Suppr超能文献

Svp25, a synaptic vesicle membrane glycoprotein from Torpedo electric organ that binds calcium and forms a homo-oligomeric complex.

作者信息

Volknandt W, Schläfer M, Bonzelius F, Zimmermann H

机构信息

AK Neurochemie, Zoologisches Institut, J.W. Goethe-Universität, Frankfurt am Main, FRG.

出版信息

EMBO J. 1990 Aug;9(8):2465-70. doi: 10.1002/j.1460-2075.1990.tb07424.x.

Abstract

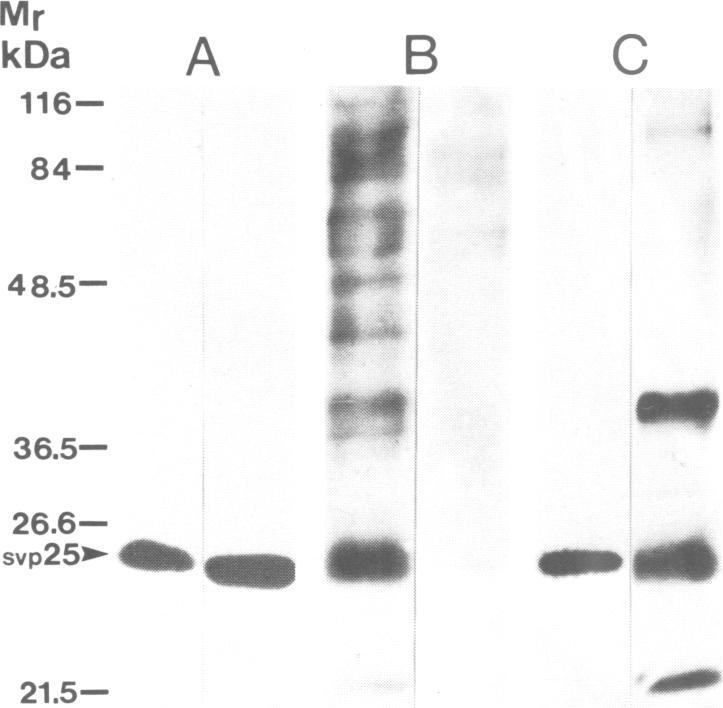
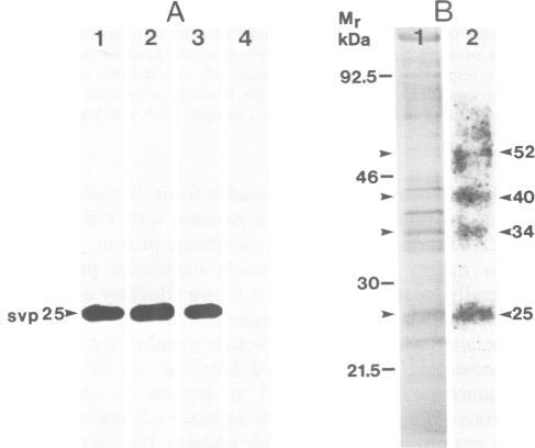
Svp25 is a major glycoprotein of cholinergic synaptic vesicles isolated from the Torpedo electric organ. On SDS-PAGE svp25 migrates as a protein of Mr 25,000 and on two dimensional gel electrophoresis separates into several isoforms around a pI of 6.0. It binds concanavalin A and on phase separation with Triton X-114 behaves as an integral membrane protein. Svp25 represents a major vesicular 45Ca2(+)-binding protein. Under non-reducing conditions svp25 forms complexes of higher molecular weight which are multiples of 25,000. Svp25 is contained in the dense web of nerve terminal ramifications at the ventral side of the electroplaque cells. Colloidal gold labelling using a monospecific antibody confirms the selective association of the protein with synaptic vesicles. Although the function of the vesicular svp25 glycoprotein is not known, its ability to bind Ca2+ suggests that it is regulated by activation of the nerve terminal.

摘要
https://cdn.ncbi.nlm.nih.gov/pmc/blobs/d238/552274/8380c9d2b1f4/emboj00235-0113-a.jpg

文献检索

告别复杂PubMed语法,用中文像聊天一样搜索,搜遍4000万医学文献。AI智能推荐,让科研检索更轻松。

立即免费搜索

文件翻译

保留排版,准确专业,支持PDF/Word/PPT等文件格式,支持 12+语言互译。

免费翻译文档

深度研究

AI帮你快速写综述,25分钟生成高质量综述,智能提取关键信息,辅助科研写作。

立即免费体验