Suppr超能文献

可溶性纤维复合物 PolyGlycopleX 对年轻 Zucker 糖尿病大鼠血糖稳态和体重的影响。

Effects of the Soluble Fiber Complex PolyGlycopleX on Glucose Homeostasis and Body Weight in Young Zucker Diabetic Rats.

机构信息

Department of Pharmacology, Eurofins-Product Safety Laboratories Dayton, NJ, USA.

出版信息

Front Pharmacol. 2011 Sep 7;2:47. doi: 10.3389/fphar.2011.00047. eCollection 2011.

Abstract

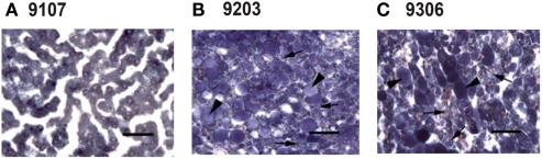
Dietary fiber can reduce insulin resistance, body weight, and hyperlipidemia depending on fiber type, water solubility, and viscosity. PolyGlycopleX(®) (PGX(®)) is a natural, novel water soluble, non-starch polysaccharide complex that with water forms a highly viscous gel compared to other naturally occurring dietary fiber. We determined the effect of dietary PGX(®) vs. cellulose and inulin on the early development of insulin resistance, body weight, hyperlipidemia, and glycemia-induced tissue damage in young Zucker diabetic rats (ZDFs) in fasted and non-fasted states. ZDFs (5 weeks old) were fed a diet containing 5% (wgt/wgt) cellulose, inulin, or PGX(®) for 8 weeks. Body weight, lipids, insulin, and glucose levels were determined throughout the study and homeostasis model assessment (HOMA) was used to measure insulin sensitivity throughout the study in fasted animals. At study termination, insulin sensitivity (oral glucose tolerance test, OGTT) and kidney, liver, and pancreatic histopathology were determined. Body weight and food intake were significantly reduced by PGX(®) vs. inulin and cellulose. Serum insulin in fasted and non-fasted states was significantly reduced by PGX(®) as was non-fasted blood glucose. Insulin resistance, measured as a HOMA score, was significantly reduced by PGX(®) in weeks 5 through 8 as well as terminal OGTT scores in fed and fasted states. Serum total cholesterol was also significantly reduced by PGX(®). PGX(®) significantly reduced histological kidney and hepatic damage in addition to reduced hepatic steatosis and cholestasis. A greater mass of pancreatic β-cells was found in the PGX(®) group. PGX(®) therefore may be a useful dietary additive in the control of the development of the early development of the metabolic syndrome.

摘要

膳食纤维可通过纤维类型、水溶性和黏度来降低胰岛素抵抗、体重和高血脂。PolyGlycopleX(®)(PGX(®))是一种天然的新型水溶性非淀粉多糖复合物,与水结合可形成高度粘稠的凝胶,与其他天然存在的膳食纤维相比。我们确定了膳食纤维 PGX(®)与纤维素和菊粉对禁食和不禁食状态下年轻 Zucker 糖尿病大鼠(ZDF)胰岛素抵抗、体重、高血脂和血糖诱导的组织损伤的早期发展的影响。5 周龄的 ZDF 喂食含有 5%(wgt/wgt)纤维素、菊粉或 PGX(®)的饮食 8 周。在整个研究过程中测量体重、脂质、胰岛素和血糖水平,并在禁食动物中使用稳态模型评估(HOMA)来测量整个研究过程中的胰岛素敏感性。在研究结束时,测量胰岛素敏感性(口服葡萄糖耐量试验,OGTT)和肾脏、肝脏和胰腺组织病理学。PGX(®)与菊粉和纤维素相比,体重和食物摄入量显著降低。空腹和非空腹状态下的血清胰岛素以及非空腹血糖均显著降低。PGX(®)还显著降低了 HOMA 评分测量的胰岛素抵抗,以及在 5 周到 8 周以及在喂食和禁食状态下的终末 OGTT 评分。血清总胆固醇也显著降低。PGX(®)还显著降低了肾脏和肝脏的组织损伤,以及减少了肝脂肪变性和胆汁淤积。PGX(®)组的胰腺β细胞质量也更大。PGX(®)因此可能是控制代谢综合征早期发展的有用膳食添加剂。

https://cdn.ncbi.nlm.nih.gov/pmc/blobs/ad05/3168379/62cad9efeb71/fphar-02-00047-g001.jpg

文献检索

告别复杂PubMed语法,用中文像聊天一样搜索,搜遍4000万医学文献。AI智能推荐,让科研检索更轻松。

立即免费搜索

文件翻译

保留排版,准确专业,支持PDF/Word/PPT等文件格式,支持 12+语言互译。

免费翻译文档

深度研究

AI帮你快速写综述,25分钟生成高质量综述,智能提取关键信息,辅助科研写作。

立即免费体验