Department of Thoracic and Cardiovascular Surgery, Kyungpook National University College of Medicine, Daegu, Korea.
Korean Circ J. 2011 Jun;41(6):331-3. doi: 10.4070/kcj.2011.41.6.331. Epub 2011 Jun 30.
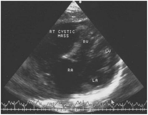
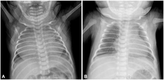
Right atrial aneurysm is an extremity rare congenital heart defect. We report a case which was diagnosed during the early fetal stage and operated on in a 2 week old neonate. Following median sternotomy, aneurysmectomy was performed under a cardiopulmonary bypass. Histopathological examination of the resected atiral tissue showed a lipotomatous degeneration and reduction of the muscular elements. There were no postoperative complications.
右房动脉瘤是一种极为罕见的先天性心脏缺陷。我们报告了一例在胎儿早期诊断并在 2 周大的新生儿期进行手术的病例。正中胸骨切开后,在体外循环下进行动脉瘤切除术。切除的心房组织的组织病理学检查显示脂肪变性和肌肉成分减少。术后无并发症。