• 文献检索
  • 文档翻译
  • 深度研究
  • 学术资讯
  • Suppr Zotero 插件Zotero 插件
  • 邀请有礼
  • 套餐&价格
  • 历史记录
应用&插件
Suppr Zotero 插件Zotero 插件浏览器插件Mac 客户端Windows 客户端微信小程序
定价
高级版会员购买积分包购买API积分包
服务
文献检索文档翻译深度研究API 文档MCP 服务
关于我们
关于 Suppr公司介绍联系我们用户协议隐私条款
关注我们

Suppr 超能文献

核心技术专利:CN118964589B侵权必究
粤ICP备2023148730 号-1Suppr @ 2026

文献检索

告别复杂PubMed语法,用中文像聊天一样搜索,搜遍4000万医学文献。AI智能推荐,让科研检索更轻松。

立即免费搜索

文件翻译

保留排版,准确专业,支持PDF/Word/PPT等文件格式,支持 12+语言互译。

免费翻译文档

深度研究

AI帮你快速写综述,25分钟生成高质量综述,智能提取关键信息,辅助科研写作。

立即免费体验

钝性腹部创伤继发回乙状结肠瘘和迟发性回肠梗阻:一例报告

Ileosigmoid fistula and delayed ileal obstruction secondary to blunt abdominal trauma: a case report.

作者信息

Bouliaris Konstantinos, Karangelis Dimos, Spanos Konstantinos, Germanos Stylianos, Alexiou Evangelos, Giaglaras Anargyros

机构信息

Department of General Surgery, 404 Military Hospital Larissa, Greece.

出版信息

J Med Case Rep. 2011 Oct 5;5:507. doi: 10.1186/1752-1947-5-507.

DOI:10.1186/1752-1947-5-507
PMID:21974825
原文链接:https://pmc.ncbi.nlm.nih.gov/articles/PMC3195765/
Abstract

INTRODUCTION

Abdominal trauma is a source of significant mortality and morbidity. Bowel injury as a result of blunt abdominal trauma is usually evident within hours or days of the accident.

CASE PRESENTATION

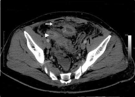
A 38-year-old Caucasian Greek man presented with a subtle and delayed small bowel obstruction caused by a post-traumatic ileosigmoid fistula and ileal stricture four months after a road traffic accident.

CONCLUSION

Delayed occurrence of post-traumatic small bowel stricture and ileosigmoid fistula is an uncommon surgical emergency. General surgeons as well as emergency physicians should bear this manifestation in mind should a patient return to the hospital several weeks or even years after blunt abdominal trauma with symptoms or signs of bowel obstruction.

摘要

引言

腹部创伤是导致严重死亡率和发病率的一个原因。钝性腹部创伤所致的肠损伤通常在事故发生后的数小时或数天内就会显现出来。

病例报告

一名38岁的高加索希腊男子,在道路交通事故四个月后,因创伤后回肠乙状结肠瘘和回肠狭窄,出现了轻微且延迟性的小肠梗阻。

结论

创伤后小肠狭窄和回肠乙状结肠瘘的延迟发生是一种罕见的外科急症。普通外科医生以及急诊医生在腹部钝性创伤患者在数周甚至数年之后因肠梗阻症状或体征返回医院时,应牢记这一表现。

https://cdn.ncbi.nlm.nih.gov/pmc/blobs/7523/3195765/b08223844229/1752-1947-5-507-2.jpg
https://cdn.ncbi.nlm.nih.gov/pmc/blobs/7523/3195765/cefb0237af0e/1752-1947-5-507-1.jpg
https://cdn.ncbi.nlm.nih.gov/pmc/blobs/7523/3195765/b08223844229/1752-1947-5-507-2.jpg
https://cdn.ncbi.nlm.nih.gov/pmc/blobs/7523/3195765/cefb0237af0e/1752-1947-5-507-1.jpg
https://cdn.ncbi.nlm.nih.gov/pmc/blobs/7523/3195765/b08223844229/1752-1947-5-507-2.jpg

