• 文献检索
  • 文档翻译
  • 深度研究
  • 学术资讯
  • Suppr Zotero 插件Zotero 插件
  • 邀请有礼
  • 套餐&价格
  • 历史记录
应用&插件
Suppr Zotero 插件Zotero 插件浏览器插件Mac 客户端Windows 客户端微信小程序
定价
高级版会员购买积分包购买API积分包
服务
文献检索文档翻译深度研究API 文档MCP 服务
关于我们
关于 Suppr公司介绍联系我们用户协议隐私条款
关注我们

Suppr 超能文献

核心技术专利:CN118964589B侵权必究
粤ICP备2023148730 号-1Suppr @ 2026

文献检索

告别复杂PubMed语法,用中文像聊天一样搜索,搜遍4000万医学文献。AI智能推荐,让科研检索更轻松。

立即免费搜索

文件翻译

保留排版,准确专业,支持PDF/Word/PPT等文件格式,支持 12+语言互译。

免费翻译文档

深度研究

AI帮你快速写综述,25分钟生成高质量综述,智能提取关键信息,辅助科研写作。

立即免费体验

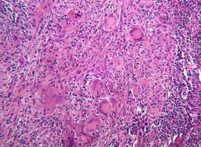
外周巨细胞肉芽肿:123例病例回顾

Peripheral giant cell granuloma: a review of 123 cases.

作者信息

Shadman Niloofar, Ebrahimi Shahram Farzin, Jafari Shahin, Eslami Mohammad

机构信息

Assistant professor, Department of Restorative Dentistry, School of Dentistry, Kerman University of Medical Sciences, Kerman, Iran.

出版信息

Dent Res J (Isfahan). 2009 Spring;6(1):47-50.

PMID:21528029
原文链接:https://pmc.ncbi.nlm.nih.gov/articles/PMC3075451/
Abstract

BACKGROUND

Peripheral giant cell granuloma is one of the reactive hyperplastic lesions of the oral cavity, which originates from the periosteum or periodontal membrane following local irritation or chronic trauma. The purpose of this study was to present the clinical characteristics of peripheral giant cell granuloma in a group of Iranian population.

METHODS

A series of 123 consecutive confirmed cases of peripheral giant cell granuloma after biopsy were evaluated. Age, sex, anatomic location, consistency, etiologic factor, pain and bleeding history, color, surface texture, and pedicle situation were recorded and were analyzed by chi-square test and values were considered to be significant if P < 0.05.

RESULTS

Age ranged from 6 to 75 years (mean 33 years). Women affected more than men (M/F 1:1.1). Peripheral giant cell granuloma was seen in the mandible more than in the maxilla and in the anterior region more than in the posterior region. In most cases, lesions were pink, pedunculated and had non-ulcerated surface. In less than half of the cases, there was no history of bleeding and also pain was rarely reported. Calculus was the most common etiologic factor.

CONCLUSION

The results confirmed that the clinical features of peripheral giant cell granuloma in a group of Iranian population are almost similar to those reported by other investigators.

摘要

背景

外周性巨细胞肉芽肿是口腔的反应性增生性病变之一,其起源于局部刺激或慢性创伤后的骨膜或牙周膜。本研究的目的是呈现一组伊朗人群中外周性巨细胞肉芽肿的临床特征。

方法

对一系列123例经活检确诊的外周性巨细胞肉芽肿连续病例进行评估。记录年龄、性别、解剖位置、质地、病因、疼痛和出血史、颜色、表面质地和蒂部情况,并通过卡方检验进行分析,若P < 0.05,则认为差异具有统计学意义。

结果

年龄范围为6至75岁(平均33岁)。女性受累多于男性(男/女为1:1.1)。外周性巨细胞肉芽肿在下颌骨比在上颌骨更常见,在前部区域比在后部区域更常见。在大多数情况下,病变为粉红色、有蒂且表面无溃疡。不到一半的病例有出血史,疼痛也很少被报告。牙结石是最常见的病因。

