Suppr超能文献

GW501516,一种过氧化物酶体增殖物激活受体 δ 激动剂,通过抑制 TAK1-NFκB 通路减轻蛋白尿肾病的肾小管间质炎症。

GW501516, a PPARδ agonist, ameliorates tubulointerstitial inflammation in proteinuric kidney disease via inhibition of TAK1-NFκB pathway in mice.

机构信息

Department of Medicine, Shiga University of Medical Science, Otsu, Shiga, Japan.

出版信息

PLoS One. 2011;6(9):e25271. doi: 10.1371/journal.pone.0025271. Epub 2011 Sep 22.

Abstract

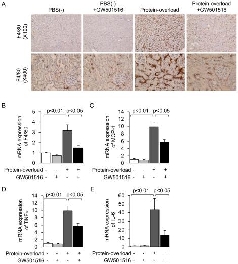
Peroxisome proliferator-activated receptors (PPARs) are a nuclear receptor family of ligand-inducible transcription factors, which have three different isoforms: PPARα, δ and γ. It has been demonstrated that PPARα and γ agonists have renoprotective effects in proteinuric kidney diseases; however, the role of PPARδ agonists in kidney diseases remains unclear. Thus, we examined the renoprotective effect of GW501516, a PPARδ agonist, in a protein-overload mouse nephropathy model and identified its molecular mechanism. Mice fed with a control diet or GW501516-containing diet were intraperitoneally injected with free fatty acid (FFA)-bound albumin or PBS(-). In the control group, protein overload caused tubular damages, macrophage infiltration and increased mRNA expression of MCP-1 and TNFα. These effects were prevented by GW501516 treatment. In proteinuric kidney diseases, excess exposure of proximal tubular cells to albumin, FFA bound to albumin or cytokines such as TNFα is detrimental. In vitro studies using cultured proximal tubular cells showed that GW501516 attenuated both TNFα- and FFA (palmitate)-induced, but not albumin-induced, MCP-1 expression via direct inhibition of the TGF-β activated kinase 1 (TAK1)-NFκB pathway, a common downstream signaling pathway to TNFα receptor and toll-like receptor-4. In conclusion, we demonstrate that GW501516 has an anti-inflammatory effect in renal tubular cells and may serve as a therapeutic candidate to attenuate tubulointerstitial lesions in proteinuric kidney diseases.

摘要

过氧化物酶体增殖物激活受体 (PPARs) 是配体诱导转录因子的核受体家族,有三种不同的亚型:PPARα、δ 和 γ。已经证明,PPARα 和 γ 激动剂在蛋白尿性肾病中有肾脏保护作用;然而,PPARδ 激动剂在肾脏疾病中的作用尚不清楚。因此,我们在蛋白过载小鼠肾病模型中研究了 PPARδ 激动剂 GW501516 的肾脏保护作用,并确定了其分子机制。用对照饮食或含 GW501516 的饮食喂养的小鼠经腹腔注射游离脂肪酸 (FFA) 结合白蛋白或 PBS(-)。在对照组中,蛋白过载导致肾小管损伤、巨噬细胞浸润和 MCP-1 和 TNFα 的 mRNA 表达增加。GW501516 处理可预防这些作用。在蛋白尿性肾病中,近端肾小管细胞过度暴露于白蛋白、与白蛋白结合的 FFA 或 TNFα 等细胞因子是有害的。体外研究使用培养的近端肾小管细胞表明,GW501516 通过直接抑制 TGF-β 激活激酶 1 (TAK1)-NFκB 通路,减弱了 TNFα 和 FFA(棕榈酸酯)诱导的但不是白蛋白诱导的 MCP-1 表达,这是 TNFα 受体和 Toll 样受体-4 的共同下游信号通路。总之,我们证明 GW501516 在肾小管细胞中具有抗炎作用,可能是减轻蛋白尿性肾病中肾小管间质损伤的治疗候选药物。

https://cdn.ncbi.nlm.nih.gov/pmc/blobs/d80f/3178624/151eafd0778f/pone.0025271.g001.jpg

文献检索

告别复杂PubMed语法,用中文像聊天一样搜索,搜遍4000万医学文献。AI智能推荐,让科研检索更轻松。

立即免费搜索

文件翻译

保留排版,准确专业,支持PDF/Word/PPT等文件格式,支持 12+语言互译。

免费翻译文档

深度研究

AI帮你快速写综述,25分钟生成高质量综述,智能提取关键信息,辅助科研写作。

立即免费体验