相似文献

1
Ileosigmoid fistula and delayed ileal obstruction secondary to blunt abdominal trauma: a case report.钝性腹部创伤继发回乙状结肠瘘和迟发性回肠梗阻:一例报告
J Med Case Rep. 2011 Oct 5;5:507. doi: 10.1186/1752-1947-5-507.
2
Case Report: Delayed Presentation of Bowel Obstruction Caused by Blunt Abdominal Trauma.病例报告:钝性腹部创伤所致肠梗阻的延迟表现
Clin Pract Cases Emerg Med. 2020 Nov;4(4):620-622. doi: 10.5811/cpcem.2020.9.47034.
3
Delayed small bowel obstruction after blunt abdominal trauma. A case report.钝性腹部创伤后迟发性小肠梗阻。病例报告。
Acta Chir Belg. 2008 Sep-Oct;108(5):597-9. doi: 10.1080/00015458.2008.11680295.
4
Delayed presentation of bowel obstruction after abdominal blunt trauma.腹部钝性创伤后肠梗阻的延迟表现。
Trauma Case Rep. 2021 Feb 10;32:100414. doi: 10.1016/j.tcr.2021.100414. eCollection 2021 Apr.
5
Gastrointestinal perforation following blunt abdominal trauma.钝性腹部创伤后胃肠道穿孔
East Afr Med J. 2007 Sep;84(9):429-33. doi: 10.4314/eamj.v84i9.9552.
6
Ileal stenosis occurred 3 months after blunt abdominal trauma.
Korean J Gastroenterol. 2011 Jun;57(6):370-3. doi: 10.4166/kjg.2011.57.6.370.
7
Traumatic Abdominal wall hernia with ileal perforation following blunt trauma abdomen: A rare case report and review of literature.钝性腹部创伤后伴回肠穿孔的创伤性腹壁疝:一例罕见病例报告及文献复习
Radiol Case Rep. 2024 Feb 21;19(5):1819-1822. doi: 10.1016/j.radcr.2024.01.081. eCollection 2024 May.
8
Abdomen (A Pandora's Box): A Delayed Presentation of Blunt Abdominal Injury With a Mesenteric Tear Leading to Gangrenous Bowel.腹部(一个潘多拉魔盒):钝性腹部损伤伴肠系膜撕裂导致坏疽性肠管的延迟表现。
Cureus. 2024 Aug 16;16(8):e67002. doi: 10.7759/cureus.67002. eCollection 2024 Aug.
9
Isolated duodenal perforation at D4 following blunt abdominal trauma.钝性腹部创伤后十二指肠D4段孤立性穿孔。
Int J Surg Case Rep. 2020;72:596-598. doi: 10.1016/j.ijscr.2020.06.076. Epub 2020 Jun 20.
10
A Case of Small Bowel Obstruction and Enterocutaneous Fistulation Resulting from a Mesenteric Haematoma following Blunt Abdominal Trauma.一例钝性腹部创伤后肠系膜血肿导致小肠梗阻和肠皮肤瘘管形成的病例
Case Rep Surg. 2017;2017:7639265. doi: 10.1155/2017/7639265. Epub 2017 Nov 26.

引用本文的文献

1
Delayed bowel obstruction after seat belt injury: a case report.安全带损伤后迟发性肠梗阻:1 例报告。
BMC Gastroenterol. 2020 Aug 8;20(1):262. doi: 10.1186/s12876-020-01384-y.
2
Small bowel stenosis following blunt abdominal trauma: a case report.钝性腹部创伤后小肠狭窄:一例报告
Clin Case Rep. 2017 Sep 29;5(11):1865-1867. doi: 10.1002/ccr3.1176. eCollection 2017 Nov.

本文引用的文献

1
Free abdominal fluid without obvious solid organ injury upon CT imaging: an actual problem or simply over-diagnosing?CT成像显示腹腔内有游离液体但无明显实质性器官损伤:是实际问题还是单纯的过度诊断?
J Trauma Manag Outcomes. 2009 Dec 15;3:10. doi: 10.1186/1752-2897-3-10.
2
Delayed small bowel obstruction after blunt abdominal trauma. A case report.钝性腹部创伤后迟发性小肠梗阻。病例报告。
Acta Chir Belg. 2008 Sep-Oct;108(5):597-9. doi: 10.1080/00015458.2008.11680295.
3
Current diagnostic approaches lack sensitivity in the diagnosis of perforated blunt small bowel injury: analysis from 275,557 trauma admissions from the EAST multi-institutional HVI trial.
当前的诊断方法在钝性小肠穿孔伤的诊断中缺乏敏感性:来自东部多机构重伤研究(EAST multi-institutional HVI trial)275557例创伤入院病例的分析
J Trauma. 2003 Feb;54(2):295-306. doi: 10.1097/01.TA.0000046256.80836.AA.
4
Late small bowel obstruction after blunt abdominal trauma.钝性腹部创伤后晚期小肠梗阻
Postgrad Med J. 2003 Jan;79(927):57-8. doi: 10.1136/pmj.79.927.57.
5
Intestinal obstruction following blunt abdominal trauma.钝性腹部创伤后肠梗阻
Ulster Med J. 2002 Nov;71(2):139-41.
6
Practice management guidelines for the evaluation of blunt abdominal trauma: the East practice management guidelines work group.钝性腹部创伤评估的实践管理指南:东部实践管理指南工作组
J Trauma. 2002 Sep;53(3):602-15. doi: 10.1097/00005373-200209000-00038.
7
Intra-abdominal gastrointestinal tract injuries following blunt trauma: the experience of an Australian trauma centre.
Injury. 2002 Sep;33(7):617-26. doi: 10.1016/s0020-1383(02)00068-2.
8
Isolated free fluid on computed tomographic scan in blunt abdominal trauma: a systematic review of incidence and management.钝性腹部创伤计算机断层扫描中孤立的游离液体:发病率及处理的系统评价
J Trauma. 2002 Jul;53(1):79-85. doi: 10.1097/00005373-200207000-00016.
9
Ischaemic ileal stenosis following blunt abdominal trauma and demonstrated by CT.钝性腹部创伤后出现的缺血性回肠狭窄,由CT显示。
Br J Radiol. 2001 Mar;74(879):277-9. doi: 10.1259/bjr.74.879.740277.
10
Small-bowel obstruction after blunt trauma.钝性创伤后小肠梗阻
J R Soc Med. 2000 Sep;93(9):498. doi: 10.1177/014107680009300914.