结论

结果证实,一组伊朗人群中外周性巨细胞肉芽肿的临床特征与其他研究者报告的特征几乎相似。

https://cdn.ncbi.nlm.nih.gov/pmc/blobs/ae98/3075451/1a1cfc6553e9/DRJ-6-47-g002.jpg
https://cdn.ncbi.nlm.nih.gov/pmc/blobs/ae98/3075451/f0d05aa9aa0a/DRJ-6-47-g001.jpg
https://cdn.ncbi.nlm.nih.gov/pmc/blobs/ae98/3075451/1a1cfc6553e9/DRJ-6-47-g002.jpg
https://cdn.ncbi.nlm.nih.gov/pmc/blobs/ae98/3075451/f0d05aa9aa0a/DRJ-6-47-g001.jpg
https://cdn.ncbi.nlm.nih.gov/pmc/blobs/ae98/3075451/1a1cfc6553e9/DRJ-6-47-g002.jpg

相似文献

1
Peripheral giant cell granuloma: a review of 123 cases.外周巨细胞肉芽肿:123例病例回顾
Dent Res J (Isfahan). 2009 Spring;6(1):47-50.
2
Reactive hyperplasia of the oral cavity in Kerman province, Iran: a review of 172 cases.伊朗克尔曼省口腔反应性增生:172例病例回顾
Br J Oral Maxillofac Surg. 2007 Jun;45(4):288-92. doi: 10.1016/j.bjoms.2006.10.001. Epub 2006 Nov 9.
3
Surgical excision of peripheral giant cell granuloma of the maxilla: a case report.上颌骨外周性巨细胞瘤的手术切除:一例报告。
Pan Afr Med J. 2023 Mar 20;44:141. doi: 10.11604/pamj.2023.44.141.34835. eCollection 2023.
4
An Audit of Histopathological Pattern of Peripheral Giant Cell Granuloma - A Retrospective Study.外周巨细胞肉芽肿组织病理学模式的审计——一项回顾性研究。
Ann Maxillofac Surg. 2024 Jan-Jun;14(1):62-65. doi: 10.4103/ams.ams_20_24. Epub 2024 Jul 19.
5
Giant cell epulis.巨细胞龈瘤。
Wien Med Wochenschr. 2023 Sep;173(11-12):249-250. doi: 10.1007/s10354-021-00894-y. Epub 2021 Nov 4.
6
Peripheral giant cell granuloma.外周巨细胞肉芽肿
Contemp Clin Dent. 2012 Apr;3(Suppl 1):S118-21. doi: 10.4103/0976-237X.95121.
7
A Review and Report of Peripheral Giant Cell Granuloma in a 4-Year-Old Child.一名4岁儿童外周巨细胞肉芽肿的综述与报告
Case Rep Dent. 2016;2016:7536304. doi: 10.1155/2016/7536304. Epub 2016 Jun 15.
8
Reactive lesions of the oral cavity: A retrospective study on 2068 cases.口腔反应性病变:一项对2068例病例的回顾性研究。
Dent Res J (Isfahan). 2012 May;9(3):251-5.
9
Peripheral giant cell granuloma associated with dental implants.与牙种植体相关的外周性巨细胞肉芽肿
J Periodontol. 2003 Sep;74(9):1381-4. doi: 10.1902/jop.2003.74.9.1381.
10
Management of an unusual peripheral giant cell granuloma: A diagnostic dilemma.一例罕见外周巨细胞肉芽肿的治疗:诊断难题
Contemp Clin Dent. 2012 Jan;3(1):93-6. doi: 10.4103/0976-237X.94556.

引用本文的文献

1
Expansive Oral Giant Cell Granuloma in a Pediatric Patient.一名儿科患者的膨胀性口腔巨细胞肉芽肿
Int J Clin Pediatr Dent. 2023 Mar-Apr;16(2):405-408. doi: 10.5005/jp-journals-10005-2572.
2
Peripheral giant cell granuloma: a case series and brief review.外周性巨细胞瘤:病例系列与简要回顾。
Ann R Coll Surg Engl. 2024 Sep;106(7):649-651. doi: 10.1308/rcsann.2023.0021. Epub 2023 Jun 27.
3
Excision of a Benign Peripheral Giant Cell Granuloma in the Oral Mucosa of the Anterior Mandibular Teeth with a 975-nm Diode Laser: A Case Report of a 39-Year-Old Woman.

