Suppr超能文献

脊髓灰质炎病毒蛋白质的无细胞合成与加工

Cell-free synthesis and processing of the proteins of poliovirus.

作者信息

Shih D S, Shih C T, Kew O, Pallansch M, Rueckert R, Kaesberg P

出版信息

Proc Natl Acad Sci U S A. 1978 Dec;75(12):5807-11. doi: 10.1073/pnas.75.12.5807.

Abstract

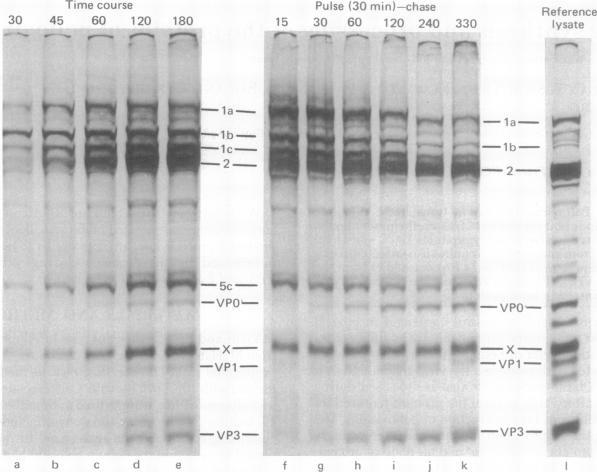
Poliovirus RNA can be translated completely and accurately in rabbit reticulocyte lysates; the nascent poly-protein is processed to give primary products 1a, X, and 1b indistinguishable from those made in poliovirus-infected HeLa cells. The capsid precursor protein 1a is processed to form the capsid proteins VP0, VP1, and VP3, while the noncapsid precursor 1b is processed to form protein 2.

摘要

脊髓灰质炎病毒核糖核酸(RNA)能在兔网织红细胞裂解物中完全且准确地进行翻译;新生的多聚蛋白会被加工成初级产物1a、X和1b,这些产物与在脊髓灰质炎病毒感染的HeLa细胞中产生的产物无法区分。衣壳前体蛋白1a被加工形成衣壳蛋白VP0、VP1和VP3,而非衣壳前体1b则被加工形成蛋白2。

https://cdn.ncbi.nlm.nih.gov/pmc/blobs/acc0/393064/93c26baecbcb/pnas00022-0072-a.jpg

文献检索

告别复杂PubMed语法,用中文像聊天一样搜索,搜遍4000万医学文献。AI智能推荐,让科研检索更轻松。

立即免费搜索

文件翻译

保留排版,准确专业,支持PDF/Word/PPT等文件格式,支持 12+语言互译。

免费翻译文档

深度研究

AI帮你快速写综述,25分钟生成高质量综述,智能提取关键信息,辅助科研写作。

立即免费体验