Suppr超能文献

一名六岁女孩的颗粒细胞瘤表现为性早熟。

Granulosa cell tumor in a six-year-old girl presented as precocious puberty.

作者信息

Hashemipour Mahin, Moaddab Mohammad Hassan, Nazem Masoud, Mahzouni Parvin, Salek Mehdi

机构信息

Pediatric Endocrinologist, Isfahan Endocrine and Metabolism Research Center, Isfahan University of Medical Sciences, Isfahan, Iran.

出版信息

J Res Med Sci. 2010 Jul;15(4):240-2.

Abstract

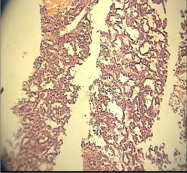
Ovarian sex cord-stromal tumors, including granulose cell tumors (GCTs), are a group of neoplasms that occur rarely, especially in children. Only 0.1 percent of all ovarian tumors and 4-5 percent of GCTs occur in children. The most common presentation of these tumors in children is precocious puberty. We report a 6 years old girl with isosexual precocity, presented as premature thelarche and vaginal bleeding. Ultrasonography of pelvis showed a hypoechoic solid mass of left ovary.Microscopic features of the resected mass were characteristic of juvenile GCT. Although in most of girls with precocious puberty, the etiology is idiopathic, important causes, such as ovarian tumors must be considered.

摘要

卵巢性索间质肿瘤,包括颗粒细胞瘤(GCTs),是一组罕见的肿瘤,尤其是在儿童中。在所有卵巢肿瘤中,只有0.1%发生于儿童,而颗粒细胞瘤在儿童中的发生率为4%-5%。这些肿瘤在儿童中最常见的表现是性早熟。我们报告一名6岁患同性性早熟的女孩,表现为乳房过早发育和阴道出血。盆腔超声检查显示左侧卵巢有一个低回声实性肿块。切除肿块的显微镜特征为青少年颗粒细胞瘤。虽然大多数性早熟女孩的病因是特发性的,但必须考虑重要病因,如卵巢肿瘤。

https://cdn.ncbi.nlm.nih.gov/pmc/blobs/945f/3082815/420d7b42feb7/JRMS-15-240-g001.jpg

文献检索

告别复杂PubMed语法,用中文像聊天一样搜索,搜遍4000万医学文献。AI智能推荐,让科研检索更轻松。

立即免费搜索

文件翻译

保留排版,准确专业,支持PDF/Word/PPT等文件格式,支持 12+语言互译。

免费翻译文档

深度研究

AI帮你快速写综述,25分钟生成高质量综述,智能提取关键信息,辅助科研写作。

立即免费体验