本文引用的文献

1
Pyogenic granuloma, peripheral giant cell granuloma and peripheral ossifying fibroma: retrospective analysis of 138 cases.脓性肉芽肿、外周巨细胞肉芽肿和外周骨化性纤维瘤:138例回顾性分析
Minerva Stomatol. 2008 May;57(5):227-32.
2
Peripheral and central giant cell granulomas of the jaws: a demographic study.颌骨外周性和中央性巨细胞肉芽肿:一项人口统计学研究。
Oral Surg Oral Med Oral Pathol Oral Radiol Endod. 2007 Jun;103(6):e39-43. doi: 10.1016/j.tripleo.2006.12.022. Epub 2007 Apr 11.
3
Reactive gingival lesions: a retrospective study of 2,439 cases.
应用 975nm 半导体激光切除前牙区口腔黏膜下良性外周性巨大细胞瘤 1 例:39 岁女性。
Am J Case Rep. 2023 Apr 12;24:e938793. doi: 10.12659/AJCR.938793.
4
Peripheral giant cell granuloma of maxilla.上颌骨外周性巨细胞肉芽肿
J Indian Soc Periodontol. 2022 Jan-Feb;26(1):75-78. doi: 10.4103/jisp.jisp_624_20. Epub 2021 Sep 27.
5
Peripheral Giant Cell Granuloma of the Jaws as First Sign of Primary Hyperparathyroidism: A Case Series.颌骨外周巨细胞肉芽肿作为原发性甲状旁腺功能亢进的首发症状:病例系列报道
J Clin Med. 2020 Dec 14;9(12):4042. doi: 10.3390/jcm9124042.
6
A Nervous Recipient of a "Tongue Lashing".一个挨“骂”紧张的人。
Fed Pract. 2020 Mar;37(3):146-148.
7
Pattern of distribution of reactive localised hyperplasia of the oral cavity in patients at a tertiary health institution in Nigeria.尼日利亚一家三级医疗机构中患者口腔反应性局限性增生的分布模式
Afr Health Sci. 2019 Mar;19(1):1687-1694. doi: 10.4314/ahs.v19i1.45.
8
Peripheral and Central Giant Cell Lesions in Children: Institutional Experience at Subharti Dental College and Hospital.儿童外周和中枢巨细胞病变:苏巴尔蒂牙科学院和医院的机构经验
Indian J Med Paediatr Oncol. 2017 Oct-Dec;38(4):440-446. doi: 10.4103/ijmpo.ijmpo_17_16.
9
Peripheral Giant Cell Granuloma in a Child Associated with Ectopic Eruption and Traumatic Habit with Control of Four Years.一名儿童的外周巨细胞肉芽肿与异位萌出及创伤性习惯相关,随访四年病情得到控制
Case Rep Dent. 2016;2016:6725913. doi: 10.1155/2016/6725913. Epub 2016 Nov 24.
10
A Review and Report of Peripheral Giant Cell Granuloma in a 4-Year-Old Child.一名4岁儿童外周巨细胞肉芽肿的综述与报告
Case Rep Dent. 2016;2016:7536304. doi: 10.1155/2016/7536304. Epub 2016 Jun 15.
反应性牙龈病变:2439例回顾性研究。
Quintessence Int. 2007 Feb;38(2):103-10.
4
Peripheral giant cell granuloma. A report of five cases and review of the literature.外周巨细胞肉芽肿。5例报告并文献复习。
Med Oral Patol Oral Cir Bucal. 2005 Jan-Feb;10(1):53-7; 48-52.
5
Peripheral giant-cell granuloma. Review of 13 cases.外周巨细胞肉芽肿。13例病例回顾。
Med Oral. 2002 Jul-Oct;7(4):254-9.
6
Peripheral giant cell granuloma: a potentially aggressive lesion in children.外周巨细胞肉芽肿:儿童中的一种潜在侵袭性病变。
Pediatr Dent. 2000 May-Jun;22(3):232-3.
7
Estrogen and progesterone receptors in the peripheral giant cell granulomas of the oral cavity.口腔外周巨细胞肉芽肿中的雌激素和孕激素受体
J Oral Sci. 1998 Jun;40(2):57-60. doi: 10.2334/josnusd.40.57.
8
The peripheral giant cell granuloma.外周性巨细胞肉芽肿
Gen Dent. 1997 Nov-Dec;45(6):577-9.
9
Growth potential of peripheral giant cell granuloma.外周性巨细胞肉芽肿的生长潜能
Oral Surg Oral Med Oral Pathol Oral Radiol Endod. 1997 May;83(5):548-51. doi: 10.1016/s1079-2104(97)90118-9.
10
Peripheral giant-cell granuloma: a review.外周巨细胞肉芽肿:综述
J Ir Dent Assoc. 1994;40(2):39-41.