Department of Human Molecular Genetics and Biochemistry, Sackler School of Medicine, Tel Aviv University, Tel Aviv, Israel.
PLoS One. 2011;6(9):e24468. doi: 10.1371/journal.pone.0024468. Epub 2011 Sep 8.
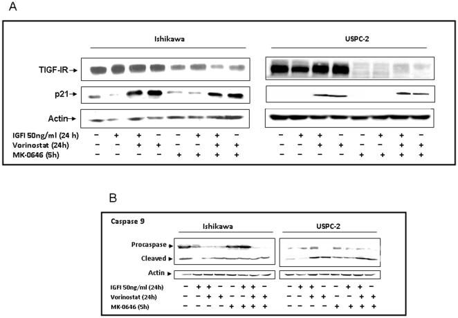
A correlation between components of the insulin-like growth factor (IGF) system and endometrial cancer risk has been shown in recent studies. The antitumor action of vorinostat, a histone deacetylase inhibitor, involves changes in the expression of specific genes via acetylation of histones and transcription factors. The aim of this study was to establish whether vorinostat can modify the expression of specific genes related to the IGF-I receptor (IGF-IR) signaling pathway and revert the transformed phenotype. Human endometrioid (Type I, Ishikawa) and uterine serous papillary (Type II, USPC-2) endometrial cancer cell lines were treated with vorinostat in the presence or absence of IGF-I. Vorinostat increased IGF-IR phosphorylation, produced acetylation of histone H3, up-regulated pTEN and p21 expression, and reduced p53 and cyclin D1 levels in Ishikawa cells. Vorinostat up-regulated IGF-IR and p21 expression, produced acetylation of histone H3, and down-regulated the expression of total AKT, pTEN and cyclin D1 in USPC-2 cells. Of interest, IGF-IR activation was associated with a major elevation in IGF-IR promoter activity. In addition, vorinostat treatment induced apoptosis in both cell lines and abolished the anti-apoptotic activity of IGF-I both in the absence or presence of a humanized monoclonal IGF-IR antibody, MK-0646. Finally, vorinostat treatment led to a significant decrease in proliferation and colony forming capability in both cell lines. In summary, our studies demonstrate that vorinostat exhibits a potent apoptotic and anti-proliferative effect in both Type I and II endometrial cancer cells, thus suggesting that endometrial cancer may be therapeutically targeted by vorinostat.
胰岛素样生长因子(IGF)系统的成分与子宫内膜癌风险之间存在相关性,这在最近的研究中得到了证实。组蛋白去乙酰化酶抑制剂伏立诺他的抗肿瘤作用涉及通过组蛋白和转录因子的乙酰化来改变特定基因的表达。本研究旨在确定伏立诺他是否可以修饰与 IGF-I 受体(IGF-IR)信号通路相关的特定基因的表达并逆转转化表型。用人子宫内膜样(I 型,Ishikawa)和子宫浆液性乳头状(II 型,USPC-2)子宫内膜癌细胞系在存在或不存在 IGF-I 的情况下用伏立诺他处理。伏立诺他增加了 IGF-IR 的磷酸化,产生了组蛋白 H3 的乙酰化,上调了 pTEN 和 p21 的表达,并降低了 Ishikawa 细胞中的 p53 和细胞周期蛋白 D1 水平。伏立诺他上调了 IGF-IR 和 p21 的表达,产生了组蛋白 H3 的乙酰化,并下调了 USPC-2 细胞中总 AKT、pTEN 和细胞周期蛋白 D1 的表达。有趣的是,IGF-IR 的激活与 IGF-IR 启动子活性的大幅升高有关。此外,伏立诺他处理诱导了两种细胞系中的细胞凋亡,并在不存在或存在人源化单克隆 IGF-IR 抗体 MK-0646 的情况下消除了 IGF-I 的抗凋亡活性。最后,伏立诺他处理导致两种细胞系的增殖和集落形成能力显著下降。总之,我们的研究表明,伏立诺他在 I 型和 II 型子宫内膜癌细胞中表现出强大的凋亡和抗增殖作用,因此提示子宫内膜癌可能是伏立诺他的治疗靶点。