Suppr超能文献

巴西副球孢子菌孢子感染小鼠肺部组织病理学的结构和拓扑动态及局部细胞因子谱。

Structural and topographic dynamics of pulmonary histopathology and local cytokine profiles in Paracoccidioides brasiliensis conidia-infected mice.

机构信息

Medical and Experimental Mycology Group, Corporación para Investigaciones Biológicas, Medellín, Colombia.

出版信息

PLoS Negl Trop Dis. 2011 Jul;5(7):e1232. doi: 10.1371/journal.pntd.0001232. Epub 2011 Jul 12.

Abstract

BACKGROUND

Paracoccidioidomycosis (PCM), an endemic systemic mycosis caused by the fungus Paracoccidioides brasiliensis (Pb), usually results in severe lung damage in patients.

METHODS AND FINDINGS

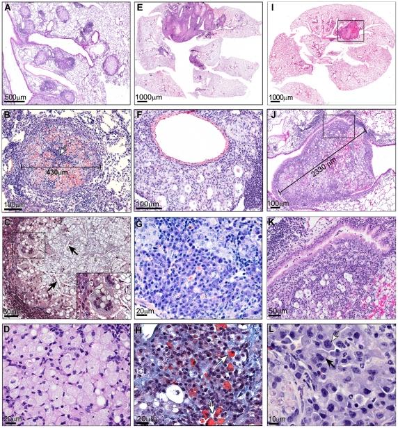
Considering the difficulties to sequentially study the infection in humans, this work was done in mice inoculated intranasally with infective Pb-conidia. Lungs of control and Pb-infected mice were studied after 2-hours, 4, 8, 12 and 16-weeks post-infection (p.i) in order to define histopathologic patterns of pulmonary lesions, multiplex-cytokine profiles and their dynamics during the course of this mycosis. Besides the nodular/granulomatous lesions previously informed, results revealed additional non-formerly described lung abnormalities, such as periarterial sheath inflammation and pseudotumoral masses. The following chronologic stages occurring during the course of the experimental infection were defined: Stage one (2-hours p.i): mild septal infiltration composed by neutrophils and macrophages accompanied by an intense "cytokine burst" represented by significant increases in IL-1α, IL-1β, IL-4, IL-5, IL-6, IL-10, IL12p70, IL-13, IL-17, Eotaxin, G-CSF, MCP1, MIP1α, GM-CSF, IFN-γ, MIP1β and TNFα levels. Stage two (4-weeks p.i): presence of nodules, evidence of incipient periarterial- and intense but disperse parenchymal- inflammation, abnormalities that continued to be accompanied by hyper-secretion of those cytokines and chemokines mentioned in the first stage of infection. Stages three and four (8 and 12-weeks p.i.): fungal proliferation, inflammation and collagenesis reached their highest intensity with particular involvement of the periarterial space. Paradoxically, lung cytokines and chemokines were down-regulated with significant decreases in IL-2,IL-3,IL-5,IL-9,IL-13,IL-15,GM-CSF,IFN-γ,MIP1β and TNFα. Stage five (16-weeks p.i.): inflammation decreased becoming limited to the pseudotumoral masses and was accompanied by a "silent" cytokine response, except for PDGF, MIG, RANTES and IL12p40 which remained up-regulated for the duration of the experiment.

CONCLUSIONS

Results of this study identified both classic and novel patterns corresponding to histopathologic and immunologic responses occurring during the course of experimental PCM.

摘要

背景

巴西副球孢子菌(Pb)引起的地方性系统性真菌病——副球孢子菌病(PCM),通常会导致患者肺部严重受损。

方法和发现

考虑到连续研究人类感染的困难,本工作在经鼻接种感染性 Pb 分生孢子的小鼠中进行。在感染后 2 小时、4、8、12 和 16 周,研究对照组和 Pb 感染组小鼠的肺部,以确定肺病变的组织病理学模式、多重细胞因子谱及其在真菌病过程中的动态变化。除了先前报道的结节/肉芽肿病变外,结果还揭示了其他以前未描述的肺部异常,如动脉周围鞘炎症和假肿瘤肿块。在实验感染过程中定义了以下时间顺序发生的阶段:阶段一(感染后 2 小时):轻度间隔浸润由中性粒细胞和巨噬细胞组成,并伴有强烈的“细胞因子爆发”,表现为 IL-1α、IL-1β、IL-4、IL-5、IL-6、IL-10、IL12p70、IL-13、IL-17、Eotaxin、G-CSF、MCP1、MIP1α、GM-CSF、IFN-γ、MIP1β和 TNFα 水平显著增加。阶段二(感染后 4 周):出现结节,有动脉周围和强烈但弥散的实质炎症的早期证据,这些异常继续伴随着感染第一阶段提到的这些细胞因子和趋化因子的过度分泌。阶段三和四(感染后 8 周和 12 周):真菌增殖、炎症和胶原形成达到最高强度,特别是动脉周围空间受累。矛盾的是,肺细胞因子和趋化因子下调,IL-2、IL-3、IL-5、IL-9、IL-13、IL-15、GM-CSF、IFN-γ、MIP1β 和 TNFα 水平显著降低。阶段五(感染后 16 周):炎症减少,仅限于假肿瘤肿块,并伴有“沉默”的细胞因子反应,除了 PDGF、MIG、RANTES 和 IL12p40 外,它们在整个实验过程中仍保持上调。

