Suppr超能文献

龙葵碱毒性对兔小肠和大肠细胞增殖和凋亡的影响。

Effects of Solanum glaucophyllum toxicity on cell proliferation and apoptosis in the small and large intestine of rabbits.

机构信息

Instituto de Patología, Facultad de Ciencias Veterinarias, Universidad Nacional de La Plata, La Plata, Buenos Aires, Argentina.

出版信息

Res Vet Sci. 2012 Aug;93(1):336-42. doi: 10.1016/j.rvsc.2011.07.018. Epub 2011 Aug 20.

Abstract

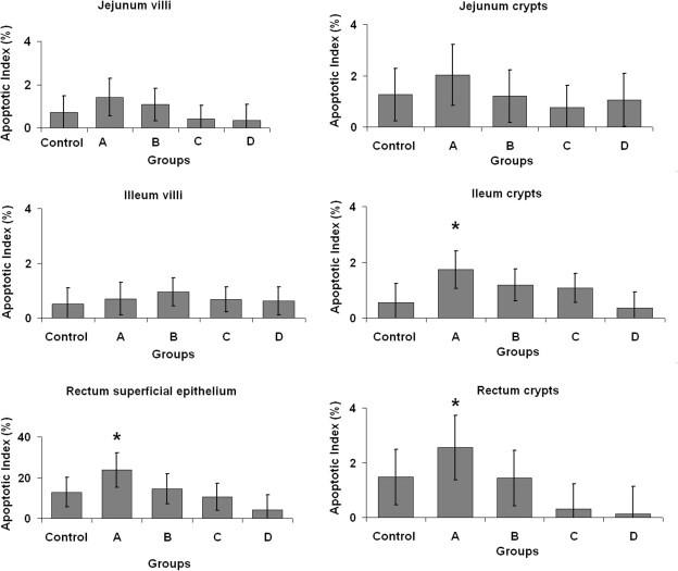
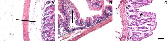
Vitamin D regulates mineral homeostases and enterocyte proliferation and differentiation. Hypervitaminosis D generates changes in cell proliferation, differentiation and apoptosis in several organs. We analysed morphometric parameters and proliferative and apoptotic indices in the intestinal epithelium of rabbits with hypervitaminosis D induced by the chronic treatment with the calcinogenic plant Solanum glaucophyllum. Rabbits were treated for 15 or 30 days. A group was treated for 15 days and led to possible recovery for 30 days. Another group was nutritionally restricted for 30 days. Morphological, morphometric, proliferative and apoptotic changes were found in the treated animals. Mild atrophy and reduced proliferation was found in the jejunum and ileum. Apoptosis increased in the crypts of the ileum and in the superficial epithelium and crypts of the rectum. Most of the alterations were partially recovered. The possible involvement in these changes of the hypervitaminosis D-like state induced by S. glaucophyllum is discussed.

摘要

维生素 D 调节矿物质稳态和肠细胞增殖分化。维生素 D 过多会导致多个器官的细胞增殖、分化和凋亡发生变化。我们分析了用致钙植物 Solanum glaucophyllum 进行慢性处理诱导的维生素 D 过多症的兔子的肠道上皮的形态计量参数和增殖及凋亡指数。兔子处理 15 或 30 天。一组处理 15 天,并可能在 30 天的恢复期。另一组接受 30 天的营养限制。在处理过的动物中发现了形态学、形态计量学、增殖和凋亡变化。空肠和回肠出现轻度萎缩和增殖减少。回肠隐窝和直肠表面上皮及隐窝的凋亡增加。大多数改变都有部分恢复。讨论了由 S. glaucophyllum 引起的类似维生素 D 过多状态在这些变化中的可能参与。

https://cdn.ncbi.nlm.nih.gov/pmc/blobs/c0dc/7125838/499717030652/gr1.jpg

文献AI研究员

20分钟写一篇综述,助力文献阅读效率提升50倍。

立即体验

用中文搜PubMed

大模型驱动的PubMed中文搜索引擎

马上搜索

文档翻译

学术文献翻译模型,支持多种主流文档格式。

立即体验