Suppr超能文献

主动脉瓣置换术后瓦氏窦动脉瘤破入室间隔:超声心动图和磁共振成像诊断及外科密封剂治疗。

Aneurysm of sinus of valsalva dissecting into the interventricular septum after aortic valve replacement: diagnosis by echocardiography and magnetic resonance imaging and treatment with surgical sealant.

机构信息

Division of Cardiology, Department of Internal Medicine, College of Medicine, Yeungnam University, Daegu, Korea.

出版信息

Korean Circ J. 2011 Aug;41(8):464-8. doi: 10.4070/kcj.2011.41.8.464. Epub 2011 Aug 31.

Abstract

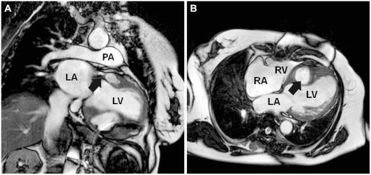
Aneurysm of the sinus of Valsalva that causes dissection of the interventricular septum is an extremely rare entity. In this report we describe a case of aneurysm of the sinus of Valsalva dissecting into the interventricular septum, from the base to mid septum, after aortic valve replacement. After the diagnosis was made by transthoracic echocardiography and magnetic resonance imaging, the patient was successfully treated with surgical sealant-mediated occlusion of the aneurysmal sac and cardiac resynchronization therapy used for the first time.

摘要

窦状主动脉瘤破裂导致室间隔夹层分离极其罕见。本报告描述了 1 例主动脉瓣置换术后窦状主动脉瘤从底部到室间隔中部夹层分离的病例。经胸超声心动图和磁共振成像诊断后,首次使用手术密封剂介导的动脉瘤囊封闭和心脏再同步治疗成功治疗了该患者。

https://cdn.ncbi.nlm.nih.gov/pmc/blobs/4e45/3173667/3a918990550d/kcj-41-464-g001.jpg

文献AI研究员

20分钟写一篇综述,助力文献阅读效率提升50倍。

立即体验

用中文搜PubMed

大模型驱动的PubMed中文搜索引擎

马上搜索

文档翻译

学术文献翻译模型,支持多种主流文档格式。

立即体验