结论

本研究结果确定了在实验性 PCM 过程中发生的组织病理学和免疫学反应的经典和新型模式。

https://cdn.ncbi.nlm.nih.gov/pmc/blobs/7c5d/3134433/bde97647402e/pntd.0001232.g001.jpg

相似文献

2
Histopathologic and immunologic effects of the itraconazole treatment in a murine model of chronic pulmonary paracoccidioidomycosis.
Microbes Infect. 2010 Dec;12(14-15):1153-62. doi: 10.1016/j.micinf.2010.07.013. Epub 2010 Aug 5.
4
In pulmonary paracoccidioidomycosis IL-10 deficiency leads to increased immunity and regressive infection without enhancing tissue pathology.
PLoS Negl Trop Dis. 2013 Oct 24;7(10):e2512. doi: 10.1371/journal.pntd.0002512. eCollection 2013.
6
Involvement of extracellular matrix proteins in the course of experimental paracoccidioidomycosis.
FEMS Immunol Med Microbiol. 2008 Jun;53(1):114-25. doi: 10.1111/j.1574-695X.2008.00411.x. Epub 2008 Apr 9.
8
Cyclosporin A treatment and decreased fungal load/antigenemia in experimental murine paracoccidioidomycosis.
Mycopathologia. 2011 Mar;171(3):161-9. doi: 10.1007/s11046-010-9359-5. Epub 2010 Sep 11.
10
Protection induced in BALB/c mice by the high-molecular-mass (hMM) fraction of Paracoccidioides brasiliensis.
Mycopathologia. 2007 Mar;163(3):117-28. doi: 10.1007/s11046-007-0095-4. Epub 2007 Mar 14.

引用本文的文献

2
Crude leaf extracts of Piperaceae species downmodulate inflammatory responses by human monocytes.
PLoS One. 2018 Jun 20;13(6):e0198682. doi: 10.1371/journal.pone.0198682. eCollection 2018.
3
THE POWER OF THE SMALL: THE EXAMPLE OF Paracoccidioides brasiliensis CONIDIA.
Rev Inst Med Trop Sao Paulo. 2015 Sep;57 Suppl 19(Suppl 19):5-10. doi: 10.1590/S0036-46652015000700003.

本文引用的文献

2
Review: The chemokine receptor CXCR3 and its ligands CXCL9, CXCL10 and CXCL11 in neuroimmunity--a tale of conflict and conundrum.
Neuropathol Appl Neurobiol. 2010 Aug;36(5):368-87. doi: 10.1111/j.1365-2990.2010.01089.x. Epub 2010 May 6.
4
Lung lymphatic anatomy and correlates.
Pathophysiology. 2010 Sep;17(4):337-43. doi: 10.1016/j.pathophys.2009.10.008. Epub 2009 Dec 9.
5
Immunoglobulin aggregation leading to Russell body formation is prevented by the antibody light chain.
Blood. 2010 Jan 14;115(2):282-8. doi: 10.1182/blood-2009-07-234864. Epub 2009 Oct 12.
6
Foamy macrophages and the progression of the human tuberculosis granuloma.
Nat Immunol. 2009 Sep;10(9):943-8. doi: 10.1038/ni.1781. Epub 2009 Aug 19.
7
The unexpected pleiotropic activities of RANTES.
J Immunol. 2009 Apr 1;182(7):3945-6. doi: 10.4049/jimmunol.0990015.
8
Serum levels of sTNF-R1, sTNF-R2 and CXCL9 correlate with disease activity in adult type paracoccidioidomycosis.
Acta Trop. 2009 Mar;109(3):213-8. doi: 10.1016/j.actatropica.2008.11.010. Epub 2008 Nov 25.
9
Foamy macrophages from tuberculous patients' granulomas constitute a nutrient-rich reservoir for M. tuberculosis persistence.
PLoS Pathog. 2008 Nov;4(11):e1000204. doi: 10.1371/journal.ppat.1000204. Epub 2008 Nov 11.
10
B lymphocytes: how they develop and function.
Blood. 2008 Sep 1;112(5):1570-80. doi: 10.1182/blood-2008-02-078071.

文献AI研究员

20分钟写一篇综述,助力文献阅读效率提升50倍。

立即体验

用中文搜PubMed

大模型驱动的PubMed中文搜索引擎

马上搜索

文档翻译

学术文献翻译模型,支持多种主流文档格式。

立即体验