Suppr超能文献

在 Peptamen 饮食中添加 DHA 并没有在淀粉样变性途径中提供优势:是否是时候评估复合脂质饮食了?

DHA supplemented in peptamen diet offers no advantage in pathways to amyloidosis: is it time to evaluate composite lipid diet?

机构信息

Department of Biochemistry, University of Western Ontario, London, Ontario, Canada.

出版信息

PLoS One. 2011;6(9):e24094. doi: 10.1371/journal.pone.0024094. Epub 2011 Sep 8.

Abstract

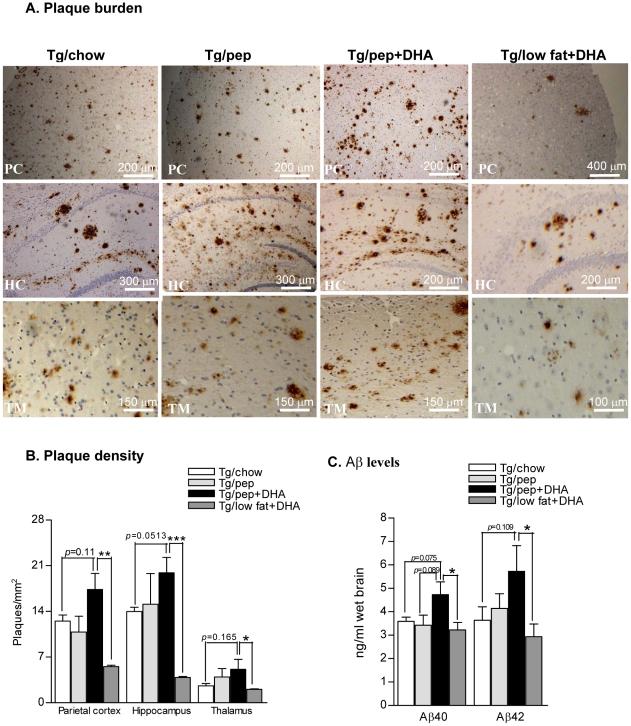
Numerous reports have documented the beneficial effects of dietary docosahexaenoic acid (DHA) on beta-amyloid production and Alzheimer's disease (AD). However, none of these studies have examined and compared DHA, in combination with other dietary nutrients, for its effects on plaque pathogenesis. Potential interactions of DHA with other dietary nutrients and fatty acids are conventionally ignored. Here we investigated DHA with two dietary regimes; peptamen (pep+DHA) and low fat diet (low fat+DHA). Peptamen base liquid diet is a standard sole-source nutrition for patients with gastrointestinal dysfunction. Here we demonstrate that a robust AD transgenic mouse model shows an increased tendency to produce beta-amyloid peptides and amyloid plaques when fed a pep+DHA diet. The increase in beta-amyloid peptides was due to an elevated trend in the levels of beta-secretase amyloid precursor protein (APP) cleaving enzyme (BACE), the proteolytic C-terminal fragment beta of APP and reduced levels of insulin degrading enzyme that endoproteolyse beta-amyloid. On the contrary, TgCRND8 mice on low fat+DHA diet (based on an approximately 18% reduction of fat intake) ameliorate the production of abeta peptides and consequently amyloid plaques. Our work not only demonstrates that DHA when taken with peptamen may have a tendency to confer a detrimental affect on the amyloid plaque build up but also reinforces the importance of studying composite lipids or nutrients rather than single lipids or nutrients for their effects on pathways important to plaque development.

摘要

许多报告都记录了二十二碳六烯酸(DHA)对β-淀粉样蛋白产生和阿尔茨海默病(AD)的有益影响。然而,这些研究都没有检查和比较 DHA 与其他饮食营养素结合对斑块发病机制的影响。DHA 与其他饮食营养素和脂肪酸的潜在相互作用通常被忽视。在这里,我们研究了 DHA 与两种饮食方案;Peptamen(pep+DHA)和低脂饮食(low fat+DHA)。Peptamen 基础液体饮食是胃肠道功能障碍患者的标准单一来源营养。在这里,我们证明了一种强大的 AD 转基因小鼠模型在喂食 pep+DHA 饮食时表现出增加β-淀粉样肽和淀粉样斑块产生的趋势。β-淀粉样肽的增加是由于β-分泌酶淀粉样前体蛋白(APP)裂解酶(BACE)、APP 的蛋白水解 C 末端片段β和内肽酶β-淀粉样蛋白的水平升高所致。相反,TgCRND8 小鼠在低脂+DHA 饮食(基于脂肪摄入量减少约 18%)下改善了 abeta 肽的产生,从而减少了淀粉样斑块的形成。我们的工作不仅表明 DHA 与 Peptamen 一起服用可能会对淀粉样斑块的形成产生不利影响,而且还强调了研究复合脂质或营养素而不是单一脂质或营养素对斑块发展重要途径的重要性。

https://cdn.ncbi.nlm.nih.gov/pmc/blobs/7535/3169579/34b30eff46ad/pone.0024094.g001.jpg

文献检索

告别复杂PubMed语法,用中文像聊天一样搜索,搜遍4000万医学文献。AI智能推荐,让科研检索更轻松。

立即免费搜索

文件翻译

保留排版,准确专业,支持PDF/Word/PPT等文件格式,支持 12+语言互译。

免费翻译文档

深度研究

AI帮你快速写综述,25分钟生成高质量综述,智能提取关键信息,辅助科研写作。

立即免费体验