于稀有糖的生产。对替代信号肽的持续探索和分泌策略的优化有望进一步提高酶的分泌效率和过程安全性,为生物技术的更广泛应用铺平道路。

https://cdn.ncbi.nlm.nih.gov/pmc/blobs/a959/11356227/ec0c34b89f0d/microorganisms-12-01574-g001.jpg

文献检索

告别复杂PubMed语法,用中文像聊天一样搜索,搜遍4000万医学文献。AI智能推荐,让科研检索更轻松。

立即免费搜索

文件翻译

保留排版,准确专业,支持PDF/Word/PPT等文件格式,支持 12+语言互译。

免费翻译文档

深度研究

AI帮你快速写综述,25分钟生成高质量综述,智能提取关键信息,辅助科研写作。

立即免费体验