Suppr超能文献

ADAMTS13 在肾小球内皮细胞中的表型表达。

Phenotypic expression of ADAMTS13 in glomerular endothelial cells.

机构信息

Department of Pediatrics, Clinical Sciences Lund, Lund University, Lund, Sweden.

出版信息

PLoS One. 2011;6(6):e21587. doi: 10.1371/journal.pone.0021587. Epub 2011 Jun 24.

Abstract

BACKGROUND

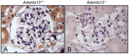
ADAMTS13 is the physiological von Willebrand factor (VWF)-cleaving protease. The aim of this study was to examine ADAMTS13 expression in kidneys from ADAMTS13 wild-type (Adamts13⁺/⁺) and deficient (Adamts13⁻/⁻) mice and to investigate the expression pattern and bioactivity in human glomerular endothelial cells.

METHODOLOGY/PRINCIPAL FINDINGS: Immunohistochemistry was performed on kidney sections from ADAMTS13 wild-type and ADAMTS13-deficient mice. Phenotypic differences were examined by ultramorphology. ADAMTS13 expression in human glomerular endothelial cells and dermal microvascular endothelial cells was investigated by real-time PCR, flow cytometry, immunofluorescence and immunoblotting. VWF cleavage was demonstrated by multimer structure analysis and immunoblotting. ADAMTS13 was demonstrated in glomerular endothelial cells in Adamts13⁺/⁺ mice but no staining was visible in tissue from Adamts13⁻/⁻ mice. Thickening of glomerular capillaries with platelet deposition on the vessel wall was detected in Adamts13⁻/⁻ mice. ADAMTS13 mRNA and protein were detected in both human endothelial cells and the protease was secreted. ADAMTS13 activity was demonstrated in glomerular endothelial cells as cleavage of VWF.

CONCLUSIONS/SIGNIFICANCE: Glomerular endothelial cells express and secrete ADAMTS13. The proteolytic activity could have a protective effect preventing deposition of platelets along capillary lumina under the conditions of high shear stress present in glomerular capillaries.

摘要

背景

ADAMTS13 是一种生理上的血管性血友病因子(VWF)切割蛋白酶。本研究旨在检测 ADAMTS13 在 ADAMTS13 野生型(Adamts13⁺/⁺)和缺陷型(Adamts13⁻/⁻)小鼠肾脏中的表达情况,并研究其在人肾小球内皮细胞中的表达模式和生物活性。

方法/主要发现:对 ADAMTS13 野生型和缺陷型小鼠的肾脏切片进行免疫组织化学染色。通过超微形态学检查表型差异。通过实时 PCR、流式细胞术、免疫荧光和免疫印迹法研究人肾小球内皮细胞和皮肤微血管内皮细胞中的 ADAMTS13 表达。通过多聚体结构分析和免疫印迹法证实 VWF 切割。在 Adamts13⁺/⁺小鼠的肾小球内皮细胞中检测到 ADAMTS13,但在 Adamts13⁻/⁻小鼠的组织中未观察到染色。在 Adamts13⁻/⁻小鼠中检测到肾小球毛细血管增厚,血小板沉积在血管壁上。在人内皮细胞中检测到 ADAMTS13 mRNA 和蛋白,并且该蛋白酶被分泌。在肾小球内皮细胞中证实了 ADAMTS13 活性,即 VWF 的切割。

结论/意义:肾小球内皮细胞表达和分泌 ADAMTS13。在高剪切应力条件下,如肾小球毛细血管中存在的条件下,该蛋白酶的活性可能具有保护作用,防止血小板沿毛细血管腔沉积。

https://cdn.ncbi.nlm.nih.gov/pmc/blobs/44b4/3123364/2ac9328dc802/pone.0021587.g001.jpg

文献检索

告别复杂PubMed语法,用中文像聊天一样搜索,搜遍4000万医学文献。AI智能推荐,让科研检索更轻松。

立即免费搜索

文件翻译

保留排版,准确专业,支持PDF/Word/PPT等文件格式,支持 12+语言互译。

免费翻译文档

深度研究

AI帮你快速写综述,25分钟生成高质量综述,智能提取关键信息,辅助科研写作。

立即免费体验