Suppr超能文献

Variations in impacted mandibular permanent molars: Report of three rare cases.

作者信息

Joshi Manjiri, Kasat Vikrant

机构信息

Department of Oral Medicine and Radiology, Rural Dental College of Pravara Institute of Medical Sciences, Loni, Ahemadnagar, Maharashtra, India.

出版信息

Contemp Clin Dent. 2011 Apr;2(2):124-6. doi: 10.4103/0976-237X.83079.

Abstract

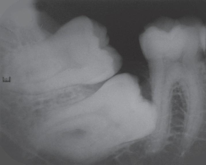
The impaction of permanent teeth is not uncommon, but few permanent teeth are rarely impacted like mandibular first and second molars. Though third molars are commonly impacted, inversely impacted mandibular third molars are very rare. Here, we report three unusual cases of impacted mandibular molars accidentally diagnosed on conventional radiographs.

摘要
https://cdn.ncbi.nlm.nih.gov/pmc/blobs/1739/3180835/af1725ac53fa/CCD-2-124-g001.jpg

相似文献

1
Variations in impacted mandibular permanent molars: Report of three rare cases.
Contemp Clin Dent. 2011 Apr;2(2):124-6. doi: 10.4103/0976-237X.83079.
5
Bilateral Inverted and Impacted Mandibular Third Molars: A Rare Case Report.
Cureus. 2023 Mar 23;15(3):e36573. doi: 10.7759/cureus.36573. eCollection 2023 Mar.
6
Association of Prevalence of Dental Caries in Mandibular Second Molar with Impacted Third Molar.
J Nepal Health Res Counc. 2021 Sep 6;19(2):259-263. doi: 10.33314/jnhrc.v19i2.3310.
7
Impaction of Mandibular First Molar by Tooth-Like Hard Tissue.
Cureus. 2024 Apr 29;16(4):e59304. doi: 10.7759/cureus.59304. eCollection 2024 Apr.
9
Third molar outcomes from age 18 to 26: findings from a population-based New Zealand longitudinal study.
Oral Surg Oral Med Oral Pathol Oral Radiol Endod. 2001 Aug;92(2):150-5. doi: 10.1067/moe.2001.115461.
10
Prevalence of Distal Caries in Mandibular Second Molar Due to Impacted Third Molar.
J Clin Diagn Res. 2017 Mar;11(3):ZC28-ZC30. doi: 10.7860/JCDR/2017/18582.9509. Epub 2017 Mar 1.

引用本文的文献

1
Impaction of Mandibular First Molar by Tooth-Like Hard Tissue.
Cureus. 2024 Apr 29;16(4):e59304. doi: 10.7759/cureus.59304. eCollection 2024 Apr.
2
Impacted Mandibular First Molar: A Rare Riddle.
Cureus. 2022 Nov 19;14(11):e31680. doi: 10.7759/cureus.31680. eCollection 2022 Nov.

本文引用的文献

1
A survey of 3, 874 routine full-month radiographs. II. A study of impacted teeth.
Oral Surg Oral Med Oral Pathol. 1961 Oct;14:1165-9. doi: 10.1016/0030-4220(61)90204-3.
2
Treatment options for impacted teeth.
J Am Dent Assoc. 2000 May;131(5):623-32. doi: 10.14219/jada.archive.2000.0236.
3
Uprighting mesially impacted mandibular permanent second molars.
Angle Orthod. 1998 Apr;68(2):173-8. doi: 10.1043/0003-3219(1998)068<0173:UMIMPS>2.3.CO;2.
4
Comparison of the clinical status of third molars in young men in 1949 and in 1990.
Oral Surg Oral Med Oral Pathol. 1993 Dec;76(6):694-8. doi: 10.1016/0030-4220(93)90036-4.
5
Uprighting impacted second molars with segmented springs.
Am J Orthod Dentofacial Orthop. 1995 Mar;107(3):235-8. doi: 10.1016/s0889-5406(95)70137-0.
6
Spatial position of mandibular third molars in monozygotic twins.
Angle Orthod. 1984 Oct;54(4):271-82. doi: 10.1043/0003-3219(1984)054<0271:SPOMTM>2.0.CO;2.
7
The early developmental position of the lower third molar relative to certain jaw dimensions.
Angle Orthod. 1970 Jul;40(3):226-30. doi: 10.1043/0003-3219(1970)040<0226:TEDPOT>2.0.CO;2.
8
The incidence of unerupted permanent teeth and related clinical cases.
Oral Surg Oral Med Oral Pathol. 1985 Apr;59(4):420-5. doi: 10.1016/0030-4220(85)90070-2.
9
Submerged permanent molars: four case reports.
Br Dent J. 1986 Feb 22;160(4):128-30. doi: 10.1038/sj.bdj.4805789.
10
Pre-eruptive movements of the mandibular third molar.
Angle Orthod. 1978 Jul;48(3):187-93. doi: 10.1043/0003-3219(1978)048<0187:PMOTMT>2.0.CO;2.

文献AI研究员

20分钟写一篇综述,助力文献阅读效率提升50倍。

立即体验

用中文搜PubMed

大模型驱动的PubMed中文搜索引擎

马上搜索

文档翻译

学术文献翻译模型,支持多种主流文档格式。

立即体验