Suppr超能文献

黑猩猩的声音信号指向人类语言的多模态起源。

Chimpanzee vocal signaling points to a multimodal origin of human language.

机构信息

Department of Biology and Physics, Kennesaw State University, Kennesaw, Georgia, United States of America.

出版信息

PLoS One. 2011 Apr 20;6(4):e18852. doi: 10.1371/journal.pone.0018852.

Abstract

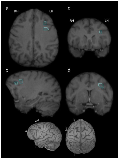
The evolutionary origin of human language and its neurobiological foundations has long been the object of intense scientific debate. Although a number of theories have been proposed, one particularly contentious model suggests that human language evolved from a manual gestural communication system in a common ape-human ancestor. Consistent with a gestural origins theory are data indicating that chimpanzees intentionally and referentially communicate via manual gestures, and the production of manual gestures, in conjunction with vocalizations, activates the chimpanzee Broca's area homologue--a region in the human brain that is critical for the planning and execution of language. However, it is not known if this activity observed in the chimpanzee Broca's area is the result of the chimpanzees producing manual communicative gestures, communicative sounds, or both. This information is critical for evaluating the theory that human language evolved from a strictly manual gestural system. To this end, we used positron emission tomography (PET) to examine the neural metabolic activity in the chimpanzee brain. We collected PET data in 4 subjects, all of whom produced manual communicative gestures. However, 2 of these subjects also produced so-called attention-getting vocalizations directed towards a human experimenter. Interestingly, only the two subjects that produced these attention-getting sounds showed greater mean metabolic activity in the Broca's area homologue as compared to a baseline scan. The two subjects that did not produce attention-getting sounds did not. These data contradict an exclusive "gestural origins" theory for they suggest that it is vocal signaling that selectively activates the Broca's area homologue in chimpanzees. In other words, the activity observed in the Broca's area homologue reflects the production of vocal signals by the chimpanzees, suggesting that this critical human language region was involved in vocal signaling in the common ancestor of both modern humans and chimpanzees.

摘要

人类语言的进化起源及其神经生物学基础长期以来一直是激烈科学辩论的主题。尽管已经提出了一些理论,但有一种特别有争议的模型认为,人类语言是从一个共同的猿类-人类祖先的手动姿势交际系统进化而来的。与手势起源理论一致的数据表明,黑猩猩通过手动姿势进行有意的、参照性的交流,并且手动姿势的产生与发声相结合,激活了黑猩猩布罗卡区同源物——人类大脑中对于语言的规划和执行至关重要的区域。然而,目前尚不清楚在黑猩猩的布罗卡区观察到的这种活动是由于黑猩猩产生了手动交际手势、交际声音还是两者兼而有之。这些信息对于评估人类语言是从严格的手动姿势系统进化而来的理论至关重要。为此,我们使用正电子发射断层扫描(PET)检查了黑猩猩大脑的神经代谢活性。我们在 4 个对象中收集了 PET 数据,所有这些对象都产生了手动交际手势。然而,其中 2 个对象还产生了所谓的指向人类实验者的引人注意的发声。有趣的是,只有产生这些引人注意的声音的两个对象在布罗卡区同源物中表现出比基线扫描更高的平均代谢活性。而没有产生引人注意的声音的两个对象则没有。这些数据与排他性的“手势起源”理论相矛盾,因为它们表明是发声信号选择性地激活了黑猩猩的布罗卡区同源物。换句话说,在布罗卡区同源物中观察到的活动反映了黑猩猩发声信号的产生,这表明这个关键的人类语言区域参与了现代人类和黑猩猩共同祖先的发声信号。

https://cdn.ncbi.nlm.nih.gov/pmc/blobs/3dca/3080370/49f8e784688b/pone.0018852.g001.jpg

文献检索

告别复杂PubMed语法,用中文像聊天一样搜索,搜遍4000万医学文献。AI智能推荐,让科研检索更轻松。

立即免费搜索

文件翻译

保留排版,准确专业,支持PDF/Word/PPT等文件格式,支持 12+语言互译。

免费翻译文档

深度研究

AI帮你快速写综述,25分钟生成高质量综述,智能提取关键信息,辅助科研写作。

立即免费体验