Suppr超能文献

Cell Cannibalism: A cytological study in effusion samples.

作者信息

Bansal Cherry, Tiwari Vandana, Singh Us, Srivastava An, Misra Js

机构信息

Department of Pathology, Eras Medical College and Hospital, Lucknow, India.

出版信息

J Cytol. 2011 Apr;28(2):57-60. doi: 10.4103/0970-9371.80736.

Abstract

BACKGROUND

Cytological examination of effusion fluid is a relatively easy and quick method for the diagnosis of primary or secondary malignancy.

AIMS

To analyze the cytological significance of cell cannibalism in malignant effusion samples.

MATERIALS AND METHODS

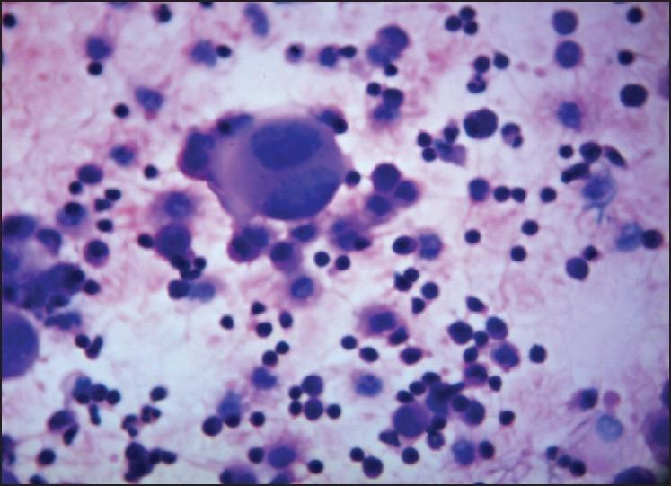
A retrospective review of 100 cases of malignant effusion was done. These 100 cases included 50 cases of contiguous, local spread to pleural/ascitic fluid. The remaining 50 cases were of disseminated malignancy. Effusions due to hematolymphoid malignancies were excluded. Smears from these cases were assessed for the presence of cell cannibalism, tumor cell within a tumor cell.

RESULTS

The cannibalistic cells were more common in effusions with disseminated malignancy (nine out of 50 cases i.e. 18%) compared with cases of contiguous, local spread (two out of 50 cases i.e. 4%). Chi square test showed this difference to be statistically significant (x(2) 5.005, P=0.025). The majority of the cases were of carcinoma lung (6/11). Cytomorphologically, histiocytes displaying phagocytosis can simulate tumor cells and need to be distinguished.

CONCLUSIONS

Presence of cell cannibalism in malignant effusions is more often an indicator of disseminated malignancy with secondaries and higher tumor stage. Furthermore, cannibalism may provide a reliable predictor of progression of tumor from primary to the metastatic site.

摘要
https://cdn.ncbi.nlm.nih.gov/pmc/blobs/edfb/3111709/c0708072e8da/JCytol-28-57-g002.jpg

文献AI研究员

20分钟写一篇综述,助力文献阅读效率提升50倍。

立即体验

用中文搜PubMed

大模型驱动的PubMed中文搜索引擎

马上搜索

文档翻译

学术文献翻译模型,支持多种主流文档格式。

立即体验